dxy logo
首页丁香园病例库全部版块
搜索
登录

病例女,65岁,门诊行胃肠镜检查后,说腹胀入院检查,CT能发现病因吗?已公布结果

影像核医学版版主 · 发布于 2024-03-20 · IP 广东广东
2356 浏览
推荐、达人点赞 2 项荣誉
这个帖子发布于 1 年零 248 天前,其中的信息可能已发生改变或有所发展。

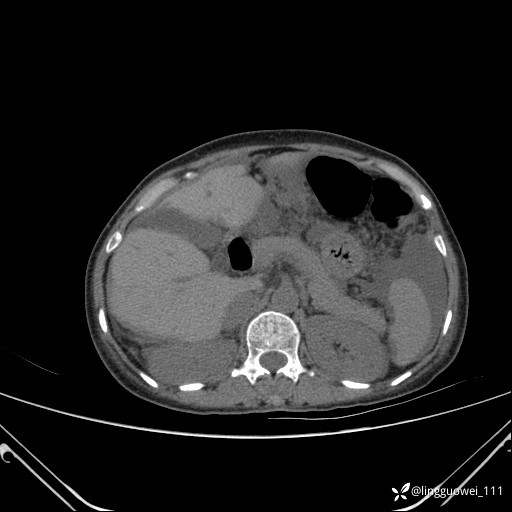
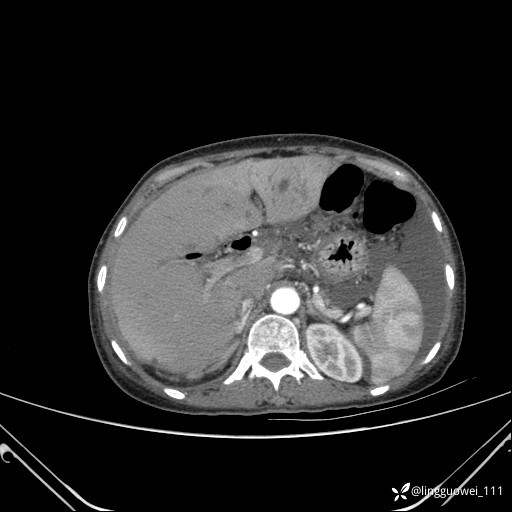
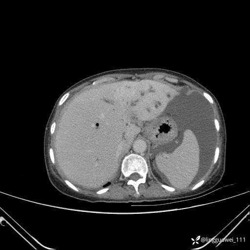
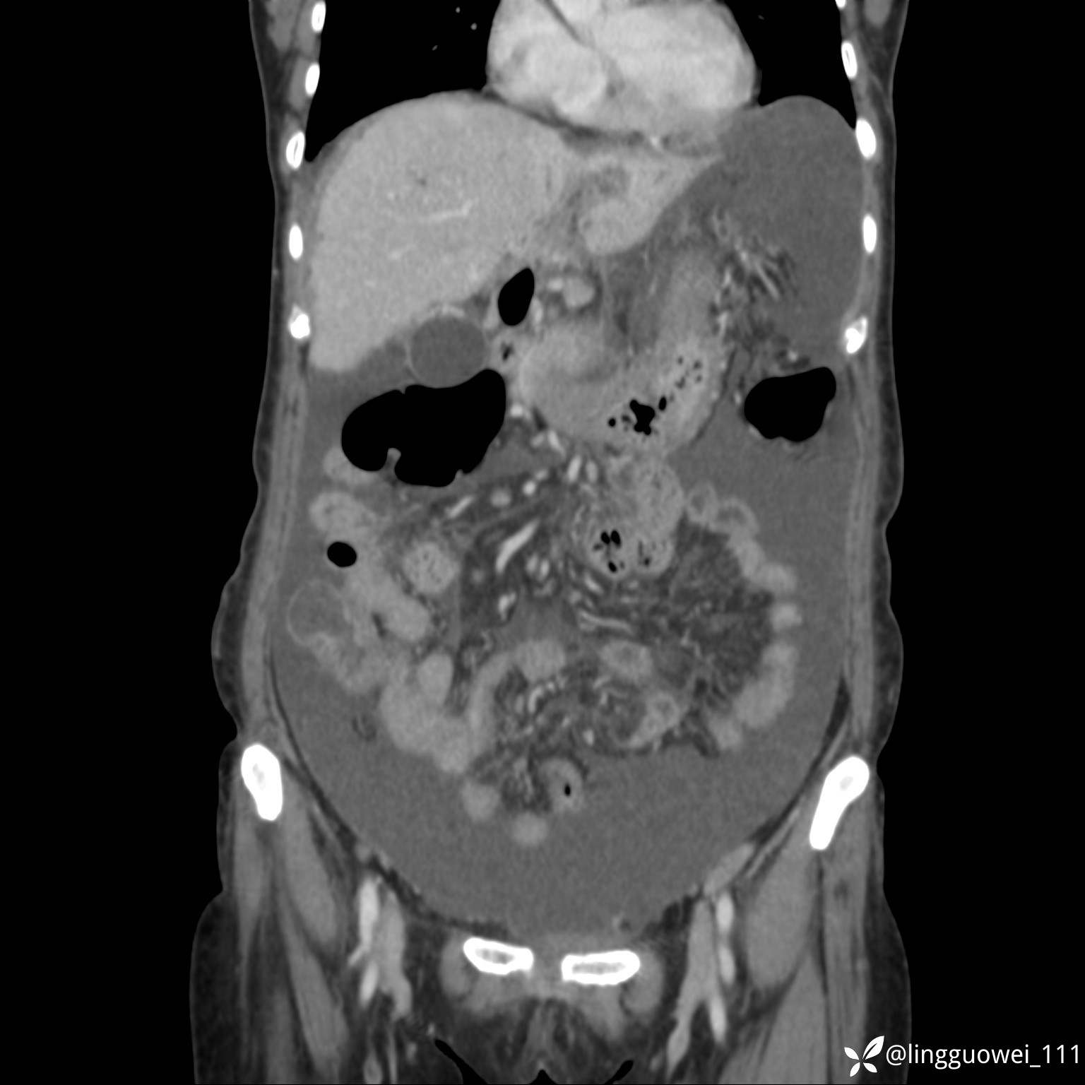
患者性别:女

