踝关节骨折保守or手术治疗,你如何选择?
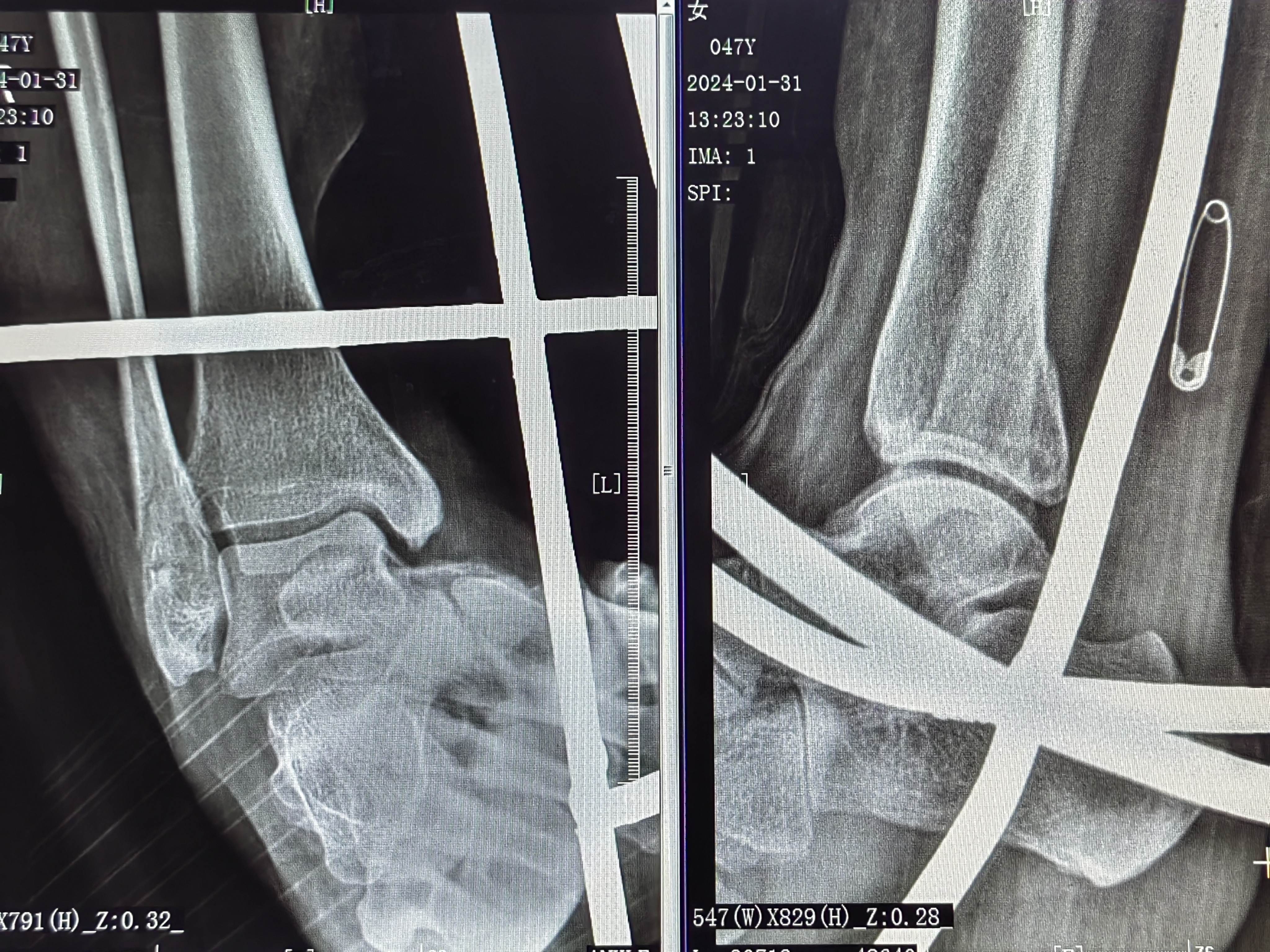
患者宋女士,47岁,右踝扭伤肿痛活动受限2小时于2024-1-30来诊。
初步诊断:右踝关节骨折
治疗方案:闭合复位夹板纸壳靴外固定治疗
首诊三维CT






复位后

3天复查CT


关节面台阶约1.0mm


9天复查

19天复查

26天复查

55天复查,更换行走石膏拄拐轻负重行走。

2.5个月功能情况,加油锻炼吧

4个月复查

10个月复查

功能恢复正常

行走正常


随访中。。。。
总结
踝关节骨折是足踝部较为常见的创伤。创伤机制多为扭转暴力与垂直暴力,占全身骨折的10%,发病率据美国统计为每年137/10万。是继髋部骨折后第二种常见的骨折。平均年龄在45岁。近年来随着社会老龄化,低能量踝关节骨折在高龄人群中发病率上升,并以女性为主,成为与骨质疏松相关的骨折。肥胖以及大于55岁的女性更容易发生踝关节骨折。其中后踝骨折发生比例占踝关节骨折总数的10%~44%,踝关节骨折治疗中较困难的是后踝骨折的处理,后踝在维持踝关节的稳定性与功能方面发挥重要的作用。
临床上对于踝关节骨折的治疗,大致分为保守治疗和手术治疗两种方式,骨科医生通过对骨折情况的判断决定是手术治疗还是保守治疗。踝关节的稳定性和关节的复位对于踝关节的功能具有重要的意义,良好的踝关节复位与固定是康复的基础,对位对线不良及踝穴不匹配会影响患者踝关节的功能及预后。
Lauge-Hansen分型 是基于损伤机制的分型,对指导闭合复位有一定的参考意义


治疗原则



我科治疗理念:
能保守不微创,能微创不开放;
首选保守治疗。

如果闭合复位后,关节面移位>2mm,建议手术治疗。
















































