【胸部】肺内占位性病变,明显增大,考虑诊断?(有答案)
胡志勇HZY 达人已点赞病例信息
【患者信息】:女,61岁
【主诉】:反复咳嗽咳痰喘2月余,加重1天
【现病史及既往史】:患者2月前无明显诱因下出现咳嗽咳痰、为白粘痰,无痰中带血,无胸痛、胸闷及呼吸困难,无腹痛、腹胀及呕吐、腹泻,无畏寒、发热及黄疸。自服感冒药治疗,症状无明显缓解。后就诊于当地医院,胸部CT示:右肺门占位伴肺不张,予以对症治疗后,症状无明显好转,现为进一步治疗就诊于我院,拟“肺占位性疾病”收住我科进一步诊治。起病以来,患者神清,精神差,睡眠可,大小便正常,体重无明显减轻。
【检查】:实验室检查:

血常规

肝功能



本次影像资料:

纵隔窗平扫

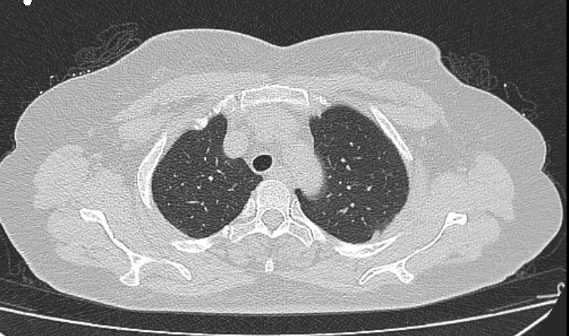
肺窗薄层1.5mm

A

V
10月前胸部CT平扫:


【您的诊断是?】:















































