腹部一个球,远近各一头【急腹症】国内首例CT诊断(附手术结果及发病机制简介)
患者性别:女
患者年龄:42岁。
主诉:腹痛1天,伴呕吐
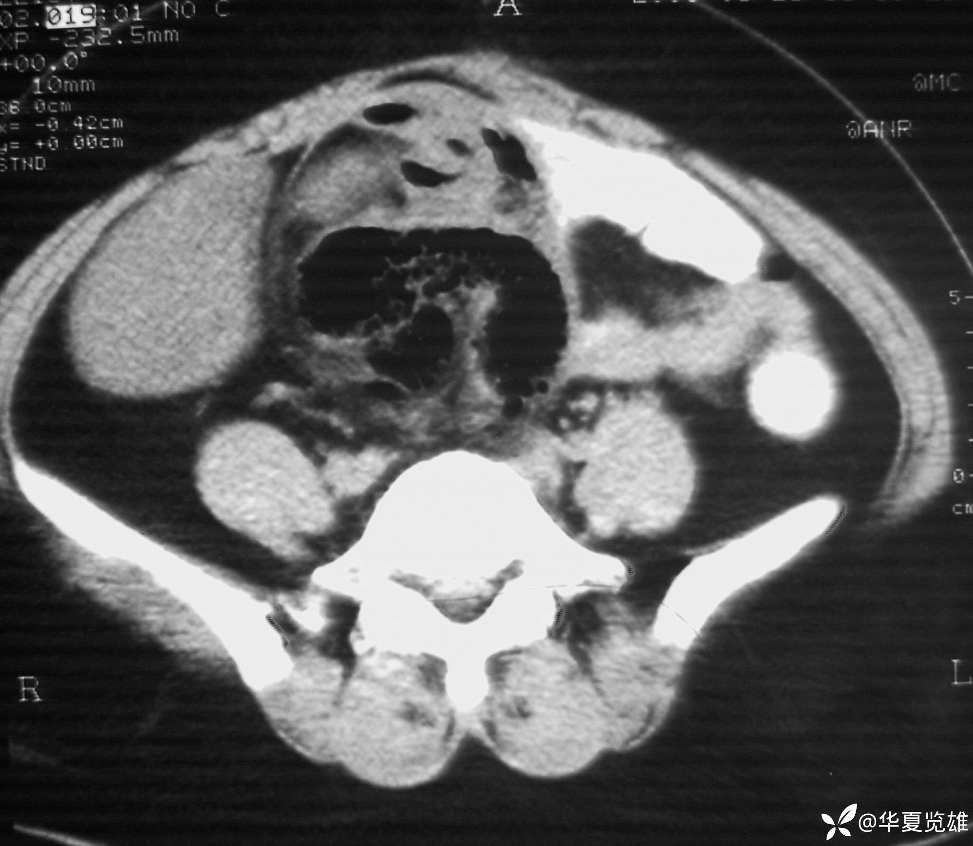
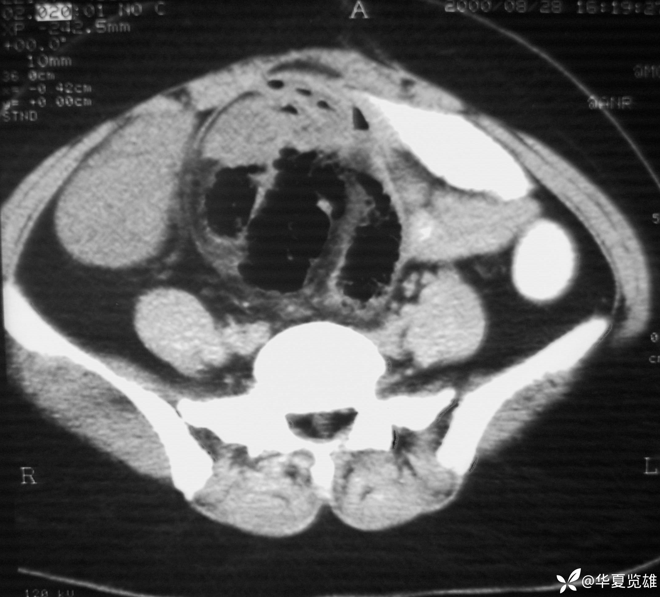
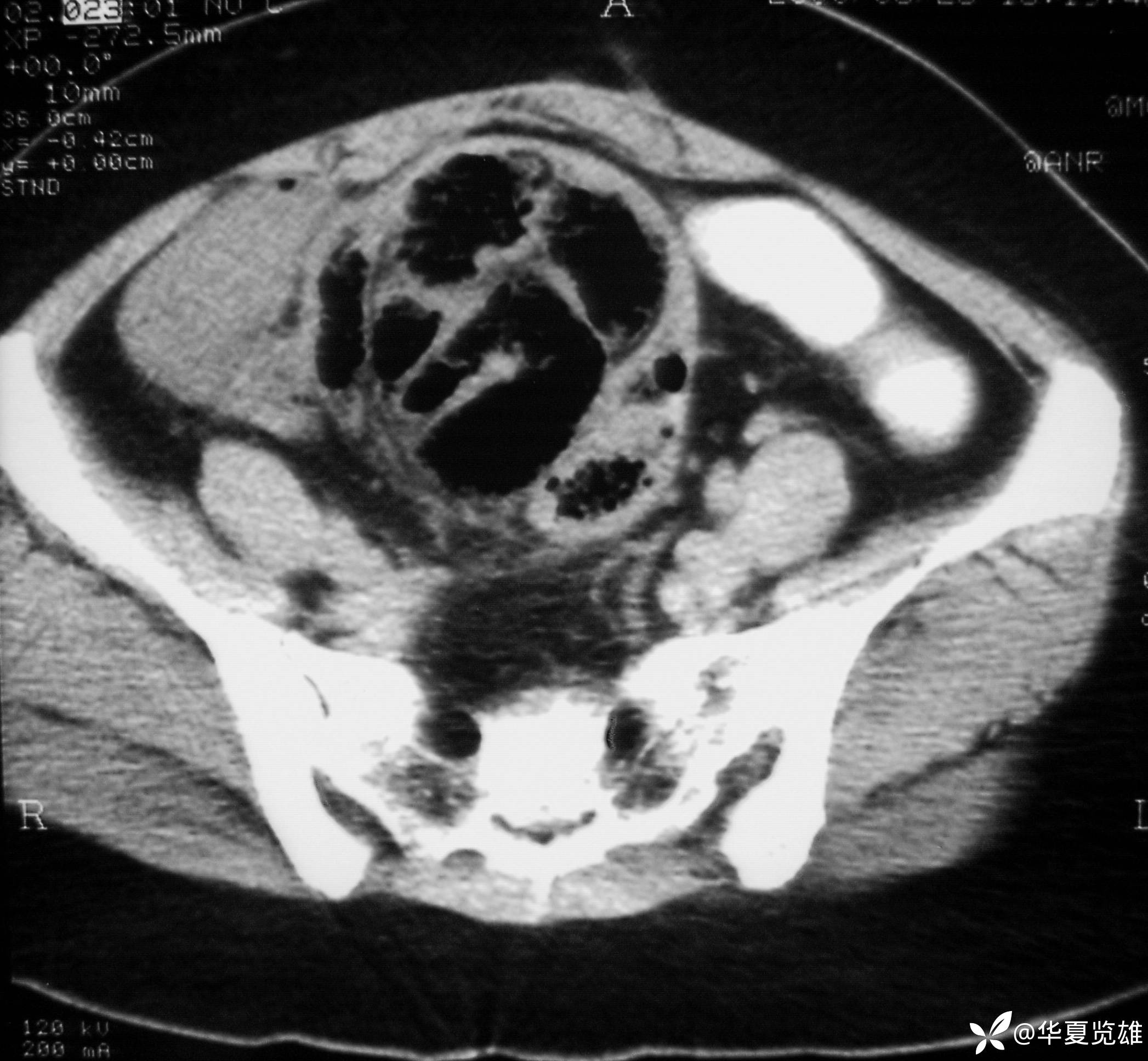
简要病史:因腹痛、呕吐 1天入院。既往有卵巢癌手术治疗史。
体格检查:下腹部有一纵形手术瘢痕。腹部压痛,无反跳痛。中下腹部扪及一12 cm× 18 cm包块,质韧,压痛。肠鸣音亢进,未闻及气过水音。
辅助检查:白细胞 13.3 × 109/ L。
临床诊断:卵巢癌术后,腹腔转移并肠梗阻。
治疗经过:手术
红箭-入口;绿箭-出口
情版号召,必须前来参与。

















患者性别:女
患者年龄:42岁。
主诉:腹痛1天,伴呕吐
简要病史:因腹痛、呕吐 1天入院。既往有卵巢癌手术治疗史。
体格检查:下腹部有一纵形手术瘢痕。腹部压痛,无反跳痛。中下腹部扪及一12 cm× 18 cm包块,质韧,压痛。肠鸣音亢进,未闻及气过水音。
辅助检查:白细胞 13.3 × 109/ L。
临床诊断:卵巢癌术后,腹腔转移并肠梗阻。
治疗经过:手术
红箭-入口;绿箭-出口
情版号召,必须前来参与。

















