dxy logo
首页丁香园病例库全部版块
搜索
登录

小伙子咳嗽、右肺多发结节,抗感染治疗无效怎么办?

呼吸胸外版达人 · 发布于 2023-04-25 · 来自 iOS · IP 江苏江苏
3406 浏览
丁香风云榜、达人点赞 2 项荣誉
这个帖子发布于 2 年零 211 天前,其中的信息可能已发生改变或有所发展。

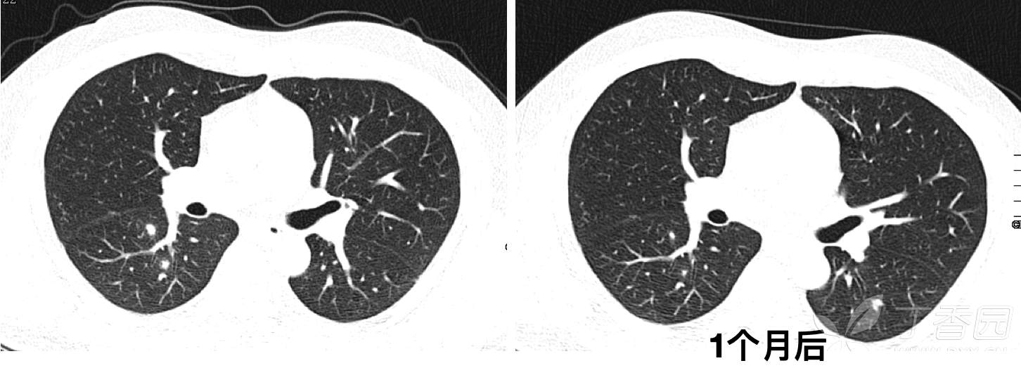
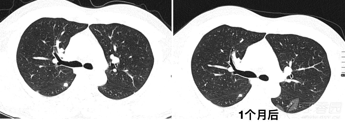
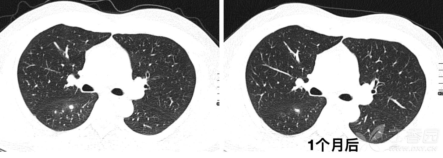
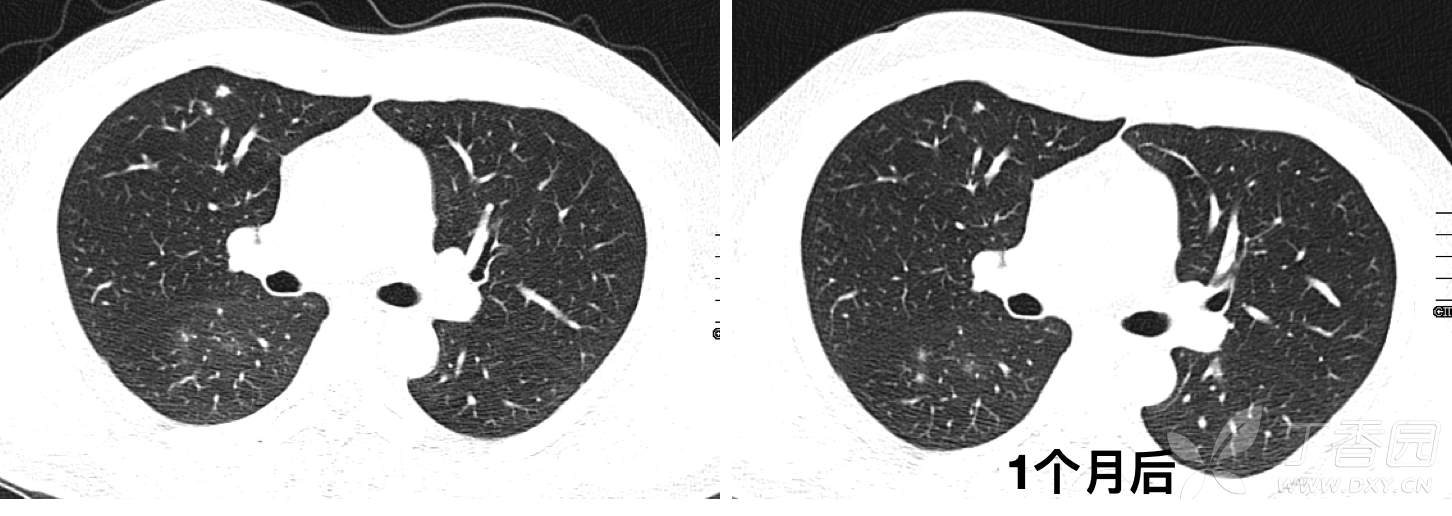
男性32岁,因咳嗽2周就诊

既往体健,个人史、职业史无特殊。

查体无异常。

CT发现右肺多发结节影,初步诊断为肺炎,予莫西沙星口服治疗2周,1个月后复查CT如下:

img


img


img


img


诊断?

有结果,3天后公布


最后诊断:隐球菌肺炎

肺炎 (1377)
肺结节 (1231)
肺隐球菌病 (44)
纠错
28 36 11
同行评议(0)
已评议
不开通精选
开通精选
精选已授权,待上线
评议结果暂未公布
参与评议
去邀请
NaN
病例完整NaN
临床实用NaN
诊疗科学NaN
学术价值NaN

全部讨论(0)

默认最新
avatar
28
分享帖子
share-weibo分享到微博
share-weibo分享到微信
认证
返回顶部