dxy logo
首页丁香园病例库全部版块
搜索
登录

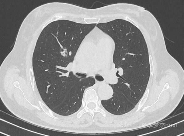
病例女性61岁,体检发现肺结节,猜病理

呼吸胸外版版主 · 发布于 2023-01-24 · IP 河北河北
3177 浏览
丁香风云榜、推荐 2 项荣誉
这个帖子发布于 2 年零 302 天前,其中的信息可能已发生改变或有所发展。

患者性别:女

患者年龄:61

主诉:体检发现肺结节

简要病史:

体格检查:

辅助检查:

临床诊断:

治疗经过:

讨论:猜病理

img
img
img
img
img

肺结节 (1229)
纠错
21 8 14
同行评议(0)
已评议
不开通精选
开通精选
精选已授权,待上线
评议结果暂未公布
参与评议
去邀请
NaN
病例完整NaN
临床实用NaN
诊疗科学NaN
学术价值NaN

全部讨论(0)

默认最新
avatar
21
分享帖子
share-weibo分享到微博
share-weibo分享到微信
认证
返回顶部