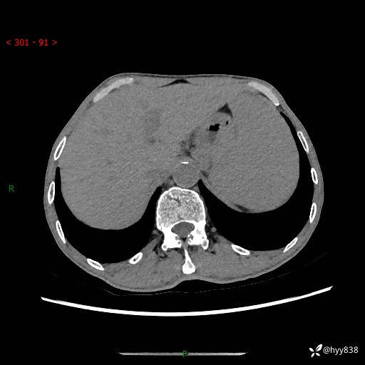
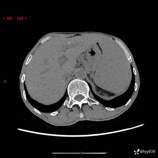
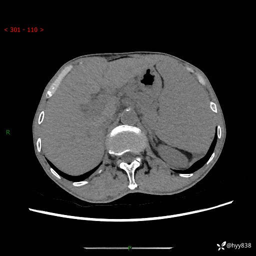
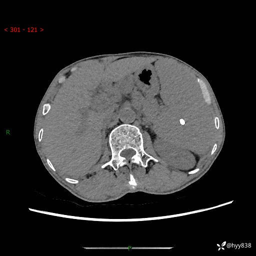
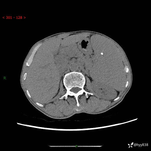
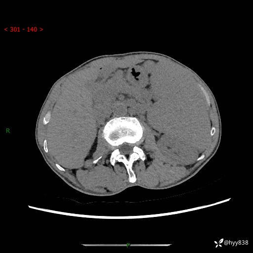
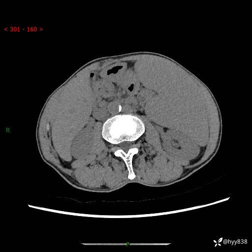
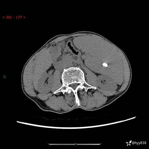
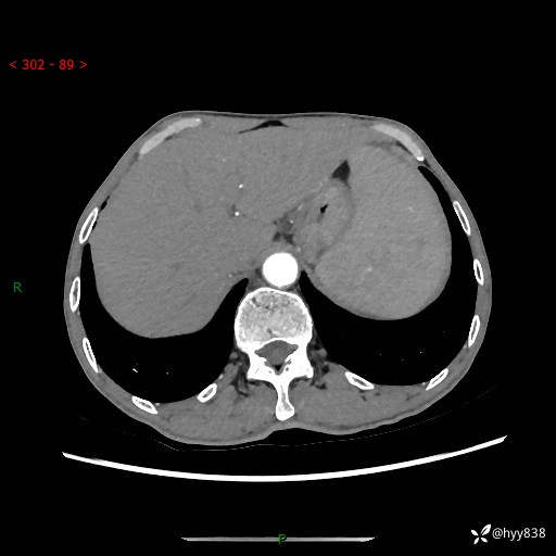
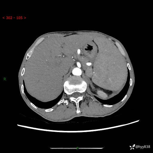
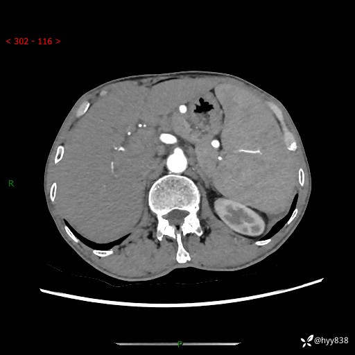
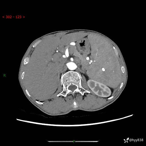
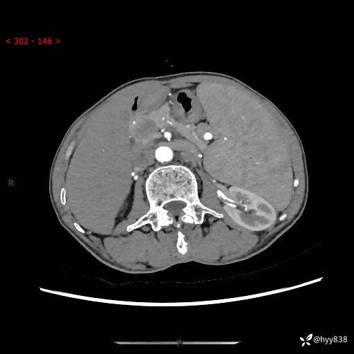
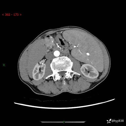
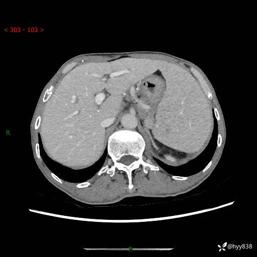
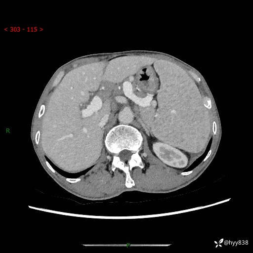
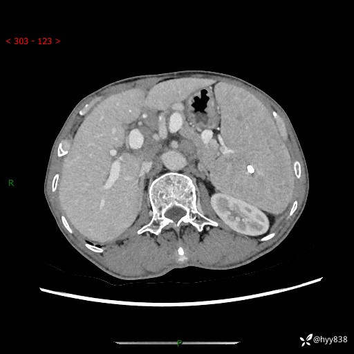
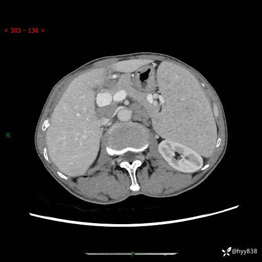
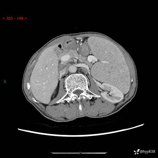
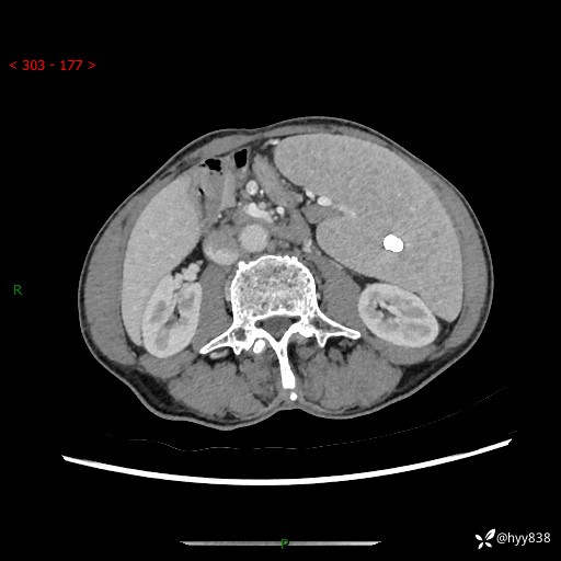
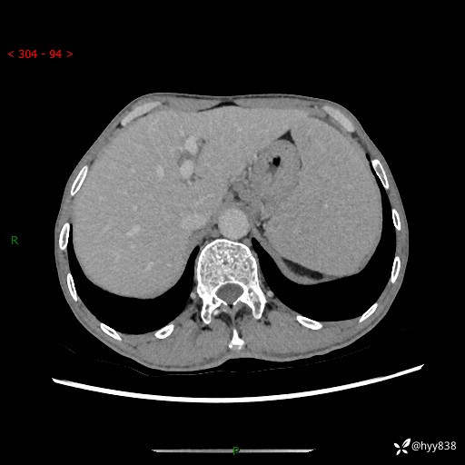
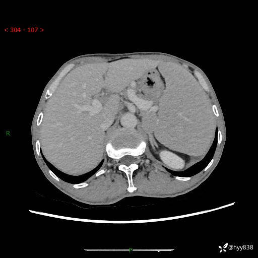
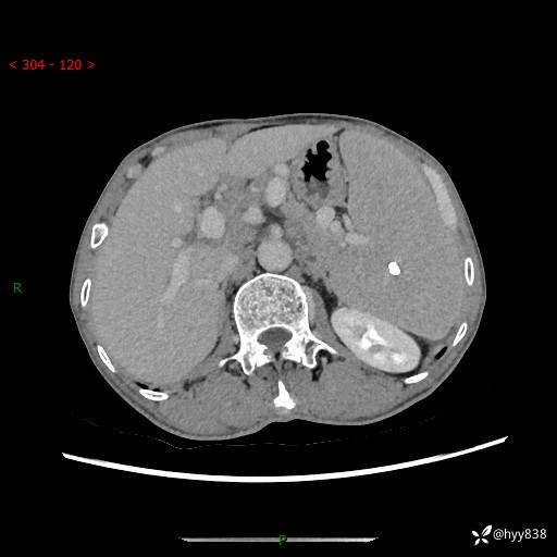
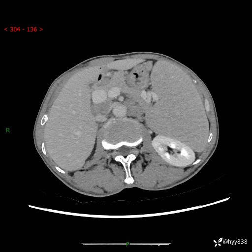
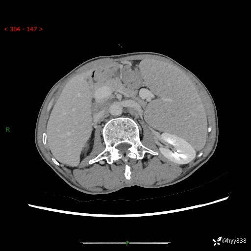
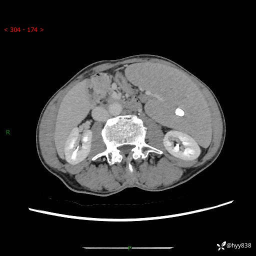
老年男性,脾大并脾脏弥漫粟粒状低密度,淋巴瘤 VS 肉芽肿 VS 血管瘤---结果公布
胡志勇HZY 达人已点赞病例信息
性别:男
年龄:72岁
简要病史: 患者于3月前无明显诱因出现脾大,伴腹部轻微不适,具体不详,无腹痛、腹泻、腹胀,无头晕、头痛、乏力,无恶心、呕吐、呕血,无胸闷、气短、胸痛不适
上腹部CT平扫+增强


























胡志勇HZY 达人已点赞病例信息
性别:男
年龄:72岁
简要病史: 患者于3月前无明显诱因出现脾大,伴腹部轻微不适,具体不详,无腹痛、腹泻、腹胀,无头晕、头痛、乏力,无恶心、呕吐、呕血,无胸闷、气短、胸痛不适
上腹部CT平扫+增强


























