值班期间病人突然加重,急查CT提示出血,保守or手术?原因?
青鹊词 推荐病例信息
2周前无明显诱因出现头晕,伴头痛,无视物旋转及恶心呕吐,头痛为间断性发作,主要位于前额及头顶,性质为胀痛,四肢活动如常无麻木,神志清楚,言语清晰,无饮水呛咳及吞咽困难,无发热,无胸闷、气短,遂就诊当地医院完善颅脑MRI+MRA+DWI+MRV提示双侧额叶、半卵圆中心、侧脑室旁腔隙性脑梗塞、白质脱髓鞘改变;右侧后交通动脉开放:双侧颈内动脉虹吸段、左侧大脑前动脉A2起始段、左侧大脑中动脉MI段、左侧大脑后动脉P2段局狭窄;右侧大脑后动脉P2段局部中断,闭塞不除外;左侧静脉窦优势引流可能。完善DSA(未见报告自阅片)双侧颈内动脉重度狭窄(床突上段);右侧颈内动脉床突上段动脉瘤。ASL提示脑干、双侧小脑及大脑半球灌注减低,双侧顶叶为著。当地医院予以抗血小板聚集、调脂稳斑、改善循环等对症治疗后症状明显好转,针对颅内动脉瘤,建议上级医院进一步治疗,遂就诊我院神经内科门诊收住。
神经系统查体无明显阳性体征。
入院后检验:血常规、生化、甲功、糖化、血脂、同型半胱氨酸、尿便常规均未见异常。血小板聚集功能测定提示起效。
10-30 DSA备治疗结果:1.右侧颈内动脉床突上段重度狭窄,球囊扩张成形术;2.左侧颈内动脉床突上段重度狭窄;3.右侧颈内动脉床突上段动脉瘤。患者行颈动脉狭窄球囊扩张后,动脉瘤形态明显改变,动脉瘤破裂风险降低,权衡手术的风险以及保守治疗的风险,充分和家属沟通后,决定动脉瘤随访。术后转入神内ICU加强治疗。
ICU查体:下颌及舌体肿胀,张口困难。神志清,精神可,张口困难,言语稍含糊,问答切题,智能粗测正常。颅神经查体(-)。右侧肌力5﹣级,左侧肌力4级,肌张力正常,腱反射对称存在。四肢共济运动欠稳准。
ICU治疗:双抗,调脂,改善循环,补液,雾化,平稳降压,抗过敏对症治疗。
术后6小时复查颅脑CT


术后24小时复查CT


11.1转入普通病房,患者过敏症状缓解。查体:神志清,精神可,言语稍含糊,问答切题,智能粗测正常。颅神经查体(-)。右侧肌力5﹣级,左侧肌力4级,肌张力正常,腱反射对称存在。四肢共济运动欠稳准。继续双抗,调脂,改善循环,控制血压对症治疗。
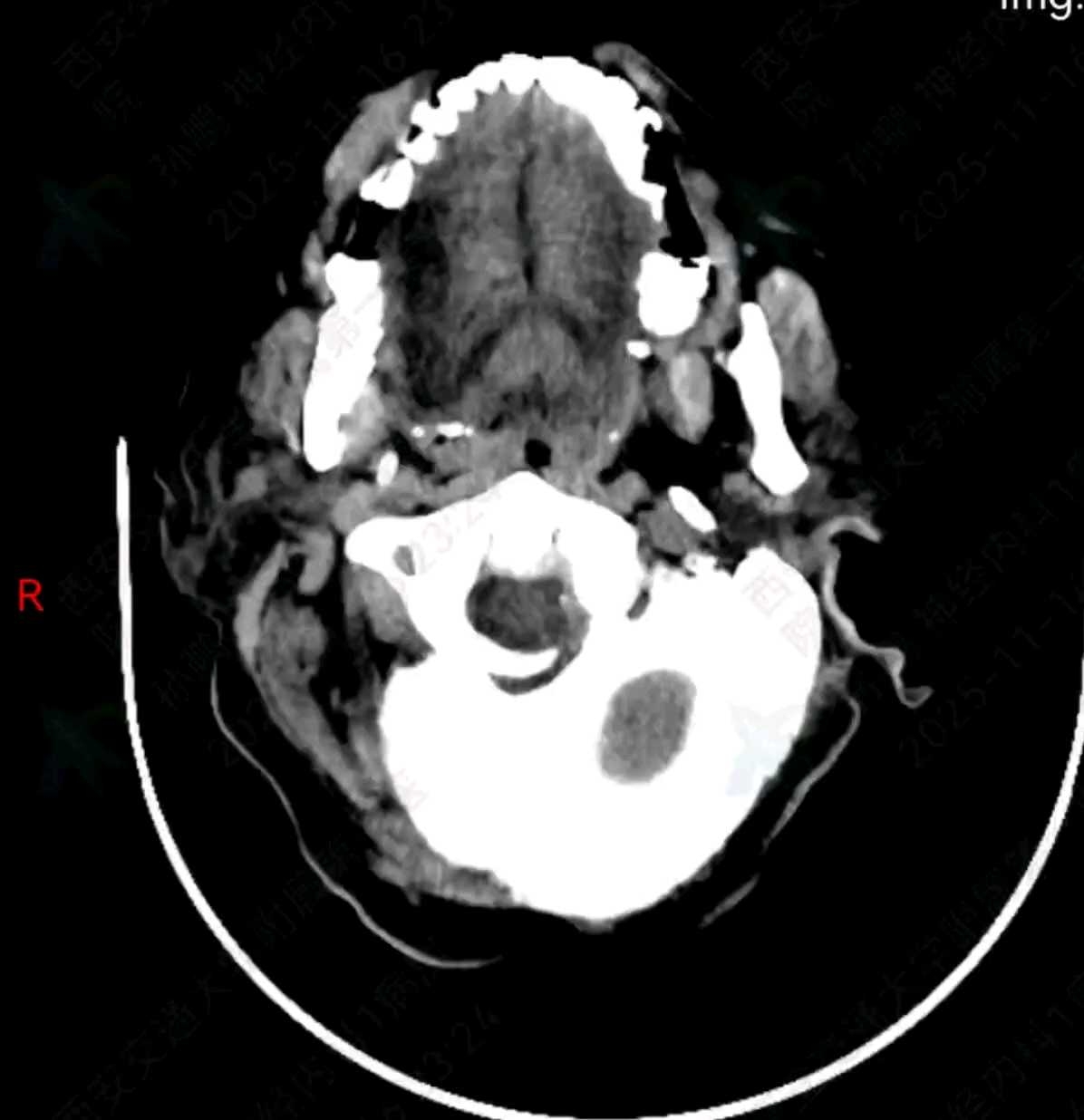
当日晚11:50上完卫生间后回到床上患者出现嗜睡,构音障碍明显加重,双眼向右凝视,左侧中枢性面瘫,左侧肢体不能活动,左侧病理征阳性。生命体征:血压:165/74mmHg,脉搏69次/分,呼吸19次/分。
急查CT


MRA患者配合不佳

立即联系神经外科急会诊,暂予以脱水降颅压,乌拉地尔降压处理。
经过沟通后同意立即行颅内血肿清除术,术后转ICU加强治疗。术后查体:镇静镇痛状态,双侧针尖样瞳孔,直径约2mm,向右凝视回来了,左侧疼痛刺激无反应,右侧疼痛刺激有收缩。当日家属自动出院。
病例讨论
患者出血原因是什么?哪个过程是需要补充反思的?
















































