77岁/男,腹痛2月,CT发现左肺占位1天。巨大肿块,肺内或肺外来源…结果公布~
胡志勇HZY 达人已点赞病例信息
性别:77岁/男
主诉:腹痛2月,CT发现左肺占位1天
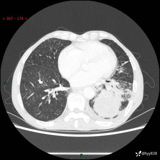
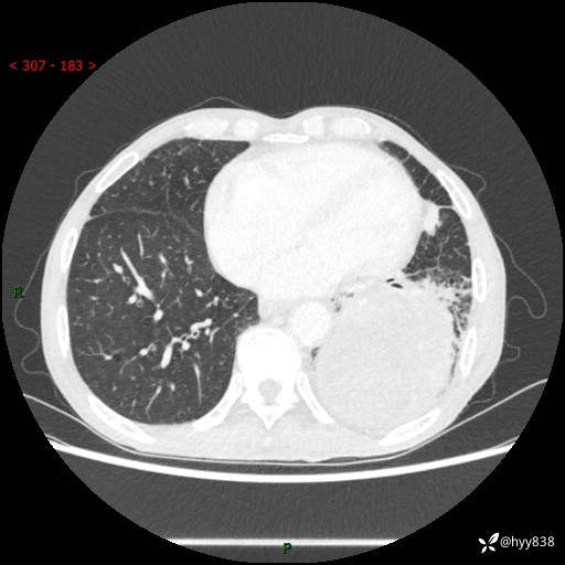
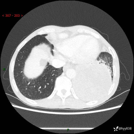
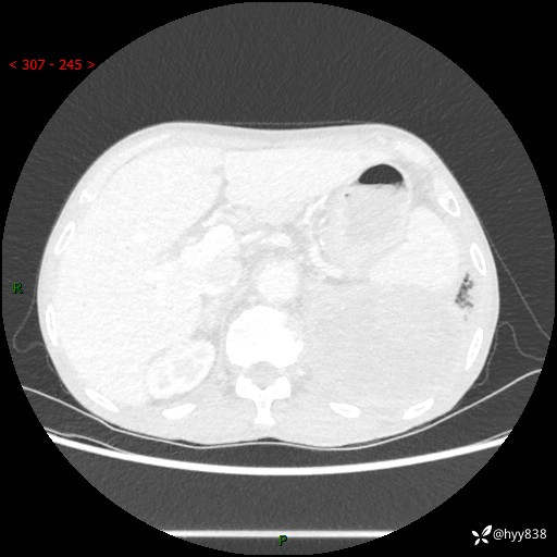
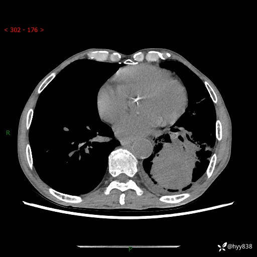
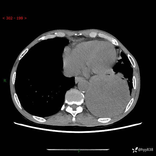
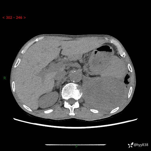
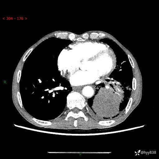
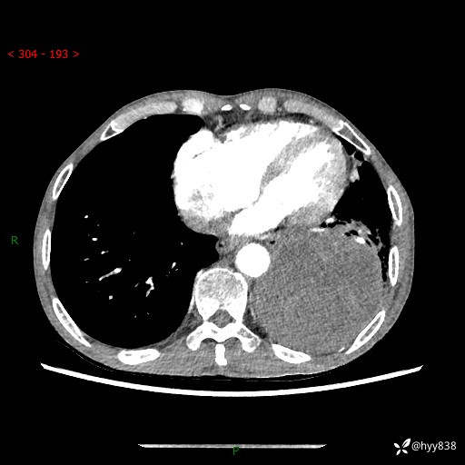
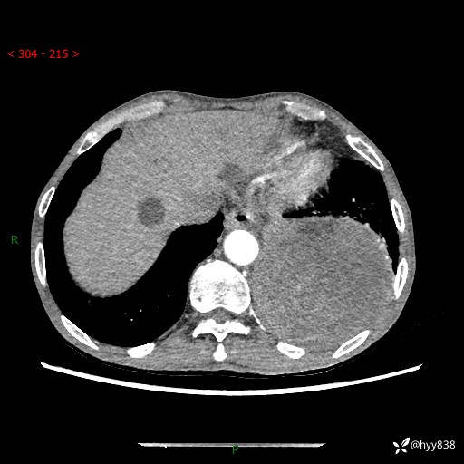
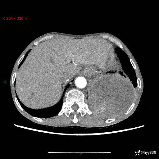
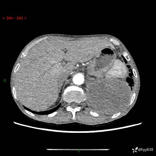
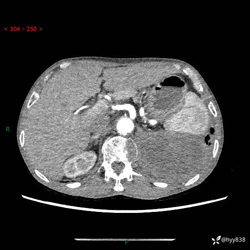
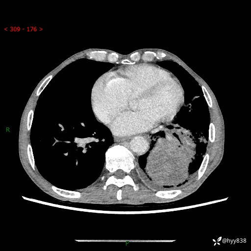
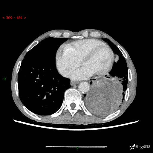
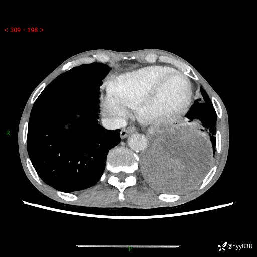
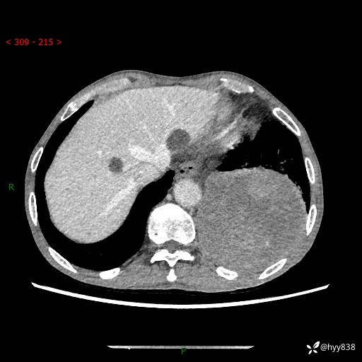
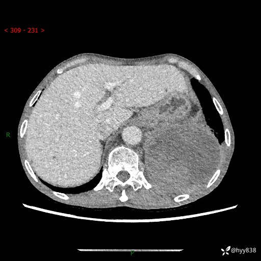
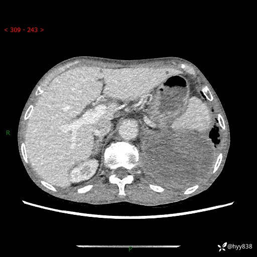
现病史:患者于2025年9月间断左下腹胀痛,在当地镇卫生院行彩超检查考虑泌尿系结石,行止痛排石对症治疗未见明显好转;1天前腹痛症状加重,至当地市第三人民医院行CT检查:左肺下叶巨大团块状软组织影,考虑肿瘤性病变,建议增强CT检查;左侧胸腔积液;纵膈内淋巴结肿大;双肺肺气肿;右肺中叶纤维灶。为进一步求治,来我院就诊。
胸部CT平扫+增强






































































