63岁/男,发热5余天。精彩好病例,“大叶性肺炎”,等你来诊---结果公布~
华夏览雄 等 2 位达人已点赞病例信息
【患者信息】:63岁/男
【主诉】:发热5余天
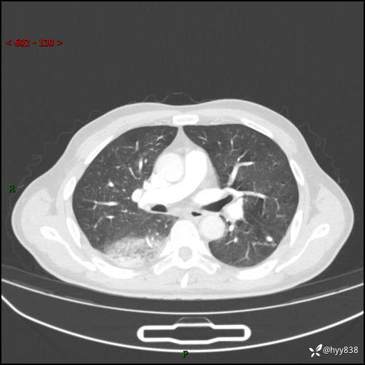
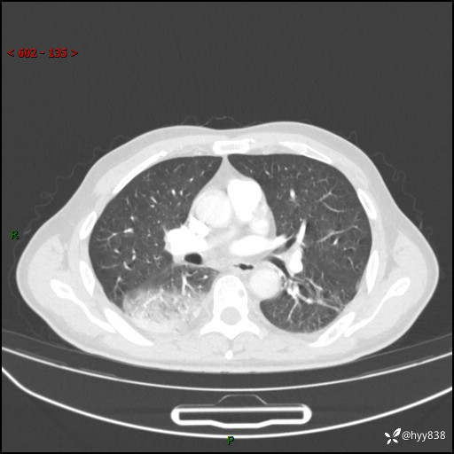
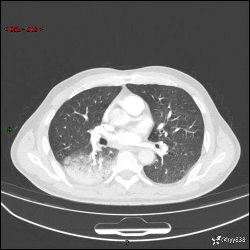
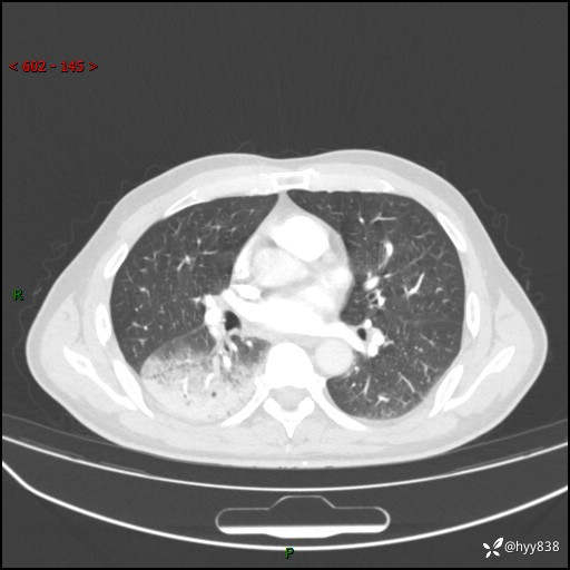
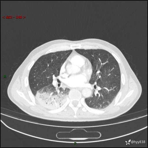
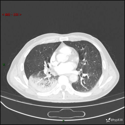
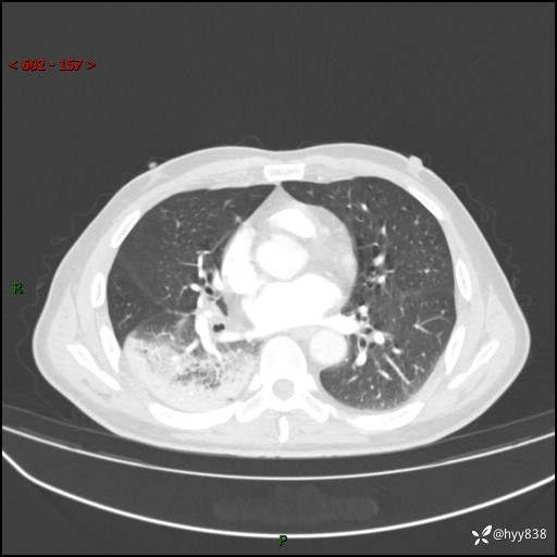
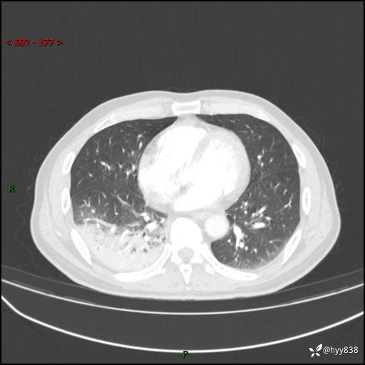
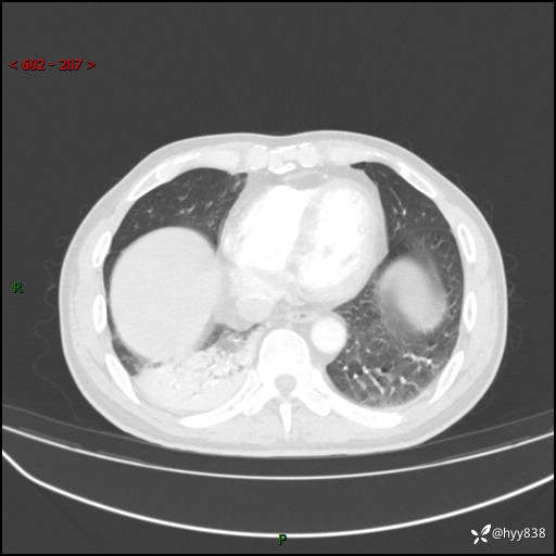
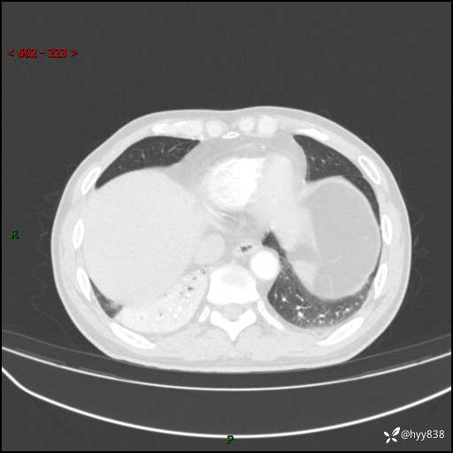
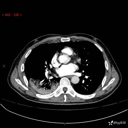
