军团菌肺炎的典型CT表现及治疗
飞跃迷雾1 达人已点赞简要病史:
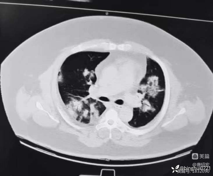
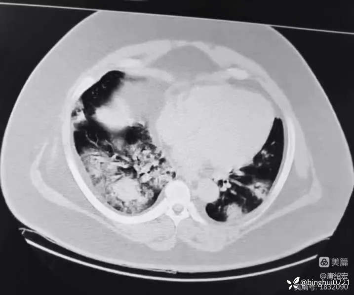
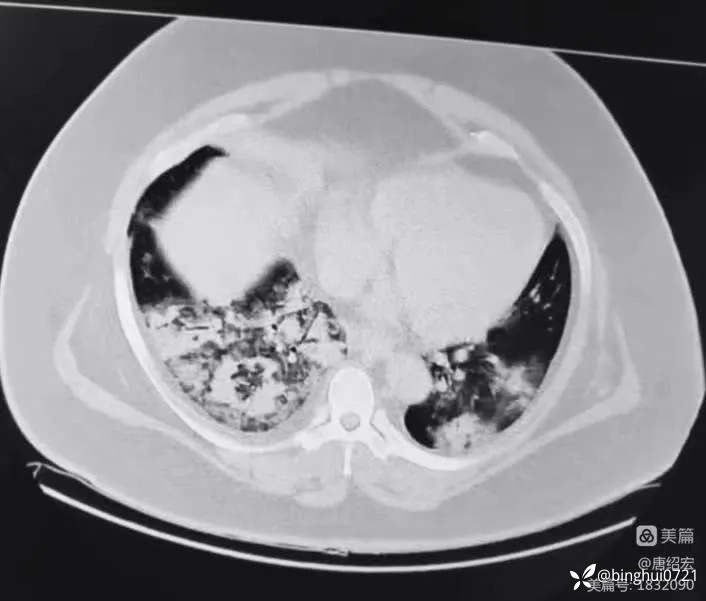
男,36 岁,主诉间断发热 1 周,咳嗽伴气短 3 天。入院CT如下:









军团菌肺炎
行肺泡灌洗液 NGS:嗜肺军团菌 3262 条,咽峡炎链球菌 20 条(考虑定植),金葡菌 10 条(考虑鼻咽部向下污染)。
军团菌肺炎的治疗。
军团菌肺炎的治疗主要包括以下方面:
1. 抗生素治疗:军团菌肺炎的主要治疗药物是大环内酯类抗生素,如阿奇霉素、红霉素等。对于病情较重的患者,可以联合使用喹诺酮类抗生素,如左氧氟沙星、莫西沙星等。四环素类、利福平等也有效。氨基糖苷类及青霉素、头孢菌素类抗生素对本病无效。
2. 止咳化痰:可以服用清肺化痰止咳颗粒、蛇胆川贝液等止咳化痰的药物。同时,雾化吸入布地奈德、硫酸特布他林等药物,以缓解症状。
3. 免疫调节:对于免疫力低下的患者,可以使用免疫调节剂,提高机体抵抗力。
4. 支持治疗:根据病情,给予患者充足的营养支持,维持水电解质平衡,保持呼吸道通畅,维持患者的生命体征稳定。
5. 预防工作:注意个人卫生,减少病原菌的传播。对于已经患有军团菌肺炎的患者,要注意隔离,防止传染给其他人。
治疗过程中,患者应遵医嘱,按时服药,定期复查。一般治疗周期为 2-3 周,对于免疫力低下的患者,治疗周期可能需要延长。
















































