肠梗阻查因
病例信息
【患者信息】:75岁男性
【主诉】:腹痛腹胀肛门停止排气排便20小时
【现病史及既往史】:既往有高血压;2月前有急性心梗病史,1年前又冠脉支架手术史,长期口服双抗;糖尿病病史,长期使用胰岛素。
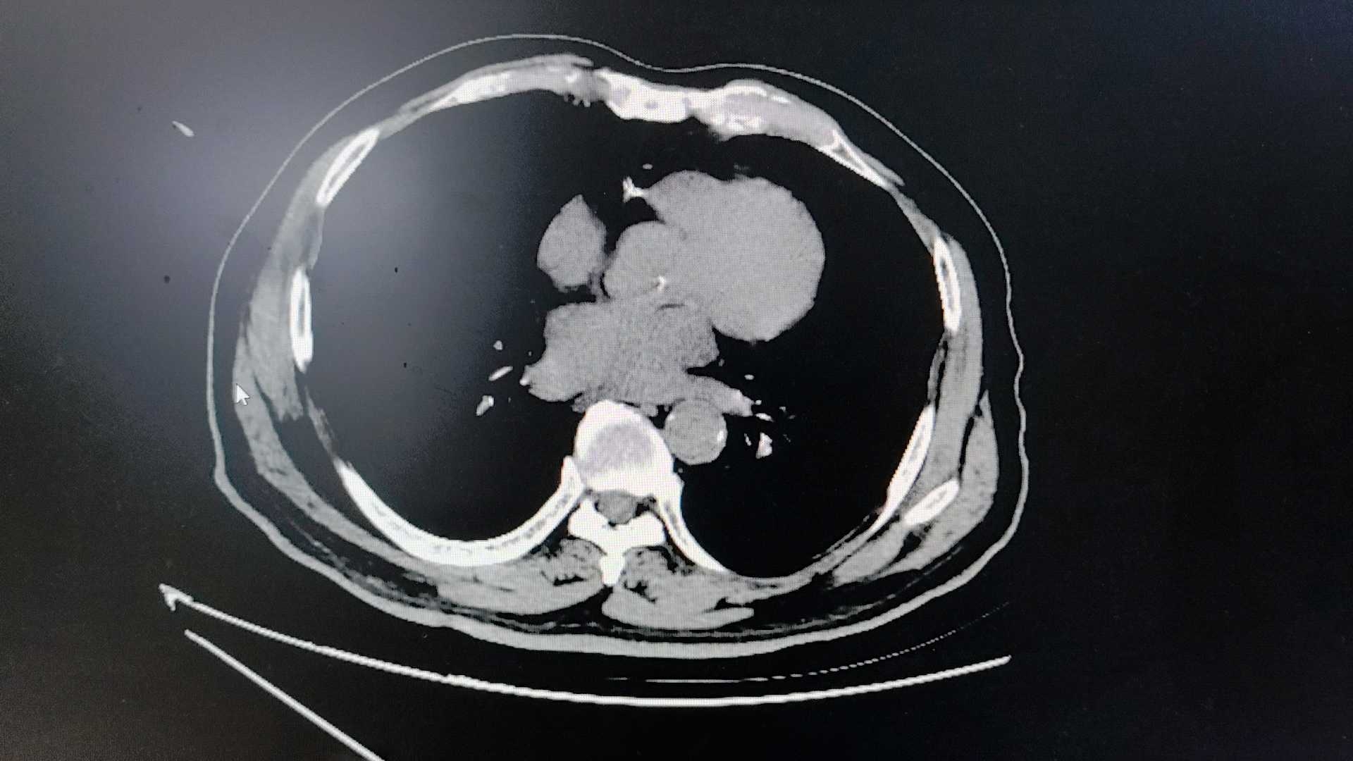
【检查】:入院CT



第二天腹痛加重,复查CT:



【临床诊断】:

【治疗经过及结果】:急诊手术
总结与讨论

病例信息
【患者信息】:75岁男性
【主诉】:腹痛腹胀肛门停止排气排便20小时
【现病史及既往史】:既往有高血压;2月前有急性心梗病史,1年前又冠脉支架手术史,长期口服双抗;糖尿病病史,长期使用胰岛素。
【检查】:入院CT



第二天腹痛加重,复查CT:



【临床诊断】:

【治疗经过及结果】:急诊手术
总结与讨论

