3月特别精彩病例|视物不清半年,记忆力下降3个月,行动迟缓1个月,加重1周-结果公布
呱呱叫了 达人已点赞患者性别:女
患者年龄:61岁
主诉:视物不清半年,记忆力下降3个月,行动迟缓1个月,加重1周。
现病史:患者半年前开始出现视物模糊,在外院行眼科专科检查除外视神经病变;3个月前开始出现记忆力下降,经常忘事情、落东西,伴情绪不稳定,易激动,情感低落,在当地医院诊断“抑郁症”,1个月前开始出现行动迟缓,逐渐加重,并逐渐出现左侧肢体肌阵挛、僵硬,1周前上述症状突然加重,现视物只能看到光影,言语不清,吞咽困难,走路需扶行。
既往史:既往体健,否认毒物、药物中毒史,否认家族史。
体格检查:神志清楚,言语不清,反应迟钝,四肢肌力查体不配合,四肢肌张力增高,以左侧为著,左侧为齿轮样肌张力增高,双侧Babinski征及Chaddock征阴性。
辅助检查:
外院行颅脑MRI、胃镜、肠镜、全腹CT未见异常。
血脂:总胆固醇 5.55mmol/L。
电解质:钾 3.04mmol/L。
余血常规、脑脊液常规检查等正常。
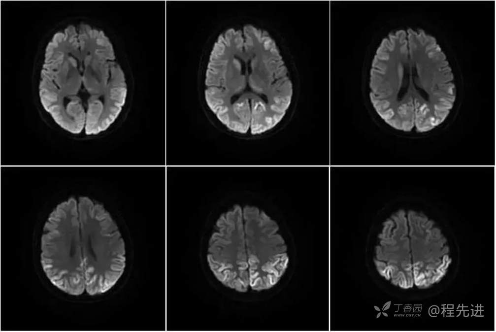
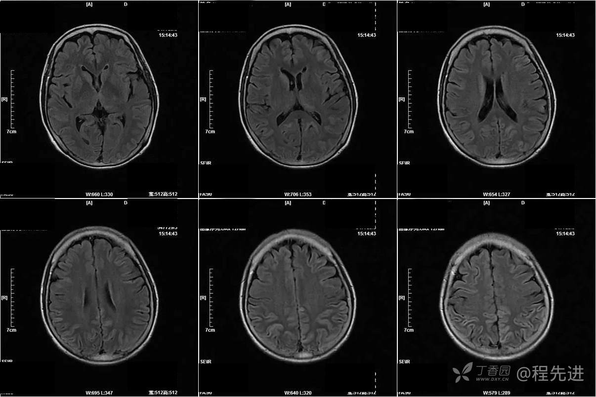
头颅MRI
DWI

T2FLAIR
















































