踝关节骨折,下一步如何走
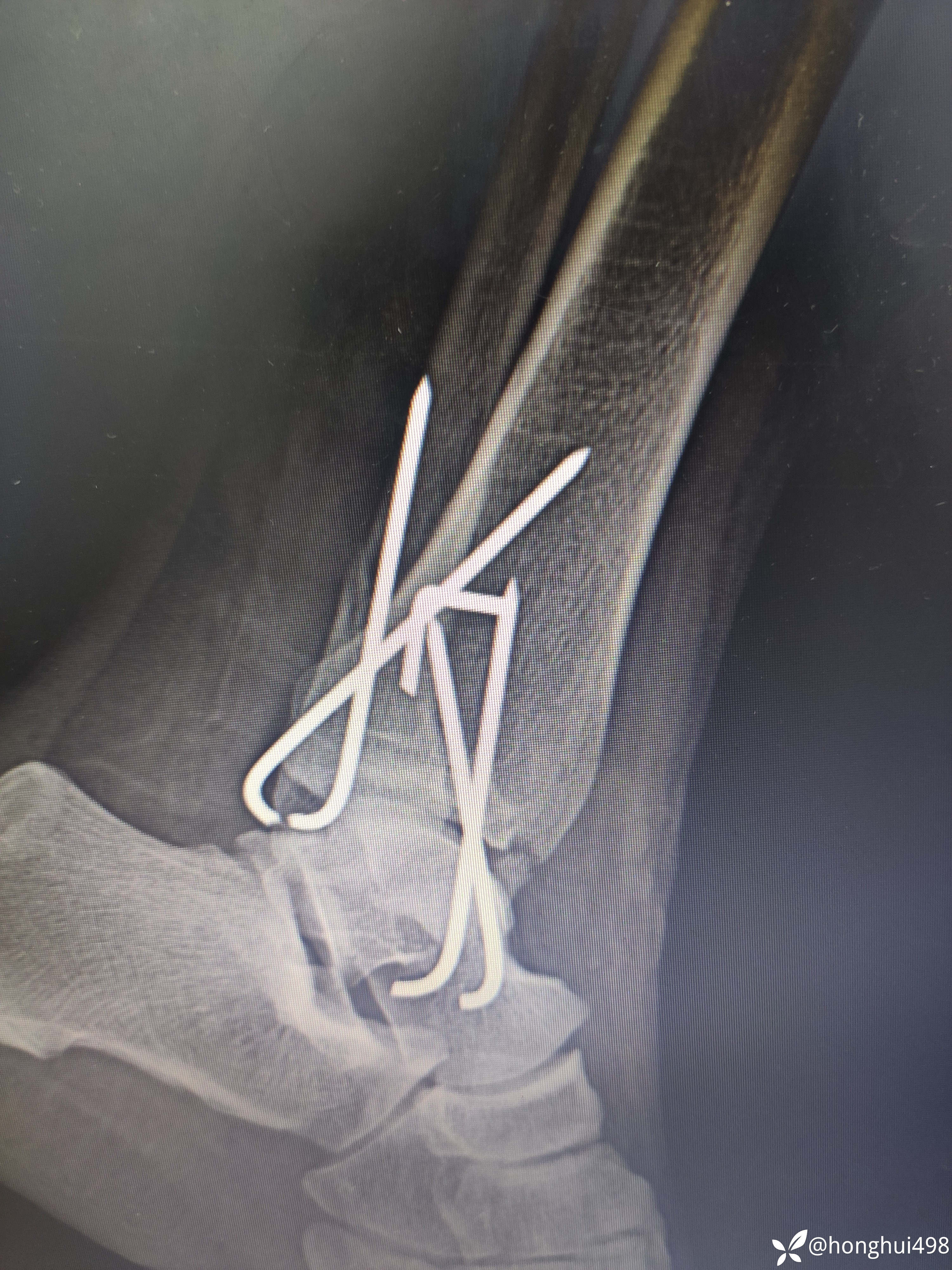
杨庆运骨伤科医生 达人已点赞女性53岁,因摔伤致左踝关节疼痛出血在当地私立医院手术治疗,据患者说内踝又挫裂伤口,诊断左踝关节骨折脱位开放性,予急诊手术克氏针内固定。术后第二天因子女都在城里上班为了方便照顾到我院要求住院治疗。
这看起来做的挺好,可是这下胫腓克氏针我该如何评价,该不该负重,等骨折愈合关节也僵硬了,如何规范治疗?


杨庆运骨伤科医生 达人已点赞女性53岁,因摔伤致左踝关节疼痛出血在当地私立医院手术治疗,据患者说内踝又挫裂伤口,诊断左踝关节骨折脱位开放性,予急诊手术克氏针内固定。术后第二天因子女都在城里上班为了方便照顾到我院要求住院治疗。
这看起来做的挺好,可是这下胫腓克氏针我该如何评价,该不该负重,等骨折愈合关节也僵硬了,如何规范治疗?


