《肖医生临床决策思维导图》急诊医学系列(EM)之急腹症-肠梗阻,EM016-4
华夏览雄 达人已点赞导读:《肖医生临床决策思维导图,Dr. Xiao-MDMA》急诊医学系列(EM)之急腹症-肠梗阻,bowel obstruction,EM016-4)。小肠和结肠梗阻原因?闭襻性肠梗阻?肠梗阻症状/体征/实验室检查?正常肠道直径大小?如何在腹部平片上区别小肠和结肠?小肠及结肠梗阻平片和CT典型表现?肠梗阻保守治疗方法及手术指征?肠麻痹原因/影像学特点/治疗?中毒性巨结肠原因和治疗方法?
肠梗阻急诊处理临床决策思维导图(MDMA):

小肠梗阻与肠麻痹区别:

常见问题与解答(Q&A):
1. 肠梗阻根据部位分哪两类?
a) 小肠梗阻(80%)
b) 大肠(结肠)梗阻(20%)
2. 小肠梗阻的常见原因有哪些?
a) 肠黏连
b) 疝气
c) 肿瘤
d) 小肠肠扭转(4-15%)
e) 肠套叠(4-8%)
f) 克隆氏病(3-7%)
g) 胆囊结石(2%)
3. 大肠梗阻的常见原因有哪些?
a) 肿瘤(60%)
b) 结肠扭转(15-20%):盲肠或乙状结肠
c) 憩室炎
d) 疝气
e) 结肠黏连
f) 结肠狭窄
4. 什么是闭襻性(close loop)肠梗阻?
a) 一段肠段(通常是小肠)的两端出现梗阻

5. 闭襻性肠梗阻的危险是什么?
a) 容易出现缺血,坏死,或穿孔
6. 导致小肠梗阻的危险因素有哪些?
a) 既往腹部或盆腔手术
b) 腹壁或腹股沟疝
c) 小肠炎症(如克隆氏病)
d) 肿瘤
e) 既往腹部或盆腔反射治疗
f) 误食异物
7. 肠梗阻的典型症状有哪些?
a) 腹痛
b) 恶心和呕吐(腹痛发生后)
c) 不排便和排气
8. 肠梗阻患者腹痛有哪些特点?
a) 通常为阵发性绞痛
b) 如变成持续性,要考虑有肠缺血或坏死(见EM016-2)
c) 如腹痛突然加重,要考虑有肠穿孔(见EM016-3)
9. 小肠梗阻患者有可能在梗阻发生后多长时间内仍可能有排便或排气?
a) 12-24小时内
10.肠梗阻患者会有哪些体征?
a) 腹部压痛
b) 腹部膨胀
c) 肠鸣音亢进
d) 叩诊过清音或鼓音
e) 脱水:低血压,心动过速
11.肠梗阻患者会出现什么酸碱失衡?
a) 代谢性碱中毒:由严重呕吐引起
b) 代谢性酸中毒:要排除肠缺血
12.肠梗阻患者检查乳酸水平的意义是什么?
a) 如乳酸升高,要考虑有肠缺血的可能
13.肠道正常直径是多少?
a) 小肠<3cm
b) 结肠<6cm
c) 盲肠<9cm
14.如何在影像学上区分大小肠?
a) 小肠:有环状壁(valvulae conniventes),横跨小肠内径(右下图)

b) 结肠:有结肠袋(haustra),从一侧结肠壁突出,但不连接到另一侧结肠壁(左上图)
15.肠梗阻影像学检查方法是什么?
a) 胸腹部平片(直立胸片+直立腹片+腹平位片)
b) 腹部CT(最好做增强CT)
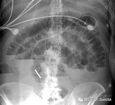
16.小肠梗阻典型平片表现是什么?
a) 小肠扩张(平卧位):>6cm

b) 气液平面(直立位)

