一眼洞穿之-------经典!逆行感染并颅内脓肿(俱乐部3)
教科书般的疾病。今天需要加密了。
慢性鼻窦炎。本次出现眶周蜂窝织炎。手术治疗鼻窦脓肿,眶周切开引流。术后6天,突然抽搐,颅脑CT检查后明确诊断。锥颅穿刺引流,脓性,恶臭。目前培养结果未返回。
问题,1,可能的微生物是什么。2,感染途径如何。3,入院检查时是否存在颅内感染。
视频。提示观看鼻窦,颅内。最后20秒是抽搐之后的ct,前面都是入院ct。总共只有这两次检查。丁香园多个视频问题还没有解决。


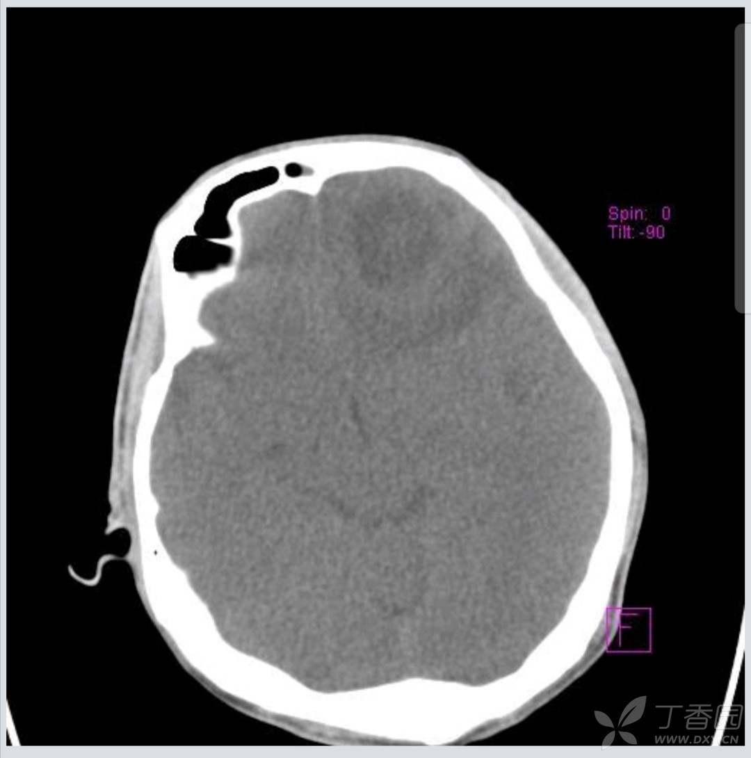
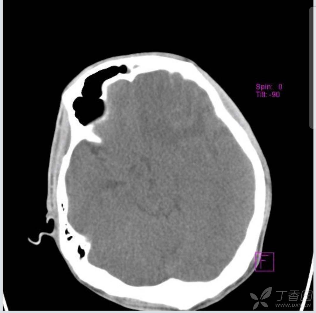
截取关键层面。两次大概在同一水平上。
入院截取


抽搐后CT截取如下

引流液

















































