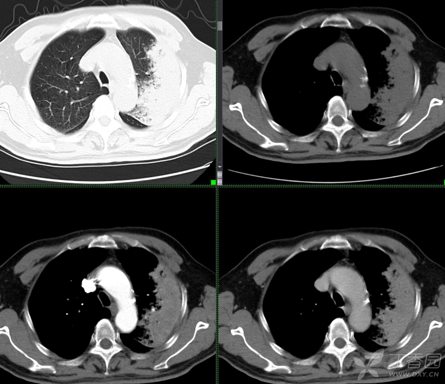
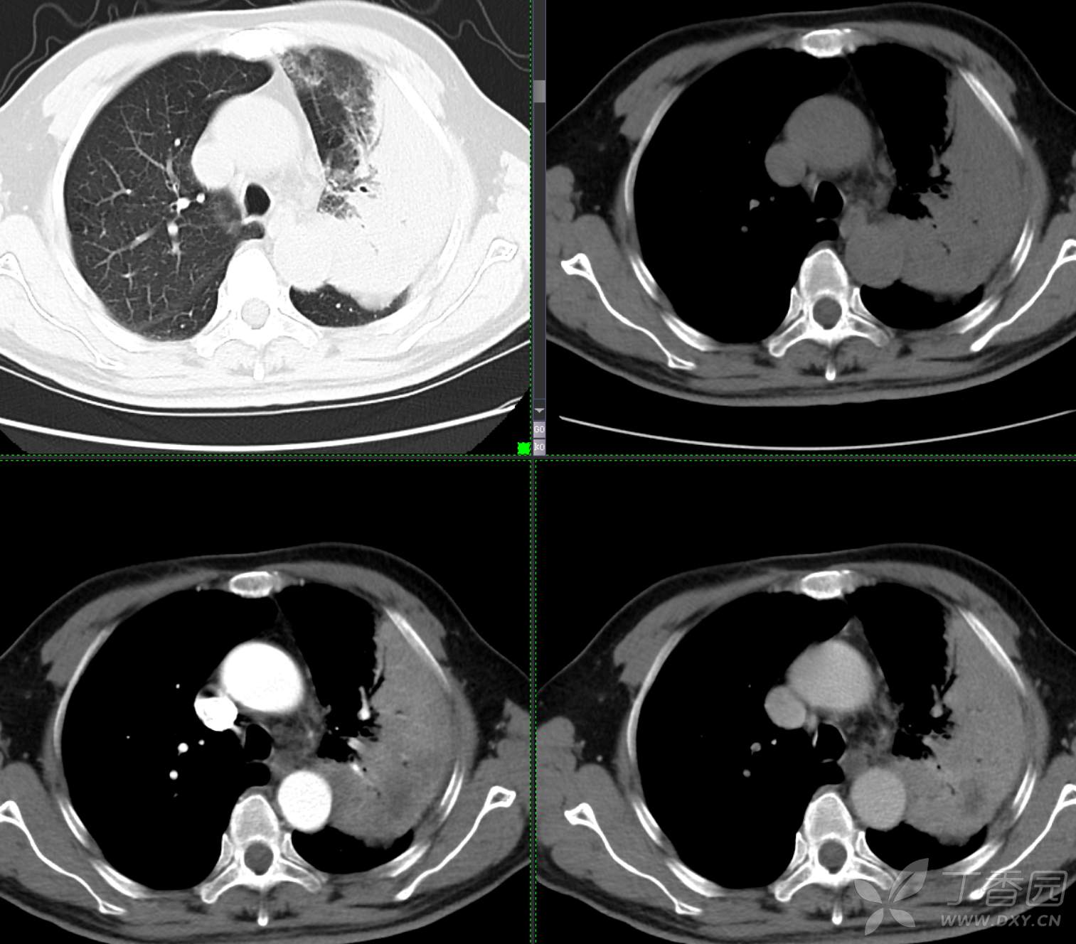
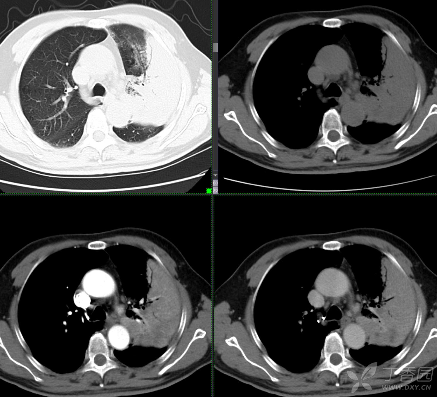
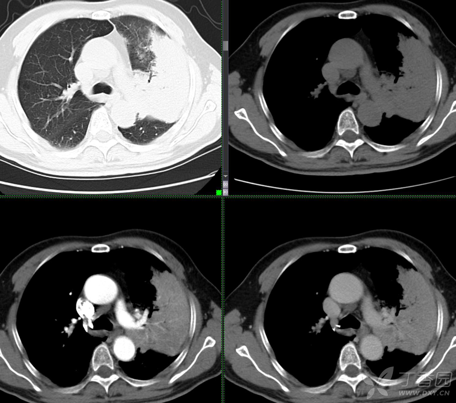
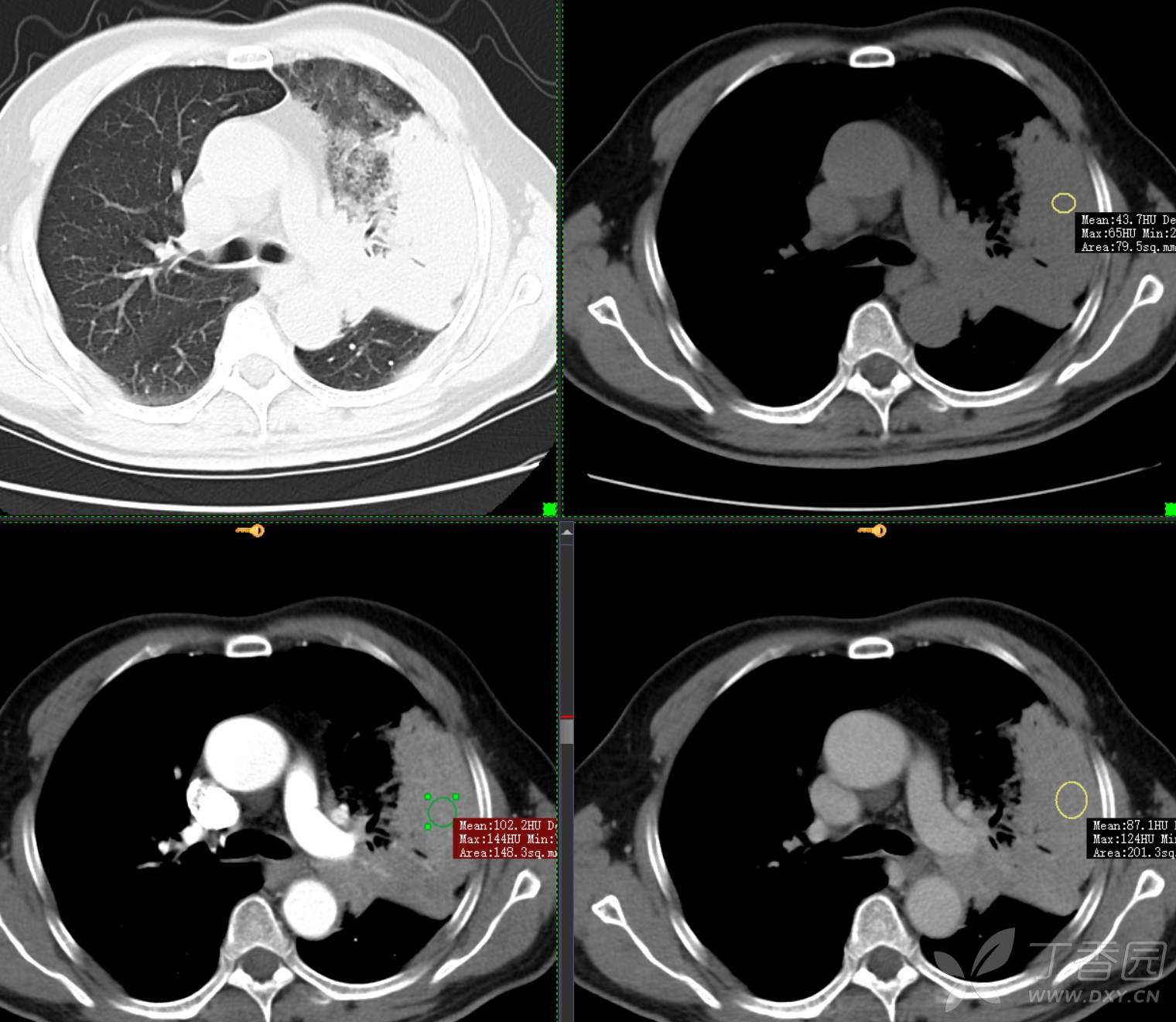
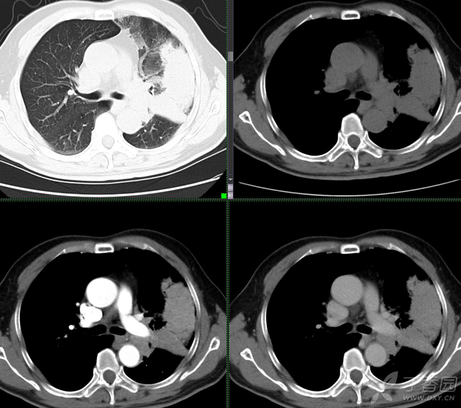
胸部29:大叶性病变,有征象,有特点,你的诊断?
患者性别:男
患者年龄:65
主诉:咳嗽2月余
简要病史:患者2月余前无明显诱因下出现咳嗽,干咳为主,夜间加重,伴咳痰,量中等,白粘痰为主,无明显胸闷气促,无恶心呕吐,无鼻后滴液,无发热畏寒,无鼻塞流涕不话,患者至当地医院就诊,考虑肺部感染,住院治疗,先后予“哌拉西林他挫巴坦针、莫西沙星针、美罗培南针、亚胺培南针、利奈唑胺片”抗感染治疗,患者咳嗽症状稍有好转,但仍存,为进一步诊治至我院门诊,现为进一步诊治,拟“肺部阴影、肺部感染”收治入院。











患者性别:男
患者年龄:65
主诉:咳嗽2月余
简要病史:患者2月余前无明显诱因下出现咳嗽,干咳为主,夜间加重,伴咳痰,量中等,白粘痰为主,无明显胸闷气促,无恶心呕吐,无鼻后滴液,无发热畏寒,无鼻塞流涕不话,患者至当地医院就诊,考虑肺部感染,住院治疗,先后予“哌拉西林他挫巴坦针、莫西沙星针、美罗培南针、亚胺培南针、利奈唑胺片”抗感染治疗,患者咳嗽症状稍有好转,但仍存,为进一步诊治至我院门诊,现为进一步诊治,拟“肺部阴影、肺部感染”收治入院。