患者年龄:65岁

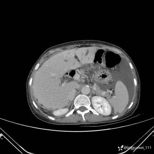
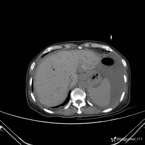
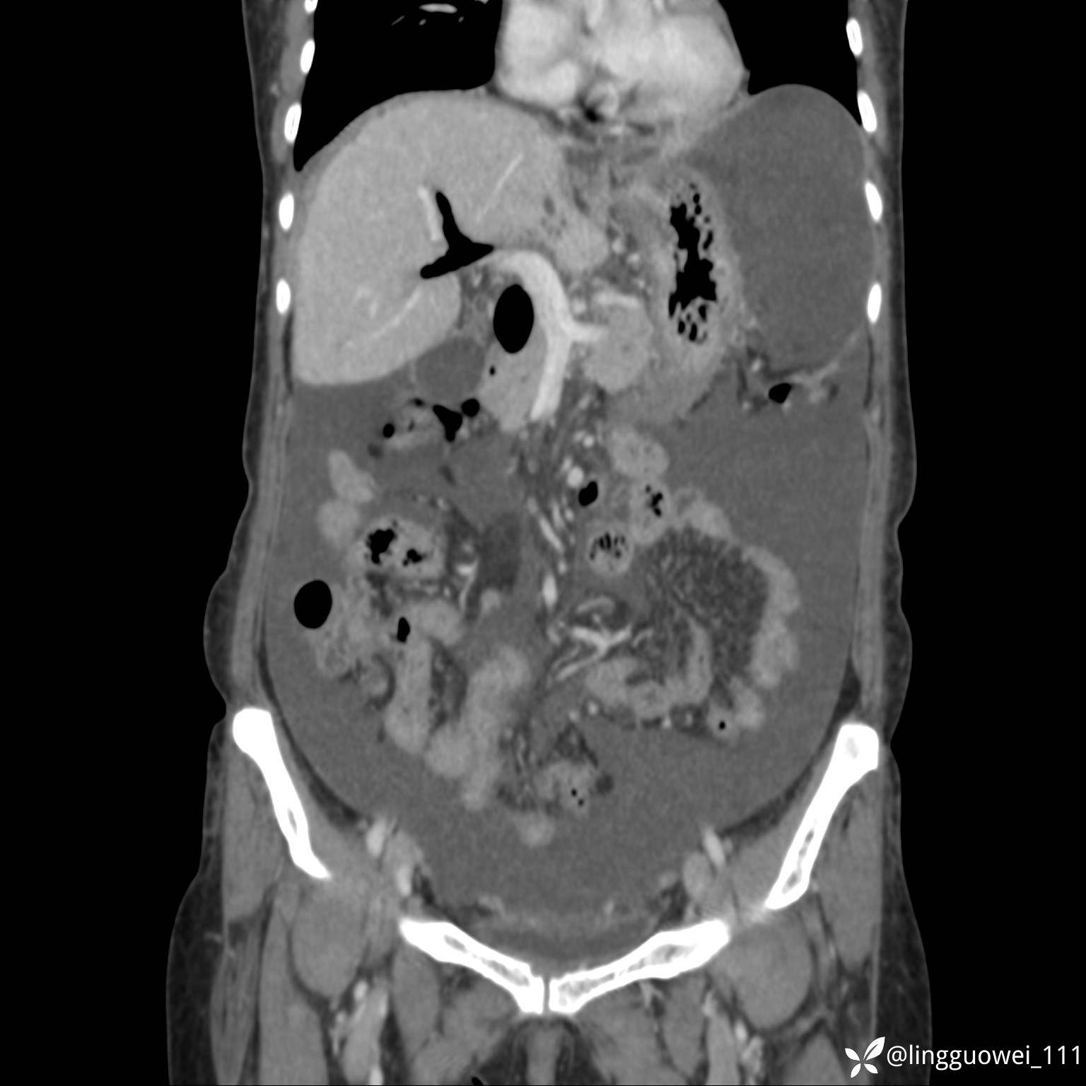
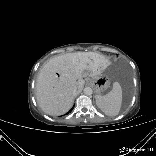
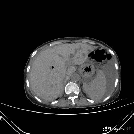
