【神经】特别精彩病例|双手抖动伴记忆力下降2年余
李梦杰huxi 等 4 位达人已点赞病例信息
【患者信息】:女,78岁
【主诉】:双手抖动伴记忆力下降2年余
【现病史及既往史】:患者双手、下颌抖动2年余,伴有走路不稳、易跌倒,时间空间定向力差,计算能力下降,四肢肌张力增高,患病以来精神可,胃纳差,失眠,偶有噩梦,近半月有便秘,小便正常,无体重明显下降。
【检查】:
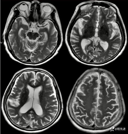
T2:

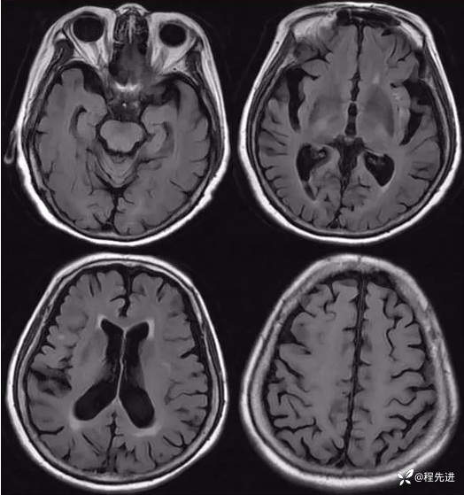
FLAIR:

T1 FSPGR:

QSM:

SWI:

李梦杰huxi 等 4 位达人已点赞病例信息
【患者信息】:女,78岁
【主诉】:双手抖动伴记忆力下降2年余
【现病史及既往史】:患者双手、下颌抖动2年余,伴有走路不稳、易跌倒,时间空间定向力差,计算能力下降,四肢肌张力增高,患病以来精神可,胃纳差,失眠,偶有噩梦,近半月有便秘,小便正常,无体重明显下降。
【检查】:
T2:

FLAIR:

T1 FSPGR:

QSM:

SWI:

