影像蛮典型,可惜是疑诊
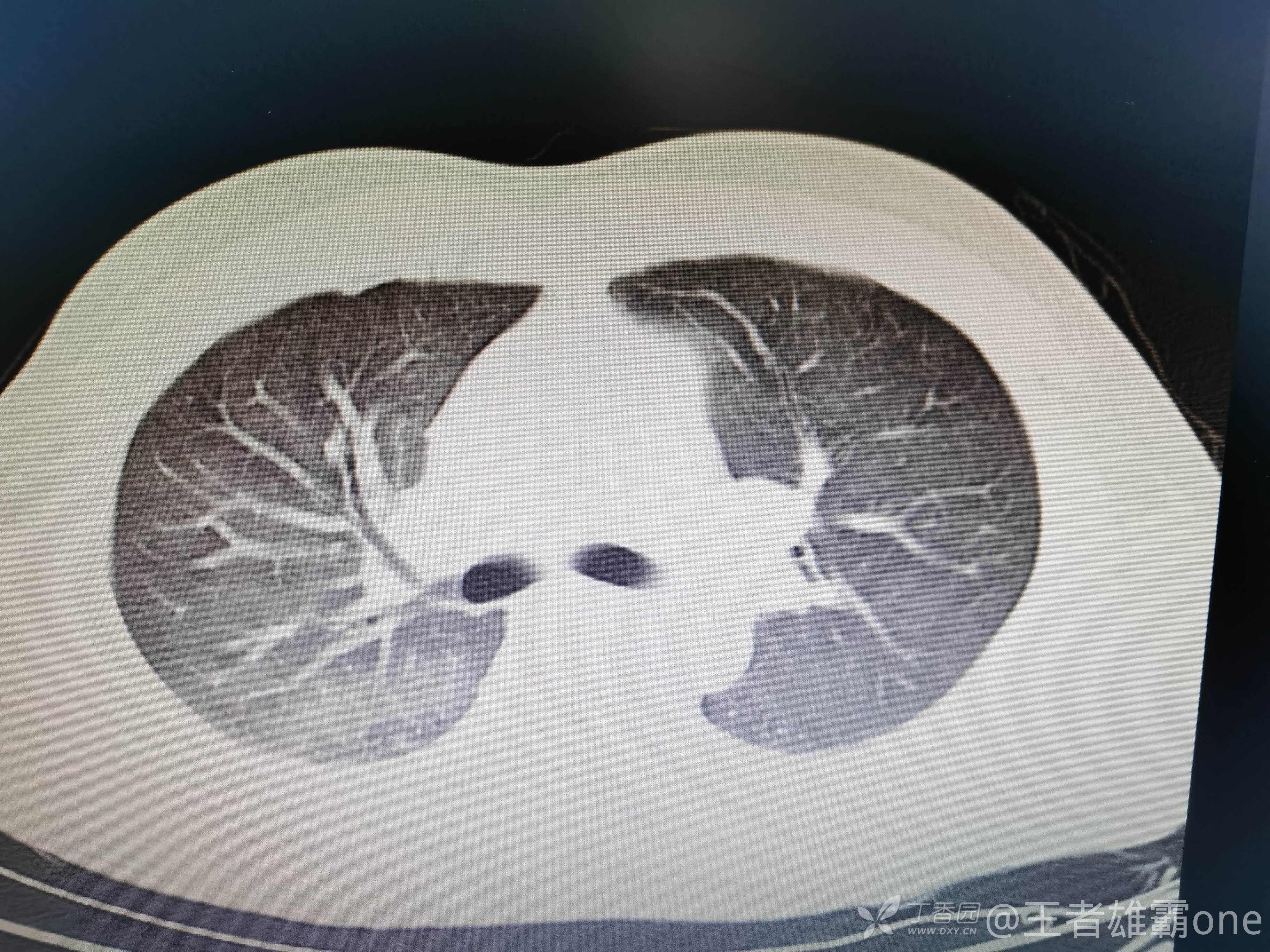
西门开心 推荐男,33岁,否认既往有心脏基础疾病,6-1受伤后急诊行右胫腓骨骨折固定术(术前胸部CT无明显异常,见后面视频前半部分),术后逐渐出现刺激性咳嗽、胸闷,无精神症状,无皮疹,无胸痛,无咯血等。6-6完善胸部CT、脑钠肽前体、心超等辅查,其中脑钠肽前体、心超无明显异常。复查的胸部CT见视频后半部分:


附几张CT图片:






