《肖医生临床决策思维导图》急腹症-消化道穿孔,EM016-3
导读:《肖医生临床决策思维导图,Dr. Xiao-MDMA》急诊医学系列(EM)之急腹症-消化道穿孔,digestive tract perforation,EM016-3)。消化道穿孔常见原因/危险因素(包括常用药物)?食道穿孔和胃肠穿孔症状/体征/典型平片/CT表现?Boerhaave综合症?Hamman征?腹腔镜手术后腹腔内游离气体?保守治疗(包括抗生素)?开放手术?非开放手术指征和方法?
消化道穿孔急诊处理临床决策思维导图(MDMA):

常见问题与解答(Q&A):
1. 导致消化道穿孔的常见原因有哪些?
a) 胃肠道操作
b) 胃肠道手术
c) 外伤
d) 肠梗阻
e) 胃肠道肿瘤
f) 消化道溃疡
g) 结肠炎症性疾病或感染
2. 消化道穿孔危险因素有哪些?
a) 胃肠道操作或手术:医源性穿孔最常见原因
b) 颈/胸/腹穿通伤或钝性伤
c) 剧烈干呕或呕吐:布尔哈夫综合征(Boerhaave's syndrome)
d) 疝气/肠扭转/肠梗阻
e) 炎症性肠病
f) 阑尾炎
g) 消化道溃疡(包括吻合口溃疡)
h) 憩室病
i) 心血管疾病:肠系膜缺血
j) 胃肠道感染性疾病
k) 胃肠道肿瘤
l) 结缔组织病
m) 药物
n) 食道异物(鸡骨头,鱼刺)
3. 哪些常见胃肠道操作有导致穿孔风险?
a) 胃十二指肠镜(活检,出血局部止血,食道狭窄扩张,静脉曲张结扎)
b) 结肠镜(活检,出血局部止血,息肉切除)
c) 胃管
4. 哪些常用药物具有导致消化道穿孔风险?
a) 阿司匹林/非甾体类消炎药:憩室破裂
b) 激素+非甾体类消炎药:空肠破裂
c) 非甾体类消炎药,钾片:药片食道溃疡破裂
5. 食道穿孔常见原因是什么?
a) 内窥镜
b) 手术
c) 外伤
6. 食道穿孔常见临床症状是什么?
a) 吞咽痛
b) 突发胸痛
c) 颈部或上胸部气肿
7. 什么是布尔哈夫综合征(Boerhaave's syndrome)?
a) 剧烈呕吐后出现食道破裂
b) 三联征:呕吐,胸痛,皮下气肿
8. 食道穿孔常见体征是什么?
a) 颈部或上胸部气肿(捻发音)
b) Hamman征
9. 什么是Hamman征?
a) 提示纵隔气肿
b) 随着每一次心跳出现的破碎声
10.食道破裂影像学检查方法是什么?
a) 颈部或胸部平片
b) 颈部或胸部CT平扫
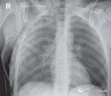
11.食道破裂典型平片表现是什么?
a) 颈部皮下积气


b) 胸部皮下积气

c) 纵隔气肿

12.食道破裂典型CT表现是什么?
a) 颈部皮下积气

b) 胸部皮下积气

c) Naclerio V型征

d) 主动脉旁气体

e) 纵隔气肿

13.胃肠道穿孔常见症状是什么?
a) 突发腹痛
b) 可有短暂缓解(肠道内压力缓解)
14.胃肠道穿孔常见体征是什么?
a) 腹部压痛
b) 肌紧张
c) 反跳痛
d) 腹部膨胀
e) 腹部叩诊鼓音
15.胃肠道破裂影像学检查方法是什么?
a) 胸腹部平片(敏感度50-70%)
b) 腹部CT平扫
16.胃肠道破裂典型平片表现是什么?
a) 腹内游离气体
i. 直立片:

ii. 侧位片:

b) 圆屋顶征(Cupola)

c) Rigler征

d) 腰大肌征(psoas sign)

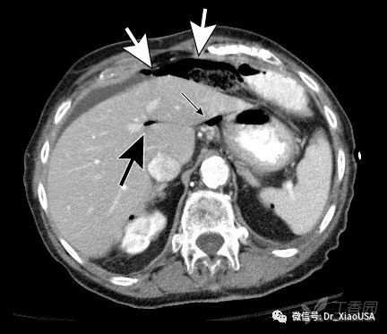
17.胃肠道破裂典型CT表现是什么?
a) 腹腔内游离气体

18.腹腔镜手术后腹腔内游离气体持续多长时间?
a) 术后24小时40%患者会有2cm左右的游离气体
b) 通常逐渐减少,持续1周
c) 如游离气体有增加,要排除肠穿孔
19.如何判断上消化道穿孔部位?
a) 胃食道镜(敏感度 96-100%,特异性 92-100%)

b) 上消化道造影

20.食道穿孔患者做上消化道造影时首选哪种造影剂?
a) 水溶性泛影葡胺(gastrografin)
21.食道穿孔患者做上消化道造影时能用钡剂吗?
i. 不建议
ii. 因为钡剂外流可以导致肉芽肿
iii. 同时影响其它影像学检查
22.如何判断胃肠道穿孔部位?
a) 腹部CT

23.消化道穿孔保守治疗包括哪些?
a) 静脉补液
b) 止痛
c) 禁食
d) 胃管减压(除食道破裂除外)
e) 质子泵抑制剂(食道穿孔)
f) 广谱抗生素:
i. 派拉西林-他唑巴坦或
ii. 轻症:头孢曲松钠+甲硝唑,左氧氟沙星+甲硝唑
iii. 重症:头孢砒肟+甲硝唑,头孢他啶+甲硝唑
24.食道穿孔首选治疗方法是什么?
a) 开放手术修补
25.食道穿孔非开放手术修补指征有哪些?
a) 血液动力学不稳定
b) 食道周围组织坏死(诊断太迟)
c) 食道周围组织脆弱
d) 手术技术受限
26.食道穿孔非开放手术治疗方法有哪些?
a) 局部引流
b) 食道改道
c) 食道支架
d) 食道夹
27.肠穿孔患者手术(开腹或腹腔镜)探查的指征有哪些?
a) 持续腹痛
b) 腹痛恶化
c) 腹膜炎
d) 脓毒血症
e) 肠缺血(EM016-2)
f) 完全或闭襻性肠梗阻















































