踝关节骨折非手术治疗
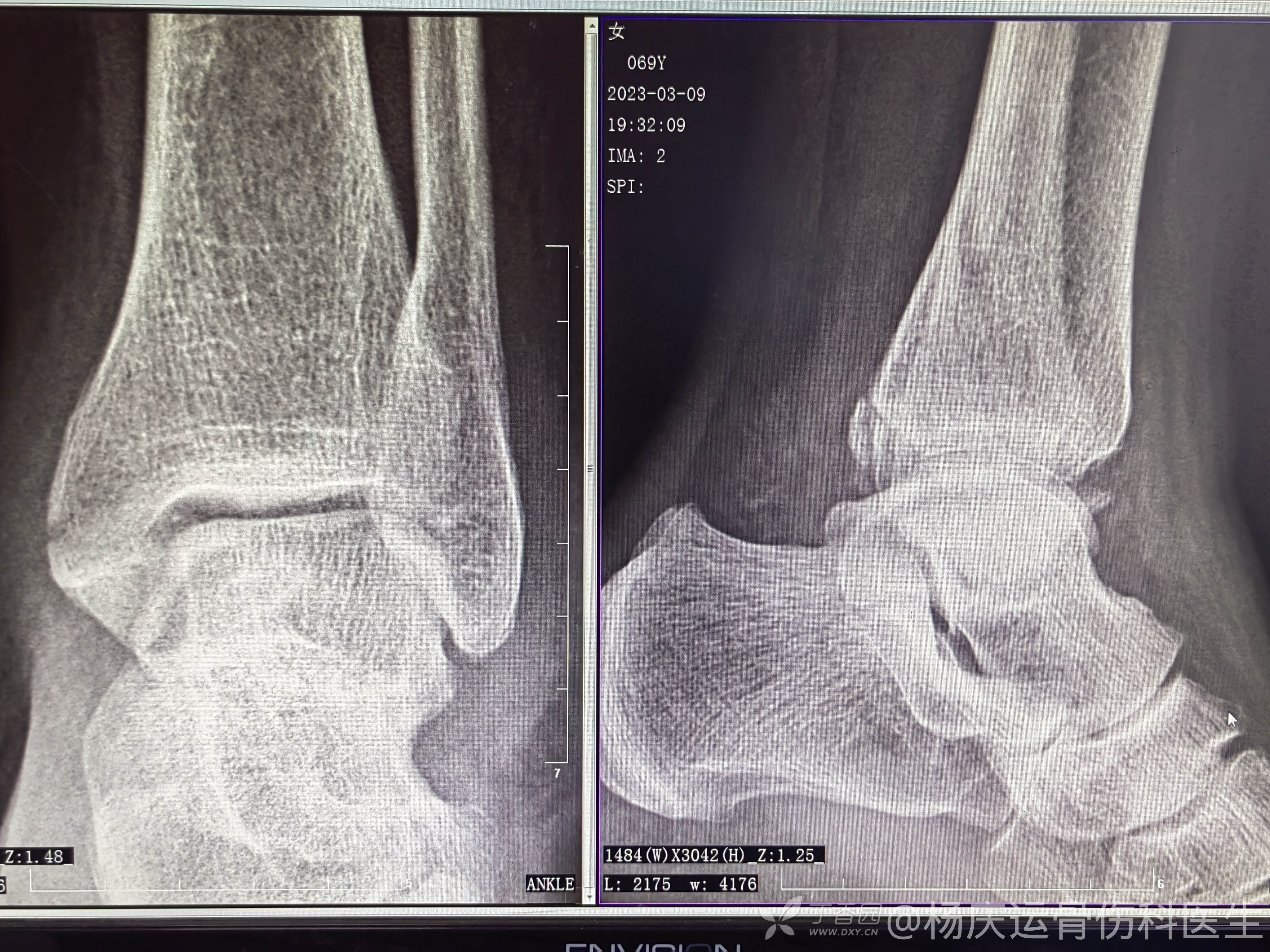
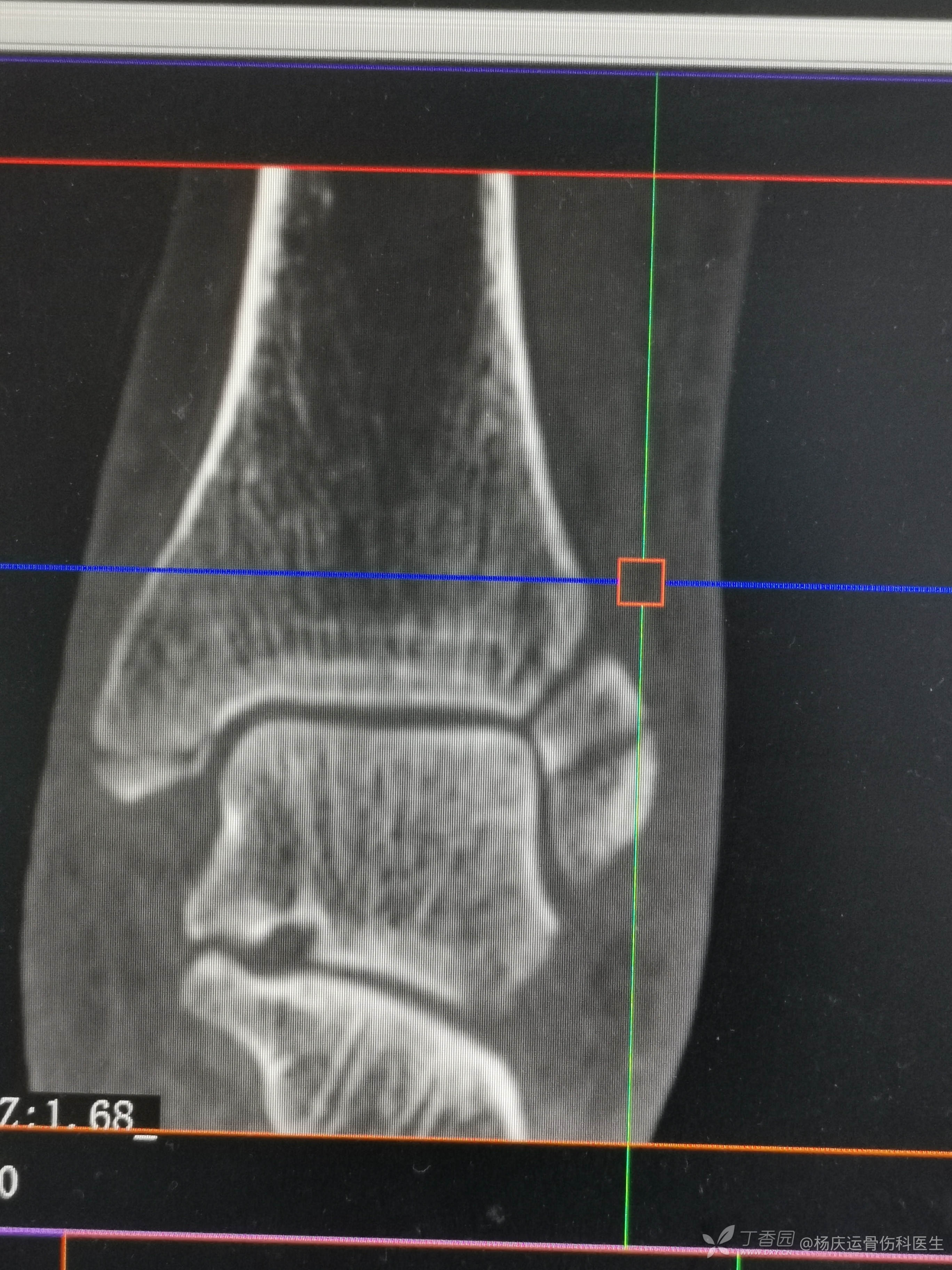
患者,女,69岁,左踝扭伤肿痛2小时。
初步诊断:左踝关节骨折(旋后外旋IV度)
治疗方案:闭合复位夹板纸壳外固定并丝袜悬吊治疗
复位前DR片

复位前CT




复位后

9天拍片

16天CT复查



37天拍片复查,拄双拐轻负重行走

待续。。。。。
患者,女,69岁,左踝扭伤肿痛2小时。
初步诊断:左踝关节骨折(旋后外旋IV度)
治疗方案:闭合复位夹板纸壳外固定并丝袜悬吊治疗
复位前DR片

复位前CT




复位后

9天拍片

16天CT复查



37天拍片复查,拄双拐轻负重行走

待续。。。。。
