急性心肌梗塞病例分享
患者女,68岁,农民,主因持续性胸痛、胸闷1小时来院。
既往体健,否认高血压、糖尿病、冠心病病史,无烟酒嗜好。
现病史:患者来院1小时前,无明显诱因突发胸痛,位于心前区,向后背部级咽部放射,伴胸闷,伴汗出,伴恶心,无呕吐,自行口服“速效救心丸”后,上述症状无缓解,现为求进一步诊治急来我院。
查体:BP135/103mmHg P76次/分 R26次/分神清,急性病面容,头颅无畸形,双肺呼吸音粗,未闻及干湿性啰音,心前区无隆起,心律不齐,心脏各瓣膜听诊区未闻及病理性杂音。腹软,无压痛,双下肢无水肿。
辅助检查:入院心电图:

15分钟后复查心电图:

诊断:冠状动脉粥样硬化性心脏病 急性心肌梗塞
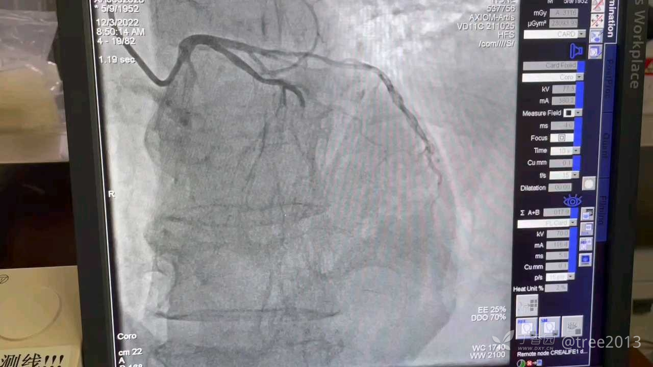
处理:立即给予嚼服阿司匹林及氯吡格雷各300mg,急查心梗三项、D二聚体、血常规、电解质、凝血功能、肝素功能等,向家属交待病情后,立即入导管室,造影示:前降支中段闭塞,给予行球囊扩张术,术后患者症状消失,病情稳定。
造影结果如下:


















































