食管早癌?
病例信息
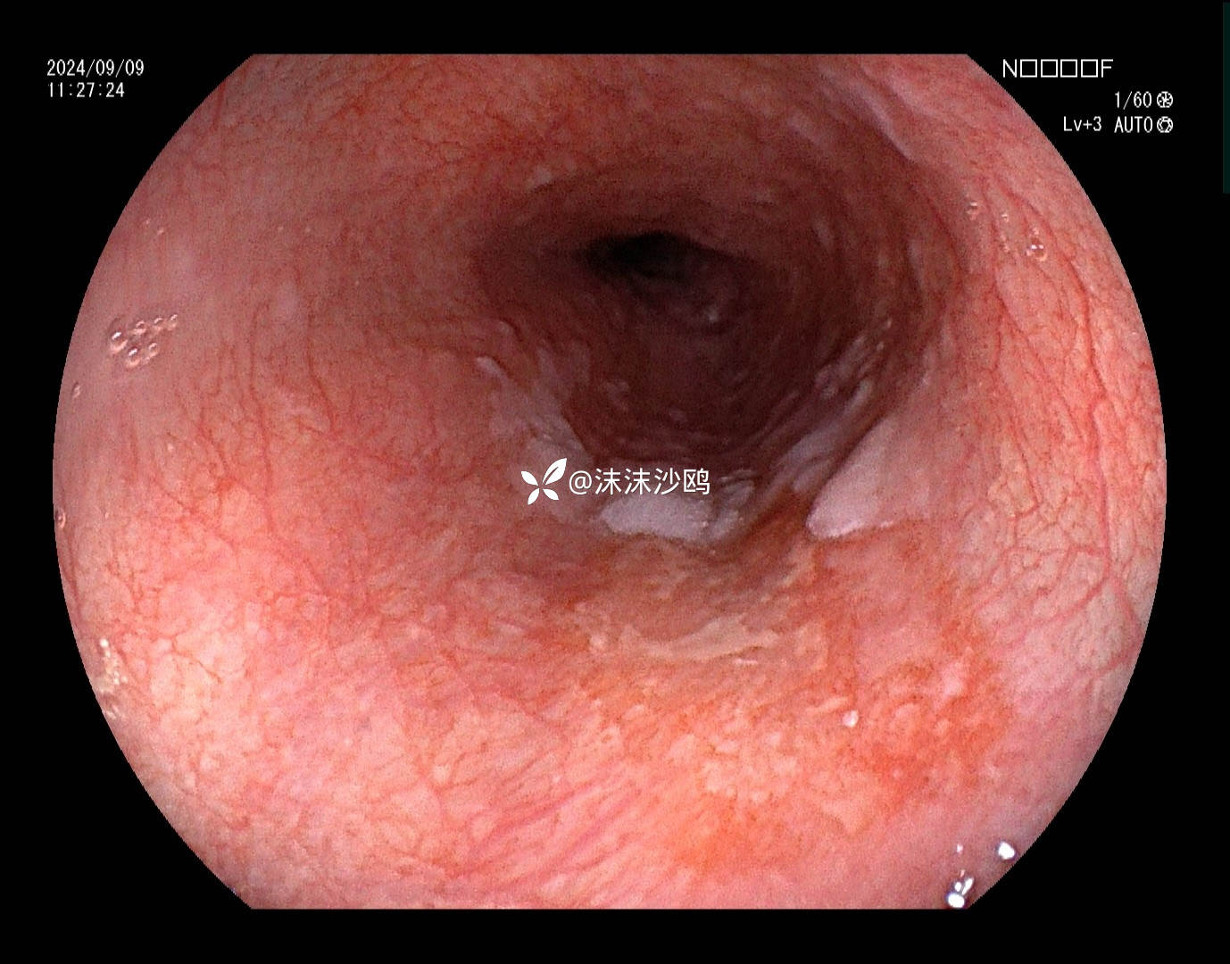
老年男性,腹胀不适门诊行普通胃镜检查。距门齿30cm见片状粘膜粗糙发红,呈0-II b型病灶。
白光
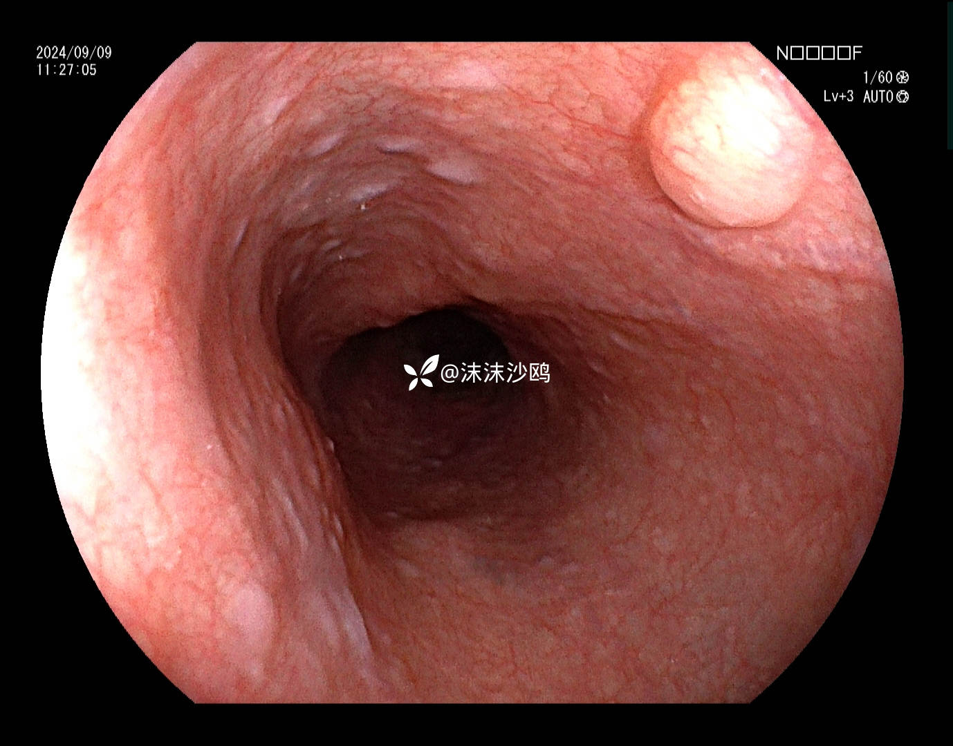
上段食管见粘膜下隆起,考虑平滑肌瘤?