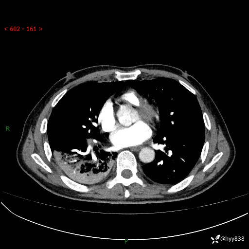
【现病史及既往史】:患者5余天无明显诱因出现畏寒寒战发热,最高体温39.5℃,发热无明显昼夜规律,伴全身乏力、头晕,无头痛、无咳嗽咳痰、无胸痛咯血、无气短、无腹痛腹泻、无尿频尿急尿痛等不适,于当地市第五人民医院就诊,予以抗感染等治疗(具体不详)后发热无明显好转,1天前查胸部CT提示右下肺感染,为求进一步诊治,门诊以“社区获得性肺炎”收治入院; 起病以来,患者精神、食欲一般,睡眠可,大小便正常,体力体重较前无明显变化。
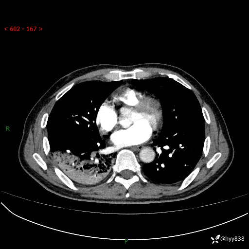
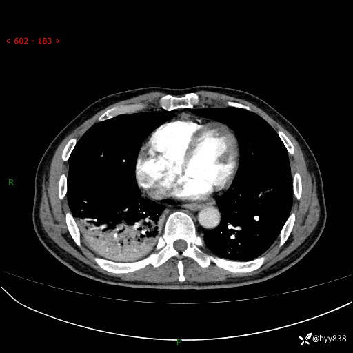
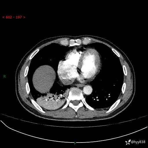
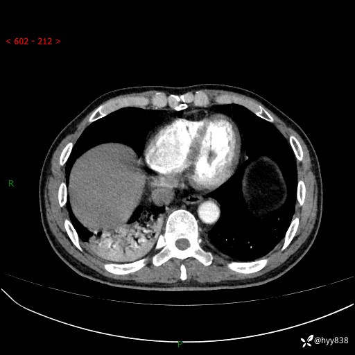
【检查】:胸部CT增强























【临床诊断】:
【治疗经过及结果】:















































