慧眼识心肌,看你能不能鉴别?
fy1940 达人已点赞【患者信息】60岁男性;
【现病史及既往史】2年前体检发现肥厚型心肌病;13月前活动劳累后出现胸闷,伴气短、心悸,诊断为“慢性阻塞性肺疾病”,后行冠脉造影提示LAD重度狭窄,就诊于当地医院于LAD置入支架1枚,术后规律服药治疗,症状控制尚可。1月前患者劳累后再次出现上述症状,发作较前频繁,活动耐力进行性下降,爬1层楼即出现胸闷气短。
ECG及Holter:I度房室传导阻滞,频发室早,肢体导联低电压;
最近一次超声:LA 47mm,IVS 27mm,非梗阻性肥厚型心肌病,双房轻大,左室舒张功能减低,肺动脉高压,少中量心包积液。
【入院诊断】
肥厚型心肌病 心功能III级(NYHA分级)
冠状动脉粥样硬化性心脏病 劳力型心绞痛 冠状动脉支架植入术后
心律失常 室性期前收缩
心包积液
高血压2级(极高危)
2型糖尿病
高脂血症
慢性阻塞性肺疾病
肺动脉高压
【超声检查结果及诊断思路】

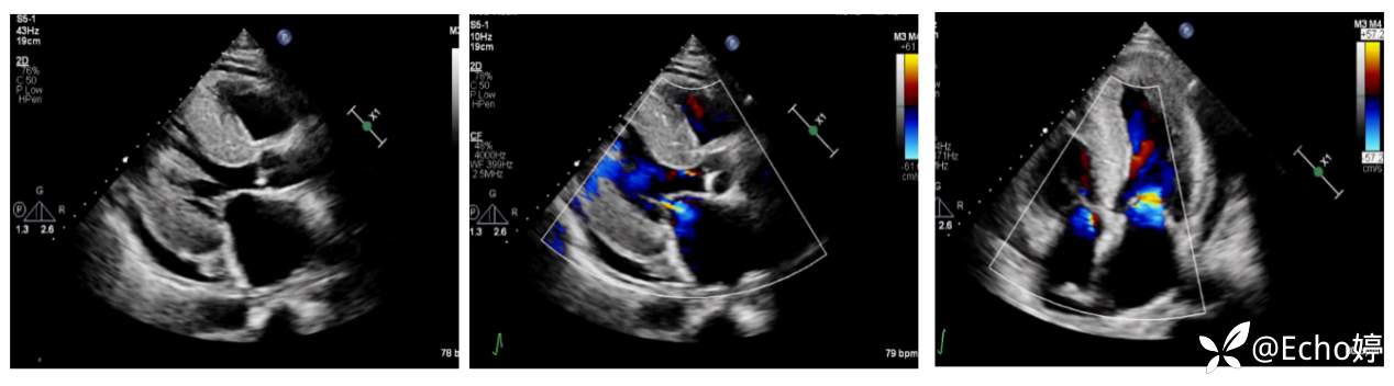
胸骨旁长轴、四腔心切面显示:左房增大前后径52mm,左室前后径偏小舒张末径35mm;
室间隔及左室壁弥漫性增厚,室间隔厚度26mm,左室后壁厚度25mm;
二尖瓣、主动脉瓣增厚;二尖瓣少中量返流,三尖瓣、主动脉瓣少量返流;少量心包积液。
鉴别点:肥厚型心肌病一般无瓣膜增厚表现;

47 人解锁,收益归属作者以激励创作















































