昨天肺结节门诊,“对门”呼吸科申请会诊病例,弥漫性肺部病变---结果公布~
胡志勇HZY 达人已点赞患者性别:男
患者年龄:51岁
主诉:发热、咳嗽、咳痰1周
简要病史:患者1周前无明显诱因出现咽喉部疼痛,随后出现咳嗽咳痰,起初干咳为主,后出现咳少许绿色痰,当时有发热,体温为39℃,无畏寒寒战,无胸闷胸痛,无活动后气短,无咯血,无鼻塞流涕,无全身酸痛,患者于诊所输液治疗后体温正常,但仍有咳嗽。患者3天前当地县人民医院就诊,患者仍有咳嗽,咳嗽较为频繁,咳嗽后出现头痛,伴有少许咳痰,随后出现活动后气短,1天前患者再次出现发热,体温最高为40℃,伴有畏寒寒战,伴有乏力、纳差,伴有胸闷不适,无咯血,无全身皮疹,无血尿、尿频尿急尿痛,无腹泻,诊断为“重症肺炎 感染性休克 肾功能异常 痛风”;予以抗感染(亚胺培南),抗病毒(奥司他韦)等对症治疗。患者复查胸部CT提示双肺病灶较前有所增多,建议上级医院就诊,门诊以“肺部感染”收入我科。 起病以来,患者食欲欠佳,大小便正常,睡眠、精神欠佳,体力下降、体重无明显变化。
体格检查:(-)
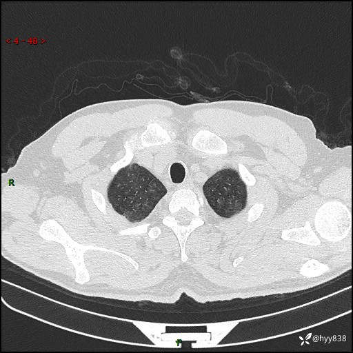
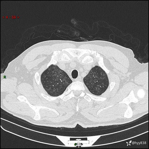
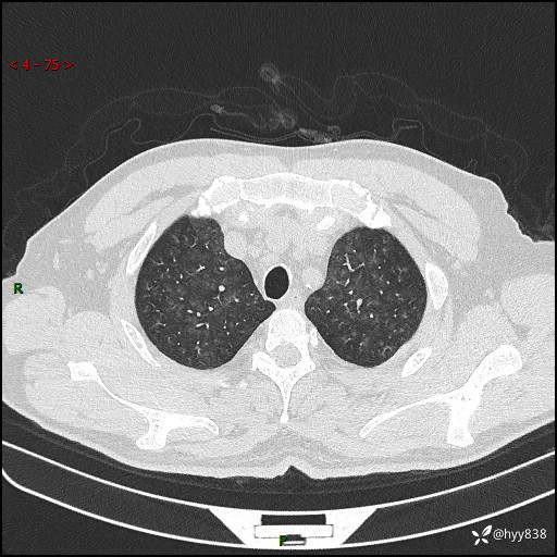
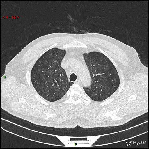
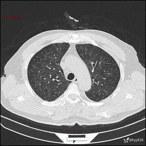
