dxy logo
首页丁香园病例库全部版块
搜索
登录

病例胫腓骨骨折髓内钉固定术后成角影响大吗?

骨科版版主 · 发布于 2022-04-16 · 来自 Android · IP 河南河南
959 浏览
推荐、达人点赞 2 项荣誉
这个帖子发布于 3 年零 220 天前,其中的信息可能已发生改变或有所发展。

回顾病情

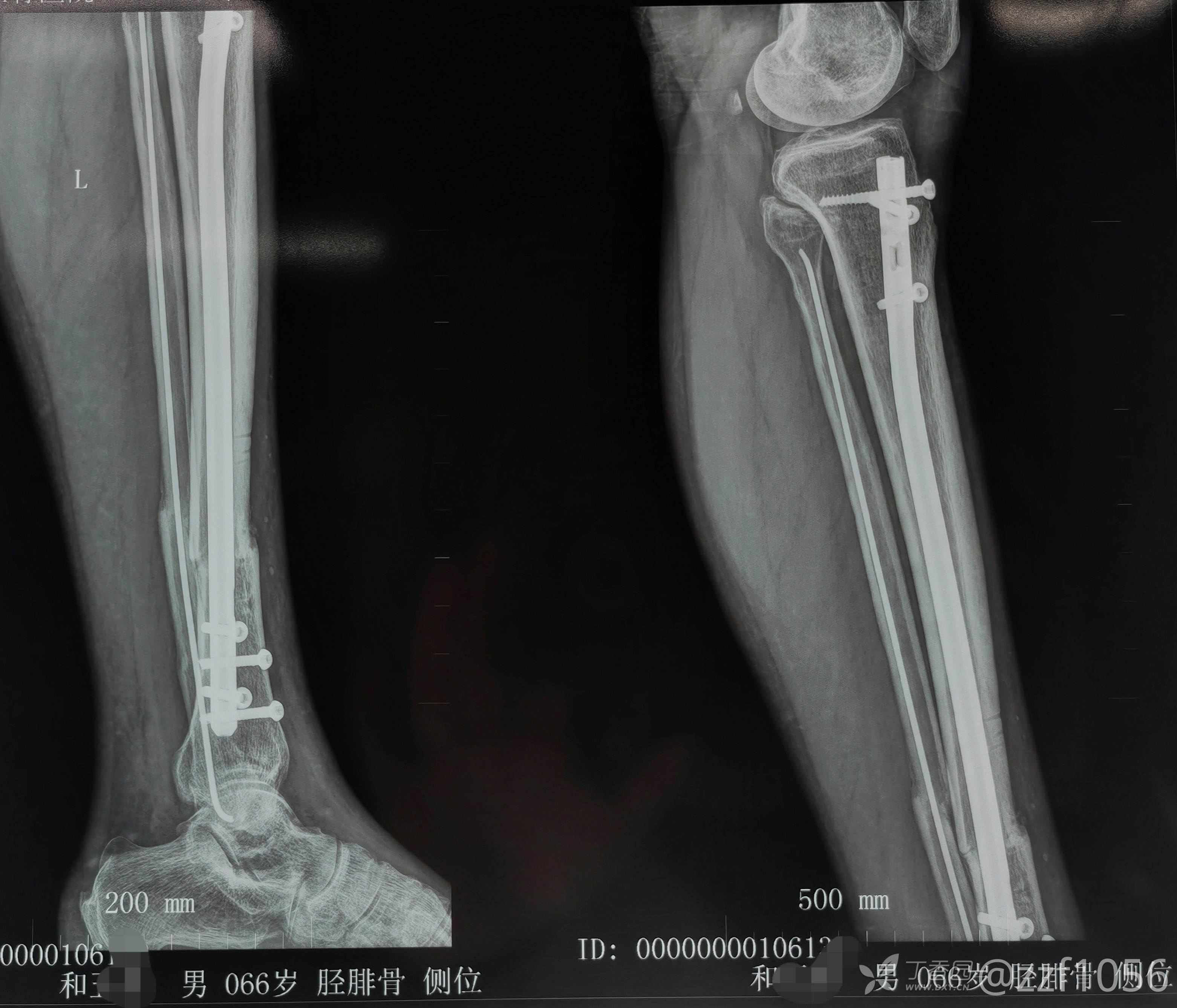
胫腓骨粉碎性骨折髓内钉及弹性髓内钉一例

术后八个月来院复查

img
img
img
img


img


img


img


previewplay video

这个胫骨向内成角对后期关节影响大吗?

该帖还没有疾病标签去添加
27 4 7
同行评议(0)
已评议
不开通精选
开通精选
精选已授权,待上线
评议结果暂未公布
参与评议
去邀请
NaN
病例完整NaN
临床实用NaN
诊疗科学NaN
学术价值NaN

全部讨论(0)

默认最新
avatar
27
分享帖子
share-weibo分享到微博
share-weibo分享到微信
认证
返回顶部