股骨近端再次骨折一例
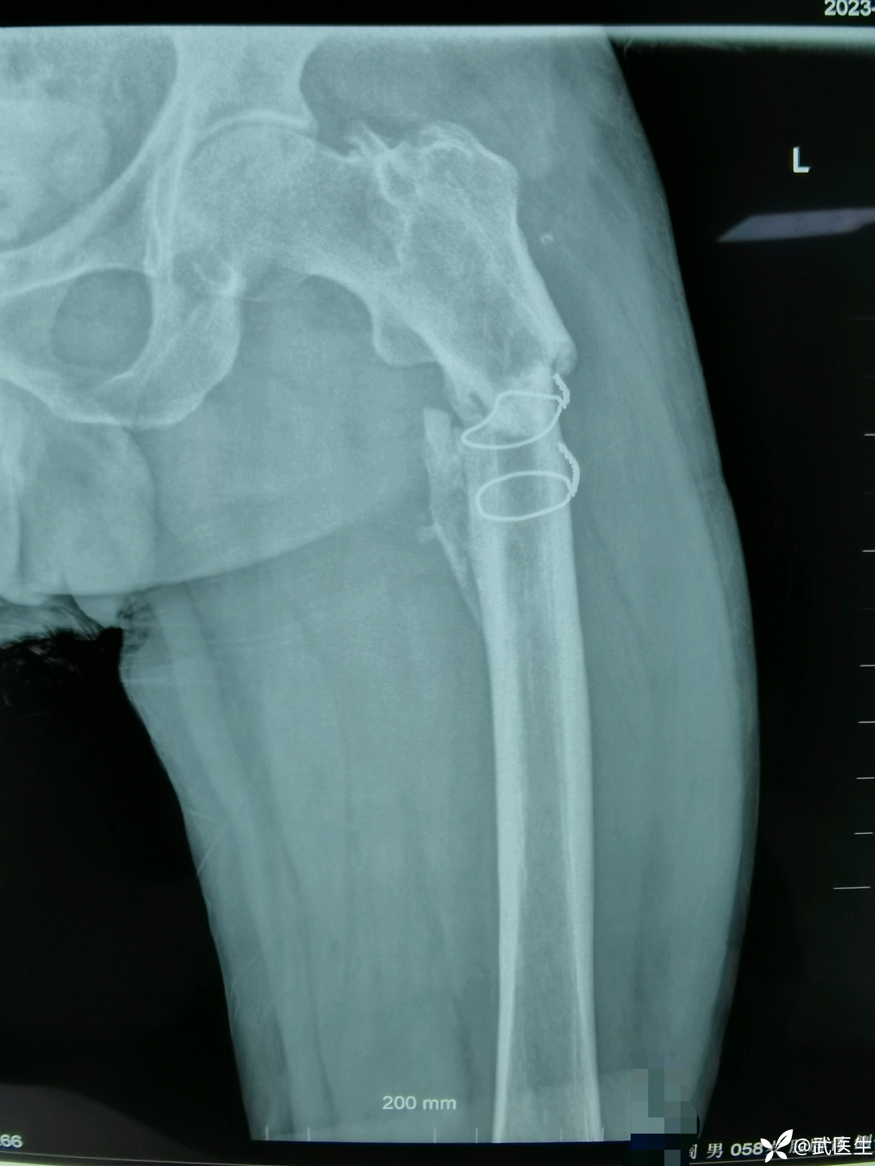
男,58岁,路滑摔倒致左髋疼痛活动受限一小时就诊,片子如下


CT如下,典型股骨近端骨折移位方向



临时骨牵引。
患者二十年前本院因股骨近端骨折手术治疗,于术后两年取出内固定,钢丝未取出。
制定治疗方案。
科内会诊讨论,计划1.闭合复位顺行髓内钉2.复位不良则辅助钢板自体髂骨取骨植骨3.钢丝原则上不取。4,不选择单纯钢板内固定。
与家属沟通,比较理解,安排。侧卧位

手术顺利,断端撬拨后复位能接受。






患者术后四天出院,指导功能锻炼,一月后复查我再发片子。
发帖留念,欢迎拍砖。
男,58岁,路滑摔倒致左髋疼痛活动受限一小时就诊,片子如下


CT如下,典型股骨近端骨折移位方向



临时骨牵引。
患者二十年前本院因股骨近端骨折手术治疗,于术后两年取出内固定,钢丝未取出。
制定治疗方案。
科内会诊讨论,计划1.闭合复位顺行髓内钉2.复位不良则辅助钢板自体髂骨取骨植骨3.钢丝原则上不取。4,不选择单纯钢板内固定。
与家属沟通,比较理解,安排。侧卧位

手术顺利,断端撬拨后复位能接受。






患者术后四天出院,指导功能锻炼,一月后复查我再发片子。
发帖留念,欢迎拍砖。