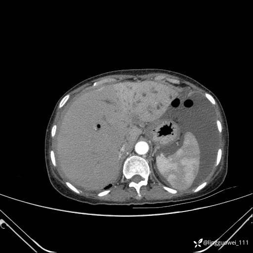
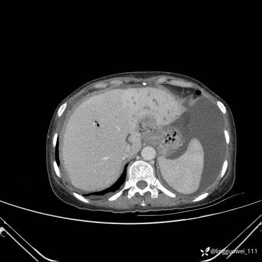
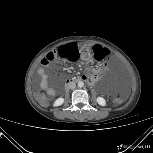
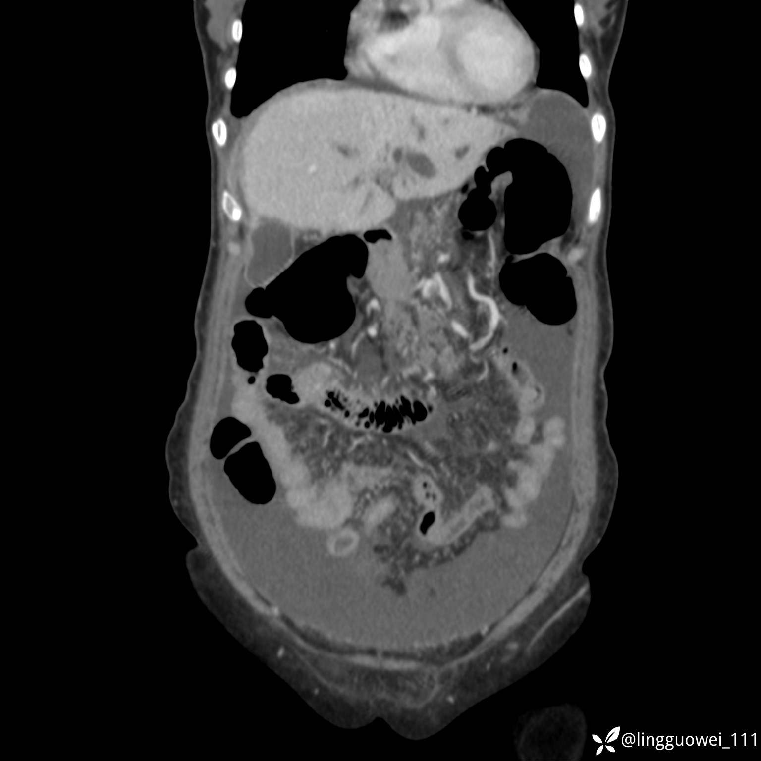
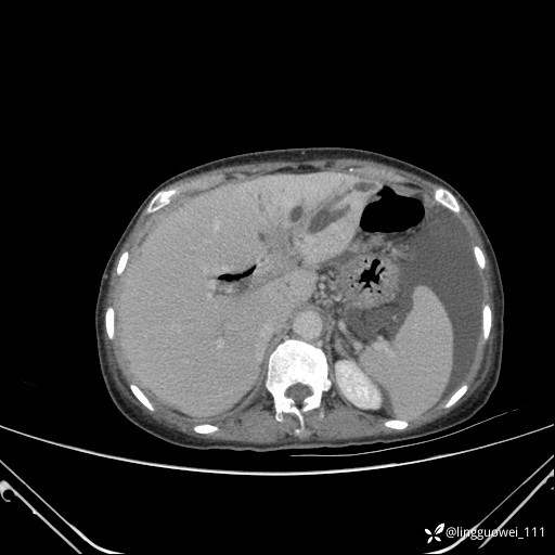
主诉:门诊行胃肠镜检查后,诉腹胀,入院检查,肝有病变吗?腹膜及腹腔的表现有特征性吗?