17.结肠梗阻的典型平片表现是什么?
a) 结肠扩张:>8cm

b) 咖啡豆征(coffee bean):提示乙状结肠扭转
扭转后扩张的乙状结肠襻贴在一起

c) 乙状结肠北移征(Northern exposure):乙状结肠扭转
扭转后扩张的乙状结肠移位到右上腹

18.如何从腹部平片区分盲肠和乙状结肠扭转?
a) 乙状结肠扭转:
i. 扩张的结肠从左下腹到右上腹(乙状结肠北移征和咖啡豆征)
ii. 没有结肠袋
iii. 全部结肠都扩张
iv. 可见几个液气平面

b) 盲肠扭转:
i. 扩张的结肠从右下腹到左上腹
ii. 有结肠袋
iii. 远端结肠不扩张
iv. 只可见1个液气平面

19.小肠梗阻典型腹部CT表现是什么?
a) 近端小肠扩张伴气液平面

b) 梗阻部位(transition point):远端小肠收缩

20.结肠梗阻的典型CT表现有哪些?
a) 结肠扩张

b) X交叉征(X-marks-the-spot):提示结肠扭转
i. 一个部位出现2个扭转点(近端- B和远端- C),每个扭转点轴心线相互垂直(X征,黄色长箭头标志)

c) 结肠壁分裂(split the wall):提示不完全结肠扭转
i. 两段扭转的结肠(短黄箭头)由肠系膜(长黄箭头)分开

d) 盲肠吊桥征(cecal bascule):提示盲肠扭转
i. 盲肠向前上翻转形成一个折叠带(白色短箭头)

21.小肠梗阻患者做腹部CT时需要常规给口服造影剂吗?
a) 不建议
b) 对增加诊断肠梗阻敏感性无意义
c) 但确延误时间,增加费用,增加不适(恶心,呕吐,误吸)
22.哪些小肠梗阻患者做腹部CT时可以给口服造影剂?
a) 部分肠梗阻
b) 反复发作肠梗阻
23.肠梗阻腹部CT检查的优势有哪些?
a) 梗阻部位
b) 梗阻严重程度
c) 梗阻原因:肿瘤,疝气,炎症
d) 并发症:缺血,坏死,穿孔
24.疑有小肠梗阻妊娠患者或小儿应首选哪种影像学检查?
a) 腹部MRI(平扫)
25.闭襻性小肠梗阻腹部CT特征是什么?

26.小肠扭转腹部CT特征是什么?
a) 漩涡征(whirl)

27.小肠套叠腹部CT特征是什么?
a) 标靶征(target)


28.嵌顿疝和绞窄性疝有什么区别?
a) 嵌顿疝:不能手法复位,但疝内肠管没有缺血表现
b) 绞窄性疝:不能手法复位,但疝内肠管有缺血表现
29.嵌顿性疝腹部CT特征是什么?
a) 没有炎症或缺血性改变

30.绞窄性疝腹部CT特征是什么?
a) 有炎症或缺血性改变

31.什么是肠麻痹(ileus)?
a) 短暂性肠蠕动紊乱(丧失)导致肠管(小肠和结肠)积气扩张
b) 没有机械性梗阻
c) 但可以导致肠梗阻
32.常见导致肠麻痹的原因有哪些?
a) 腹部手术
b) 电解质紊乱(低钠,低钾,低镁,高镁)
c) 药物(鸦片类,抗胆碱能类,三环抗抑郁药,钙拮抗剂)
d) 脊柱手术
e) 尿毒症,肠系膜缺血,心肌梗塞
f) 严重感染
33.肠麻痹的影像学特点是什么?
a) 大小肠都扩张(包括直肠)
b) 可伴有气液平面
c) 没有梗阻部位(transition point)


34.肠梗阻和肠麻痹有什么不同?
a) 见表2/2
35.最常见导致中毒性巨结肠(toxic megacolon)两大基础病是什么?
a) 难辨梭状芽孢菌结肠炎
b) 炎症性肠病(溃疡性结肠炎,克隆氏病)
36.中毒性巨结肠常见临床表现是什么?
a) 血性腹泻
b) 腹部膨隆
37.中毒性巨结肠诊断标准是什么?
a) 影像学显示结肠扩张(>6cm)