大家怎么看?
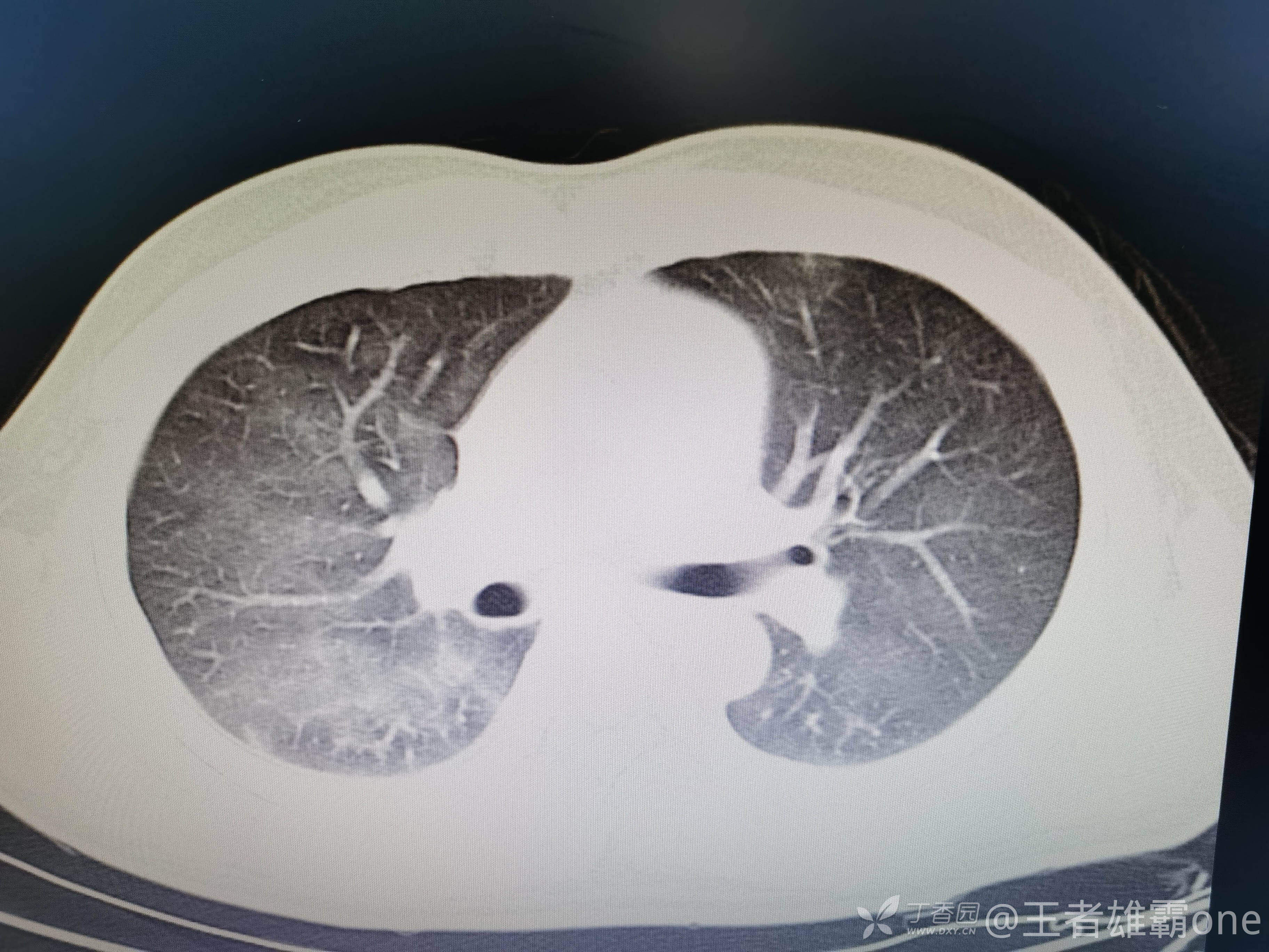
西门开心 推荐男,33岁,否认既往有心脏基础疾病,6-1受伤后急诊行右胫腓骨骨折固定术(术前胸部CT无明显异常,见后面视频前半部分),术后逐渐出现刺激性咳嗽、胸闷,无精神症状,无皮疹,无胸痛,无咯血等。6-6完善胸部CT、脑钠肽前体、心超等辅查,其中脑钠肽前体、心超无明显异常。复查的胸部CT见视频后半部分:


附几张CT图片:






大家怎么看?
