35岁女子心肌厚度正常,为何仍被医生诊断为肥厚型梗阻性心肌病?
感谢 @ 浙江省人民医院-心脏大血管外科 韩二磊分享的病例:
病例介绍
患者女性,35岁,因反复活动后胸闷胸痛伴头晕黑朦2年,加重1月入院。
简要病史:
患者2年前爬楼梯时自觉胸闷胸痛,同时伴头晕黑朦,休息后缓解,活动及劳累后易发作,至空军军医大学附属西京医院就诊,诊断为“肥厚型梗阻性心肌病”,予行经皮室间隔心肌消融术(Liwen术式),术后症状缓解。
1月前,患者上述症状再发,性质同前,再次至空军军医大学附属西京医院就诊,查心脏超声提示:肥厚型心肌病室间隔射频消融术后,左室流出道血流速度加快(最大压差44mmHg),左房大,左室舒张功能减低,收缩功能正常;予倍他乐克47.5mg qd口服,曲美他嗪35mg bid 口服治疗,1月来上述症状持续存在,无明显好转。后患者为进一步治疗来我院就诊。
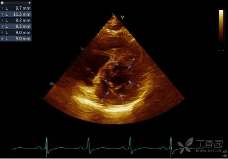
辅助检查:
2022-08-02查心脏超声提示:室间隔基底部局限稍增厚,较厚处约13mm,SAM(+),左室流出道内流速增快,约3.99m/s,流出道最大压差约64mmHg,平均压差约31mmHg。二尖瓣中度反流。



门诊拟“肥厚型梗阻性心肌病”收住入院。
讨论:
1.肥厚型梗阻性心肌病何时需要外科手术治疗,该病可以行外科微创手术吗?
2.肥厚型梗阻性心肌病单纯切除或消融解除肥厚心肌可以彻底解除流出道压差吗?该病例Liwen术后为何仍存在流出道梗阻?
3.肥厚型梗阻性心肌病中的“RPR“技术是什么?
(3 天后公布答案,言之有理有丁当哦)
病例提供者:浙江省人民医院-心脏大血管外科-韩二磊
















