b) 加上下列中的3项:
i. 发热>38ºC
ii. 心率>120
iii. 中性粒细胞>10,500
iv. 贫血
c) 再加上下列中的至少一项:
i. 脱水
ii. 神志改变
iii. 电解质紊乱
iv. 低血压
38.任何判断小肠梗阻原因有可能为肠系膜黏连?
a) 有腹部手术史
b) 没有其它导致梗阻的原因
39.小肠梗阻非手术治疗方法有哪些?
a) 禁食
b) 补液
c) 纠正酸碱平衡
d) 纠正电解质
e) 胃肠减压(胃管)
f) 抗生素
g) 泛影葡胺(肠黏连性梗阻)
40.肠梗阻患者放胃管减压的指征有哪些?
a) 高度梗阻
b) 恶心/呕吐
c) 腹部明显膨胀
41.肠梗阻患者使用抗生素的指征有哪些?
a) 出现合并症:肠缺血,坏死,穿孔
b) 感染性肠病
42.泛影葡胺(GGF)治疗小肠梗阻的指征是什么?
a) 由肠系膜黏连引起的梗阻
43.泛影葡胺治疗小肠梗阻的机制是什么?
a) 减轻肠壁水肿(没有稀释的泛影葡胺渗透压为2150 mOsm/L)
b) 增强肠道蠕动
44.任何使用泛影葡胺判断小肠梗阻是否缓解?
a) 服用泛影葡胺24小时后腹部平片显示泛影葡胺已进入结肠
b) 敏感性97%,特异性96%
45.对肠系膜黏连小肠梗阻患者如何使用泛影葡胺?
a) 非稀释泛影葡胺
b) 100ml
c) 口服或胃管
d) 如有胃管患者,要停止负压吸引2-4小时
46.小肠梗阻急诊手术指征有哪些?
a) 肠缺血或坏死(EM016-2),穿孔(EM016-3)临床表现:
i. 发热
ii. 白血球增高
iii. 心率快
iv. 腹痛不缓解或加重
v. 代谢性酸中毒
vi. 乳酸升高
vii. 呼吸困难
viii. 腹膜炎
b) 腹部CT指征:
i. 腹腔内游离气体(见EM016-3)
ii. 肠缺血(见EM016-2)
iii. 闭襻性肠梗阻
iv. 高度梗阻
v. 漩涡征(whirlpool):肠扭转
vi. 标靶征(target):肠套叠
vii. 嵌顿疝或绞窄性疝
47.小肠梗阻择期手术指征有哪些?
a) 症状没有加重,但在3天内梗阻没有缓解
b) 住院期间任何时间内症状加重
48.小肠梗阻患者住院期间监测梗阻是否解除的首选方法是什么?
a) 病情稳定或好转:腹部平片
b) 病情加重:增强腹部CT
49.判断小肠梗阻患者需要手术探查可能性的指标有哪些?
a) 6个指标:
i. 腹痛超过4天
ii. 腹部体检出现肌紧张
iii. C反应蛋白>75 mg/L
iv. WBC>10
v. 腹部CT显示>500 mL腹腔内积液
vi. 腹部增强CT显示肠壁没有增强
b) 如果有3个或3个以上指标患者需要手术的特异性为90.8%
50.什么是术后小肠梗阻?
a) 腹部手术后4-6周内出现梗阻
51.术后小肠梗阻处理原则是什么?
a) 如病情没有加重,保守治疗
b) 观察时间要比没有近期手术患者长
52.没有既往腹部手术史患者出现小肠梗阻要注意什么?
a) 如没有紧急手术指征,可以尝试保守治疗
b) 但手术可能性高于有手术史患者
53.乙状结肠扭转肠梗阻如何治疗?
a) 乙状结肠镜减压
54.盲肠扭转肠梗阻如何治疗?
a) 手术
55.由肿瘤导致结肠梗阻如何治疗?
a) 梗阻部位结肠内支架
b) 手术
56.肠麻痹治疗方法有哪些?
a) 胃管减压
b) 补液
c) 避免鸦片类止痛药
d) 可考虑新斯的明
e) 如保守治疗无效,要考虑手术
57.由炎症性肠病引起的中毒性巨结肠治疗方法是什么?
a) 氢化可的松:100mg,静脉,每6-8小时一次
b) 如3天内无效,加用英夫利西单抗(Infliximab)或环孢菌素
c) 如3天内还是无效,建议手术
58.由难辨梭状芽孢杆菌结肠炎引起的中毒性巨结肠治疗方法是什么?
a) 万古霉素 500mg,口服,每天4次
b) 加上甲硝唑 500mg,静脉,每8小时一次
c) 保守治疗无效,建议手术















