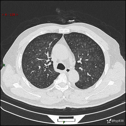
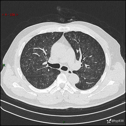
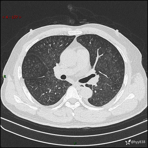
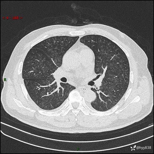
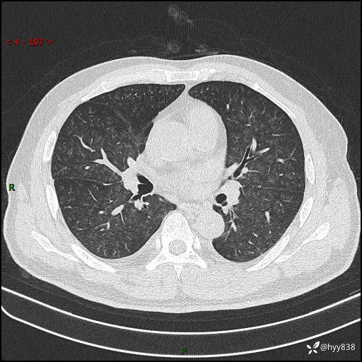
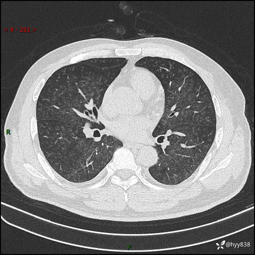
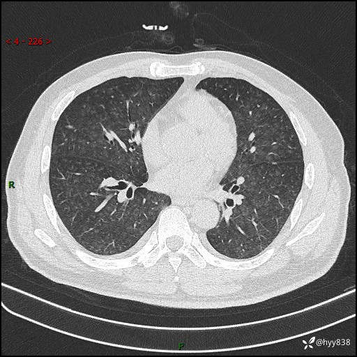
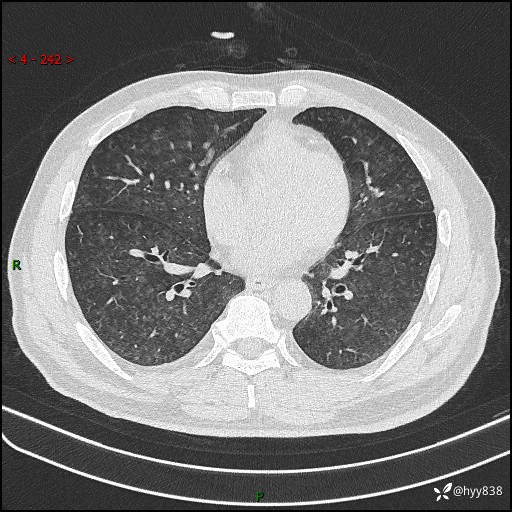
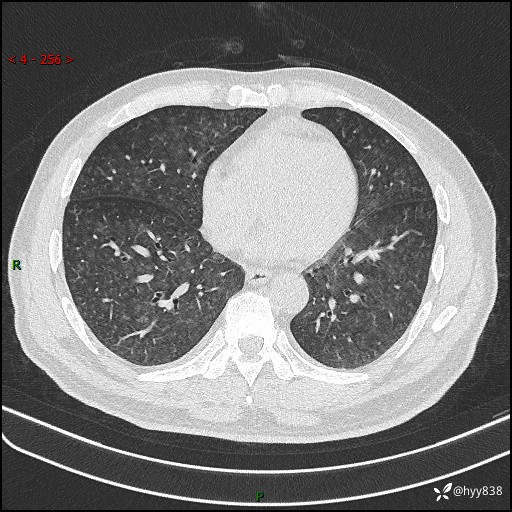
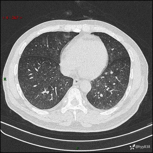
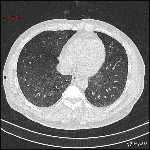
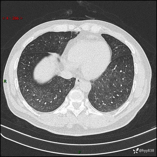
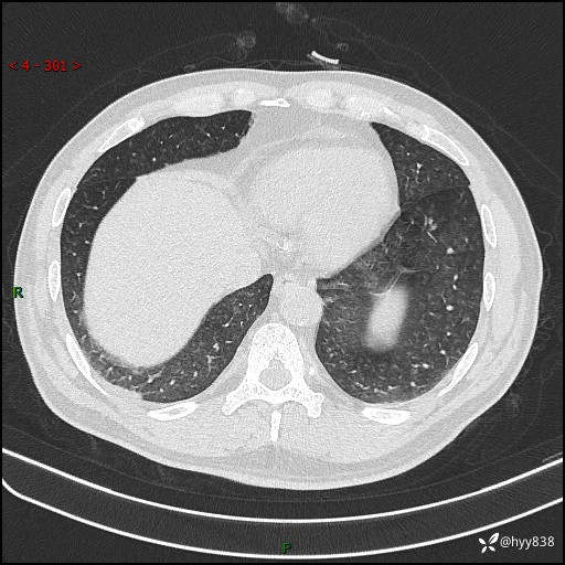
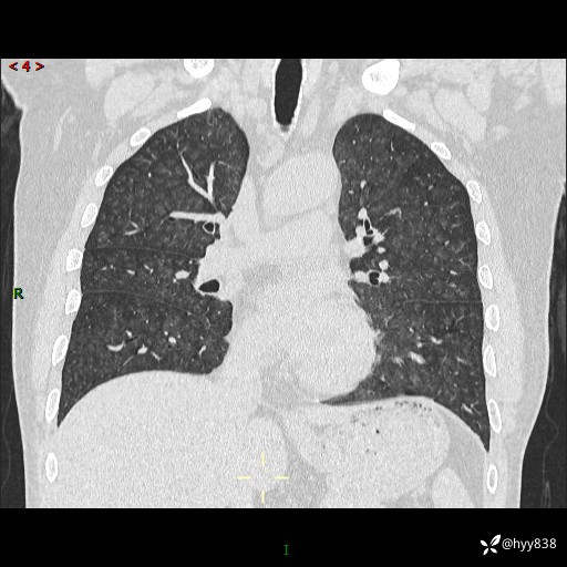
辅助检查:CT
临床诊断:肺部感染
治疗经过:---
讨论:病变性质?
胸部HRCT


































































