胸部病例讨论
患者性别:男
患者年龄:40岁
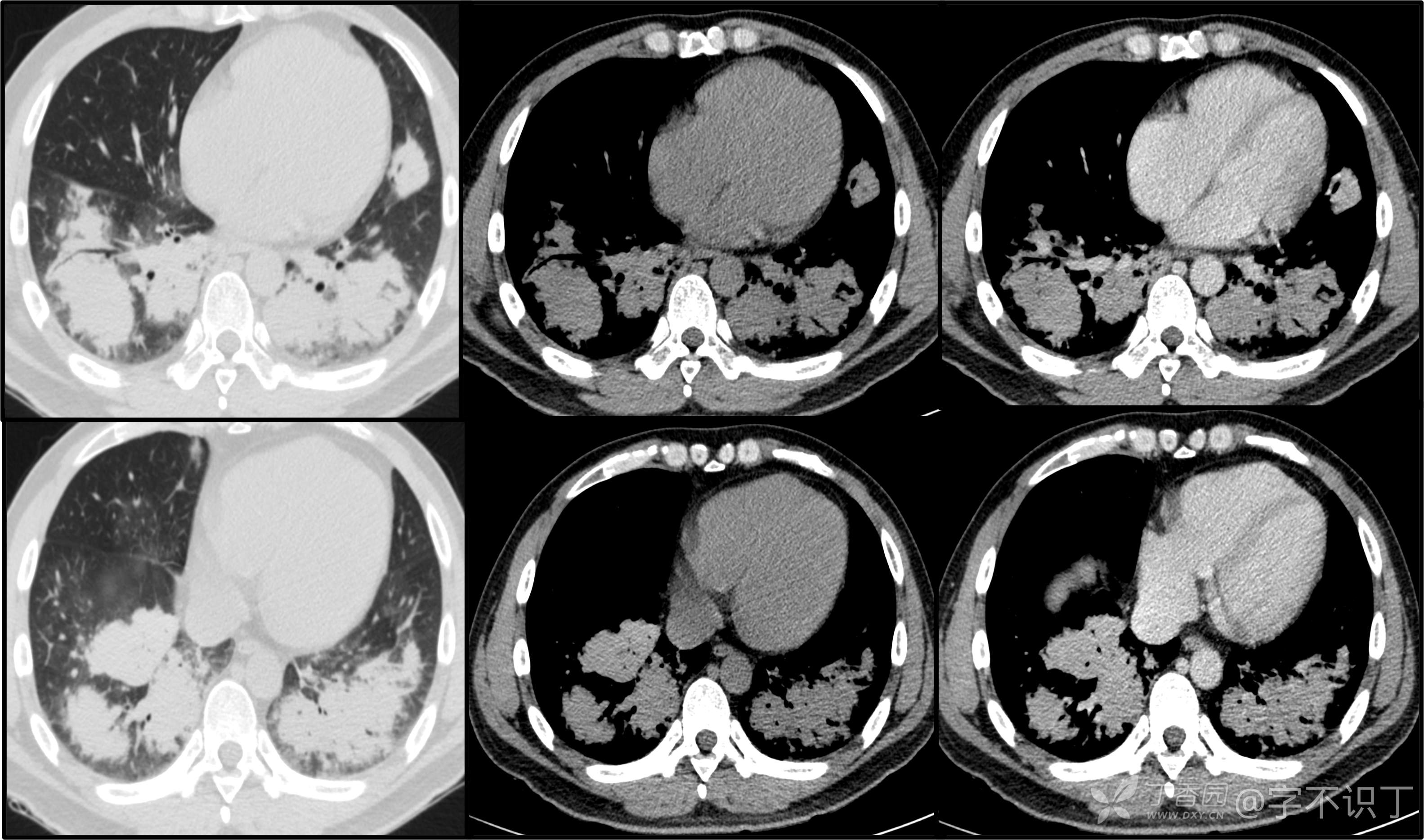
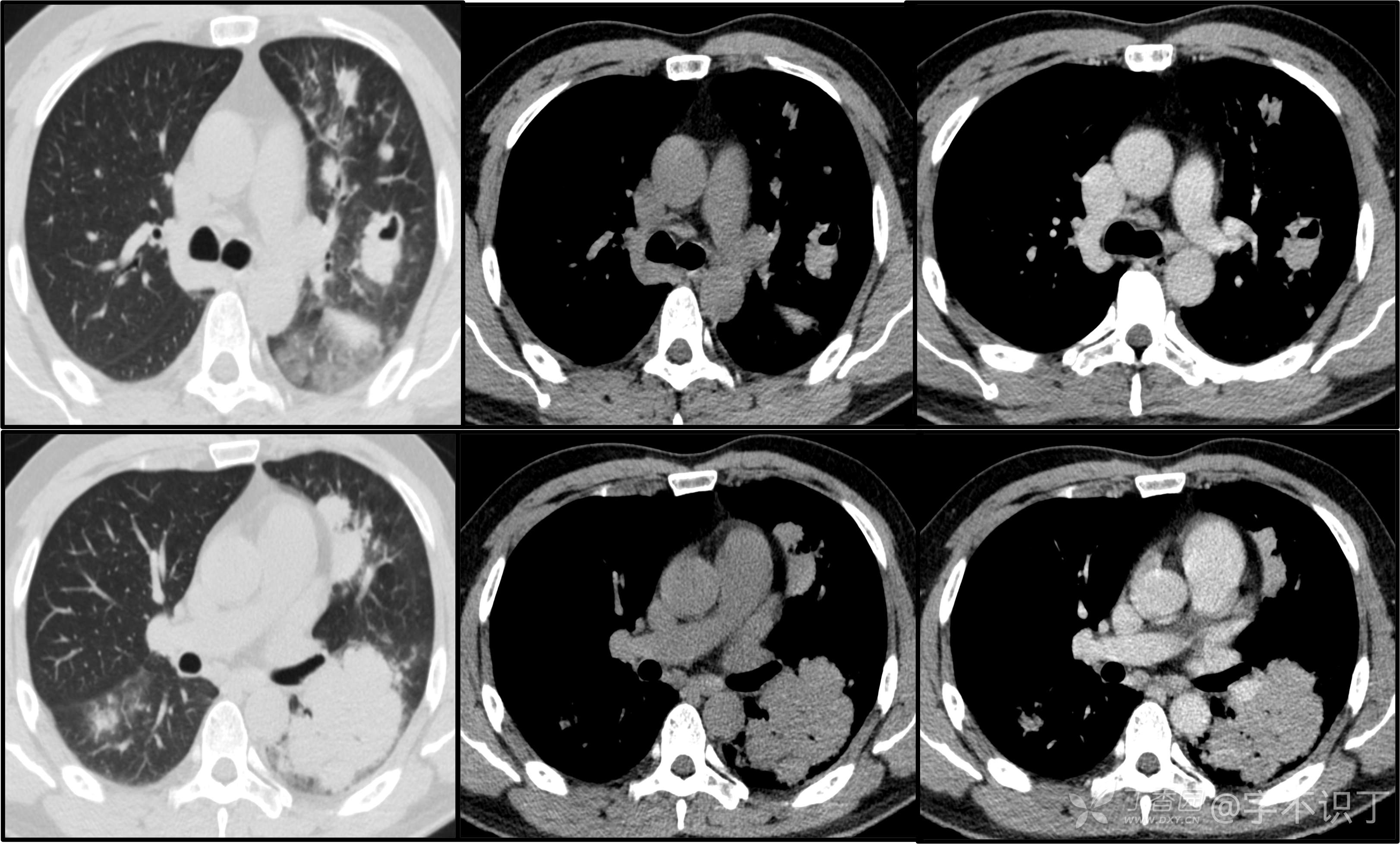