距门齿30cm见片状粘膜粗糙发红,大小约2cm,形态0-II b型


LCI

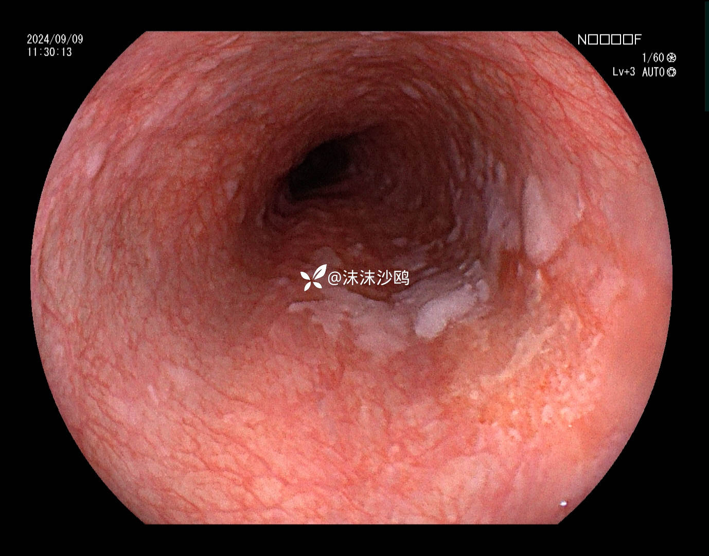
BLI


ME






病灶肛侧


处理分析
非常适合碘染的病例,可惜没有卢戈氏碘,只能电子染色放大。病灶活检2块,因出血较多,没有再继续活检。
总结与讨论
该患者平素无明显症状,吸气注气观察病灶延展性,柔软度可,白光观察粘膜呈现发红粗糙,BLI放大观察呈现明显茶褐色,可见B1型血管,局灶可见紊乱生长的B2型血管,并见AVA区域,感觉小于0.5mm。镜下考虑浸润深度,不超过SM1,应该有内镜下D的可能性。等病理结果,希望符合内镜诊断。
















