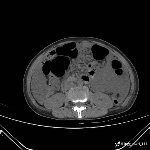
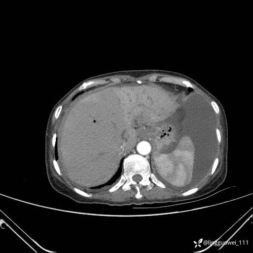
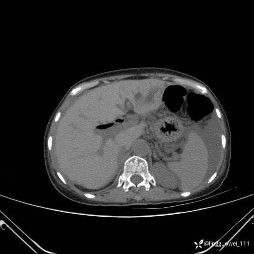
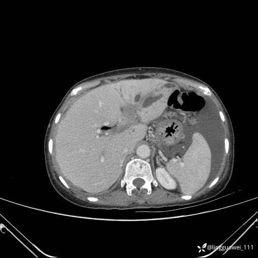
平扫:

img
img
img
img
img
img

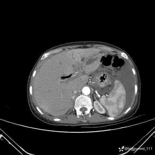
增强动脉期:

img
img
img
img
img

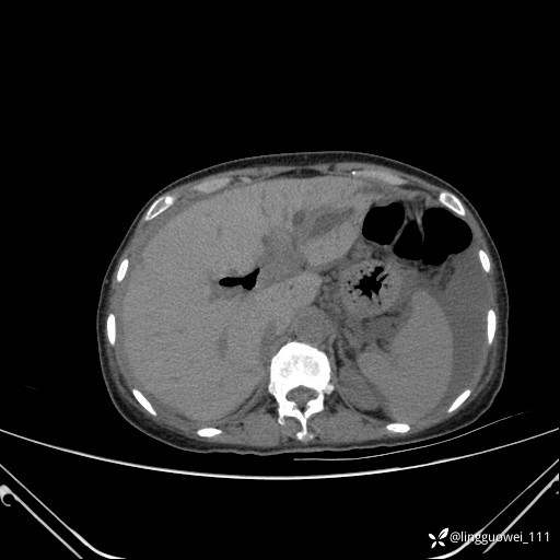
门脉期:

img
img
img
img
img
img
img
img
img
img

延迟期:

img
img
img
img
该帖还没有疾病标签去添加
12 4 27
同行评议(0)
已评议
不开通精选
开通精选
精选已授权,待上线
评议结果暂未公布
参与评议
去邀请
NaN
病例完整NaN
临床实用NaN
诊疗科学NaN
学术价值NaN

全部讨论(0)

默认最新
avatar
12
分享帖子
share-weibo分享到微博
share-weibo分享到微信
认证
返回顶部