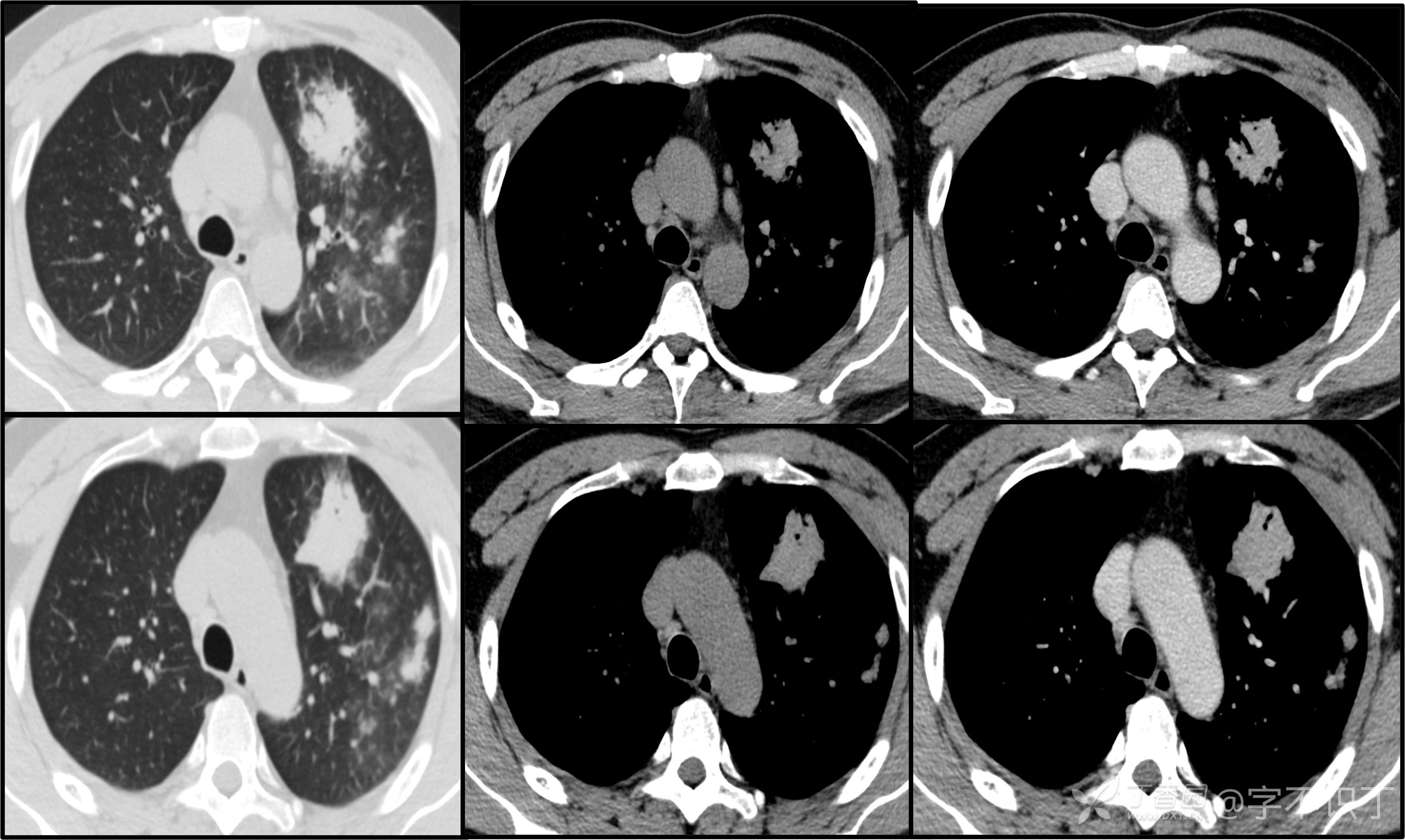
主诉:反复咳嗽2年,再发2月,咯血发热5天
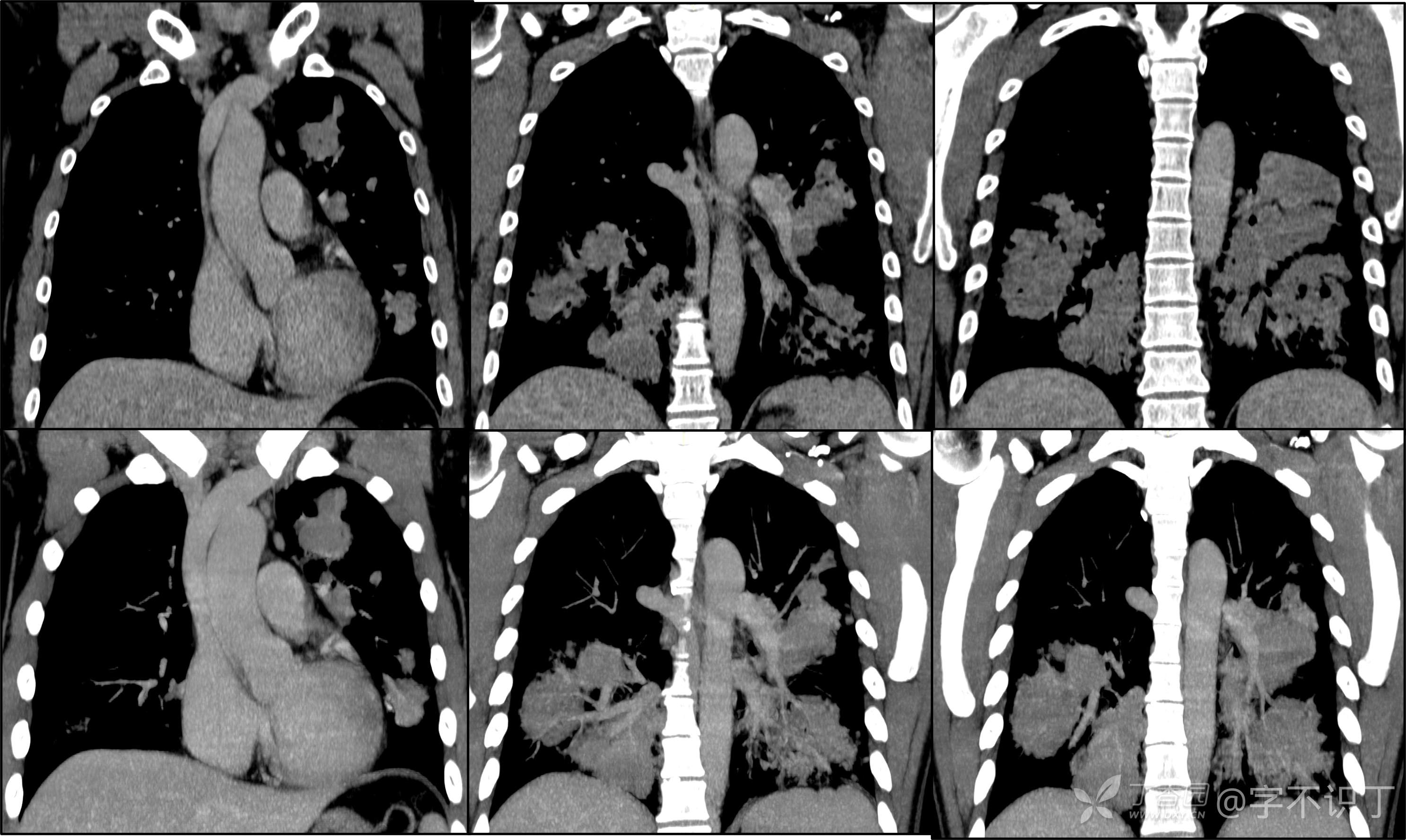
简要病史:2年前无明显诱因出现阵发性干咳;2月前咳嗽症状较前加重,有少量白色粘液样痰,未经特殊处理,7天前咳嗽症状较前加重,伴咳黄脓样痰,痰中带血丝,予以哌拉西林舒巴坦+莫西沙星抗感染及祛痰等对症支持治疗,未觉好转,予以拉氧头孢、左氧氟沙星、布洛芬、氨溴索等对症处理,咳嗽、咳痰症状未缓解,仍有发热
体格检查:曾从事装修等工作,近半年从事煤矿管理工作。近期饮酒较频繁。既往有冶游史。
辅助检查:血液病原菌培养、分枝杆菌涂片检查、真菌涂片检查、一般细菌涂片检查、痰培养均阴性





















































