9月特别精彩病例|咳嗽伴咯血4月余,重点讨论胸部|结果已公布
患者性别:男
患者年龄:65岁
主诉:咳嗽伴咯血4月余
现病史:患者4月余前劳动后出现咳嗽,为阵发性干咳,以中午为主,后出现咯血,呈鲜红色,共5-6次,量最多时约50ml,约有3-4次。外院予以对症治疗(具体不详)后好转,1周前患者又出现咯血一次,约10ml。患者病程中无发热,时有胸闷,无胸痛,无呼吸困难,无盗汗,无恶心呕吐,无呕血黑便,食欲睡眠可,二便正常,体重无明显下降
有吸烟史30余年,2包/天,现戒烟10年,有饮酒史,半斤/天
既往史:(-);家族史:(-)
专科检查:(-)
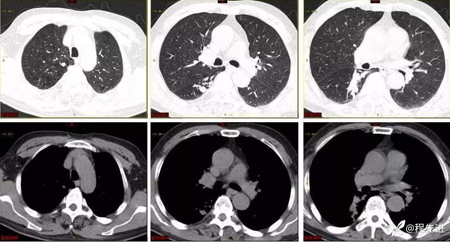
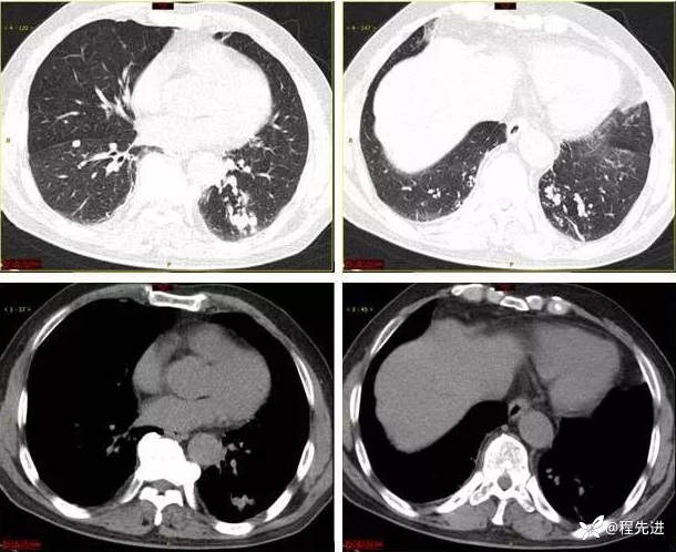
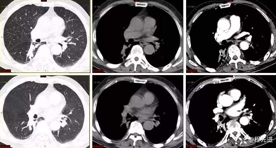
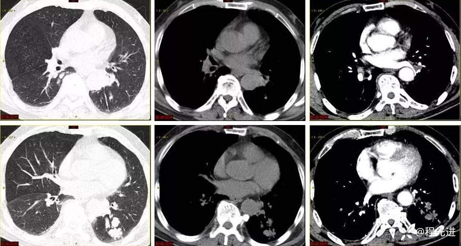
辅助检查:
血、尿、粪常规:(-)
凝血功能:D-二聚体0.69 mg/L(<0.55mg/L)
生化:钙2.13mmol/L(2.20-2.65mmol/L),白蛋白37.60g/L(40.0-55.0g/L)
C反应蛋白9.05 mg/L(0.0-8.0mg/L)
肿瘤标志物:神经原特异性烯醇化酶22.1ng/mL(<16.3ng/mL)






















































