癌,从不挑肥拣瘦
baiyu1998 推荐病例信息
同事父亲,职业教师,53岁,不吸烟,不饮酒,不熬夜,锻炼身体,体格适中。平时偶有便血症状,以为是痔疮便血,未予理会,近两个月便血次数增加,有大便困难,遂就诊后医生建议肠镜检查。
处理分析
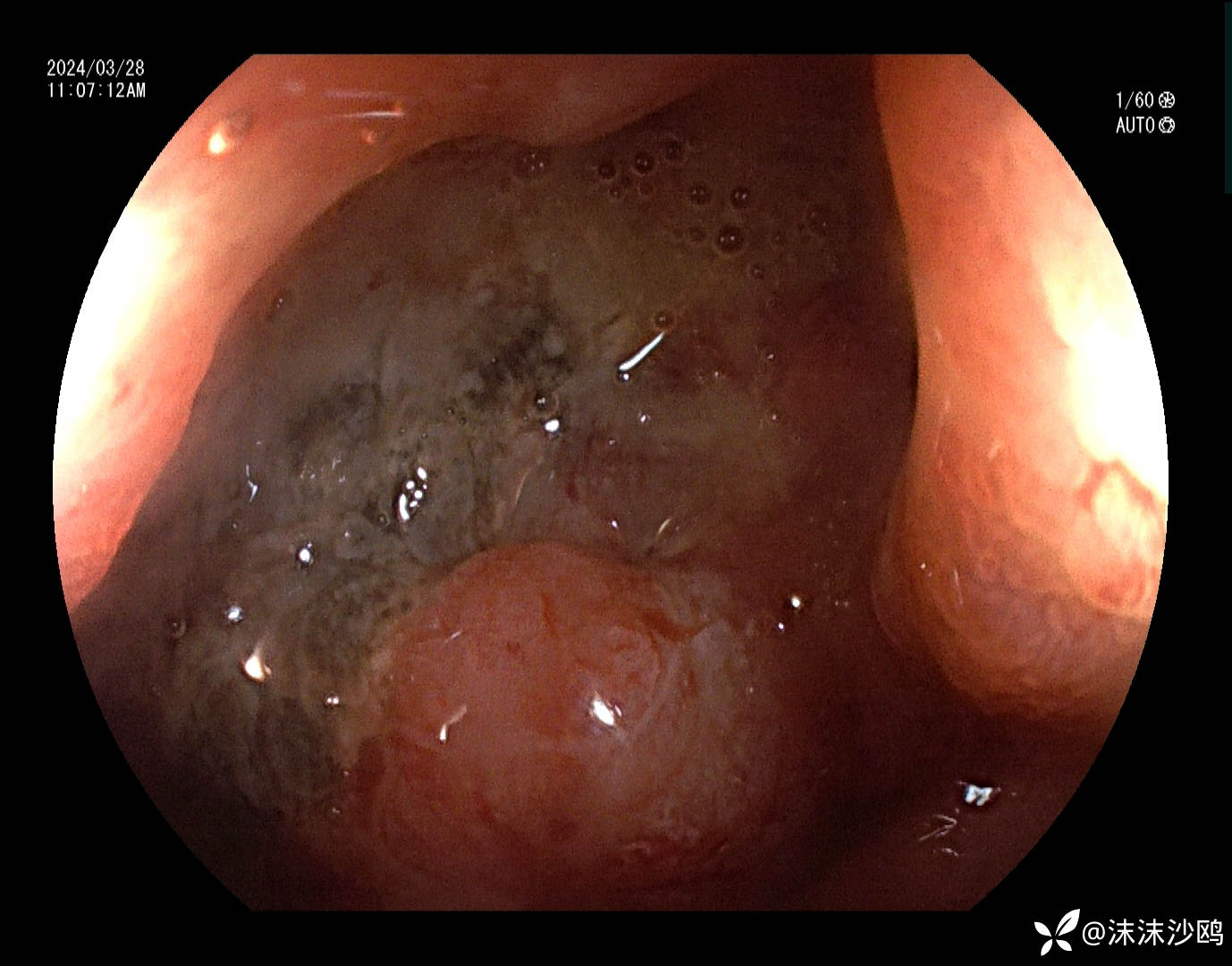
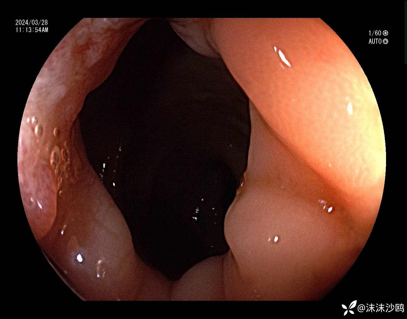
横结肠见一长蒂隆起,头端大小0.7*0.6cm,距肛缘9-15cm所见如下,管腔狭窄,镜身勉强通过。





取了活检,完善腹部CT。
问题讨论
再次提醒,消化道癌,真的只青睐那些有不良生活习惯,直系亲属肿瘤家族史,腹痛消瘦等患者吗?
胃肠镜检查纳入常规健康体检项目不容小觑,尤其对于适龄群体,不要再局限于常规健康体检项目。
















































