dxy logo
首页丁香园病例库全部版块
搜索
登录

病例文献病例学习+分享。弥漫性肺部病变,有些许难度,欢迎挑战---结果公布~

影像核医学版版主 · 发布于 2022-12-04 · IP 湖北湖北
3040 浏览
这个帖子发布于 2 年零 356 天前,其中的信息可能已发生改变或有所发展。

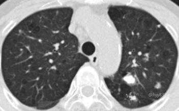
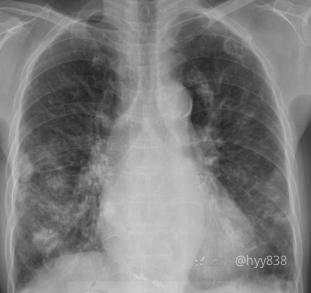
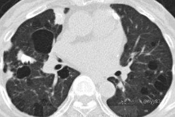
简要病史:59y/F,咳嗽伴胸部不适半年,既往史:肛门癌、SLE(系统性红斑狼疮)、狼疮性肾炎

胸部平片

img

胸部CT

img
img
img


img
咳嗽 (1145)
肛门癌 (2)
系统性红斑狼疮 (67)
狼疮性肾炎 (34)
纠错
64 9 5
同行评议(0)
已评议
不开通精选
开通精选
精选已授权,待上线
评议结果暂未公布
参与评议
去邀请
NaN
病例完整NaN
临床实用NaN
诊疗科学NaN
学术价值NaN

全部讨论(0)

默认最新
avatar
64
分享帖子
share-weibo分享到微博
share-weibo分享到微信
认证
返回顶部