腔镜乙状结肠癌根治术后出现肠梗阻如何办???
病例信息
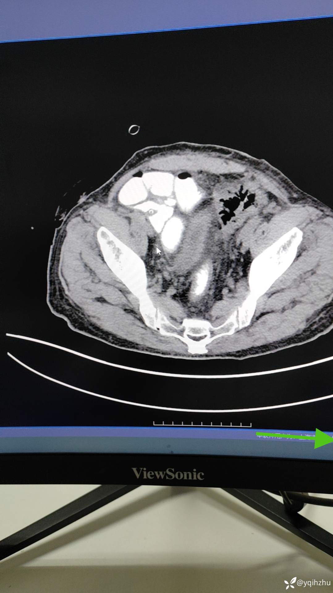
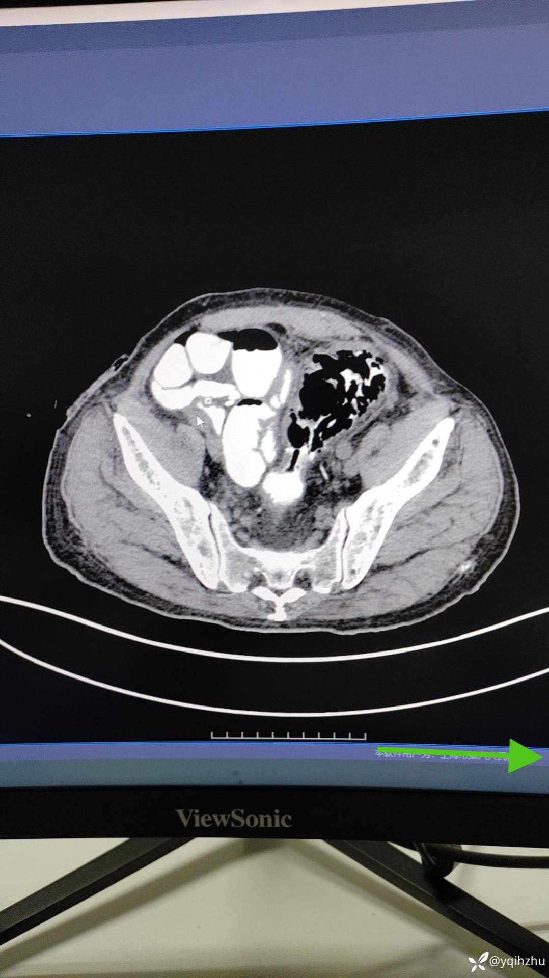
患者老年男性,82岁,急性肠梗阻入院,当时急诊行肠镜下支架植入术,术后3周在全麻下行腔镜下乙状结肠癌根治术,手术顺利,术中见乙状结肠和直肠肠管无明显水肿,给于一期切除,吻合口吻合器切除+浆肌层保埋,骶前部置双套管引流。术后第3天解便和排气,给于饮水,但2小时后出现腹胀不适,给于禁食,胃肠减压,等营养保守治疗,目前术后第15天,给于碘海醇口服后6小时造影。图片如下





分析处理
目前考虑如何处理。是继续保守治疗,还是结肠镜检查,还是手术治疗。
病例信息
患者老年男性,82岁,急性肠梗阻入院,当时急诊行肠镜下支架植入术,术后3周在全麻下行腔镜下乙状结肠癌根治术,手术顺利,术中见乙状结肠和直肠肠管无明显水肿,给于一期切除,吻合口吻合器切除+浆肌层保埋,骶前部置双套管引流。术后第3天解便和排气,给于饮水,但2小时后出现腹胀不适,给于禁食,胃肠减压,等营养保守治疗,目前术后第15天,给于碘海醇口服后6小时造影。图片如下





分析处理
目前考虑如何处理。是继续保守治疗,还是结肠镜检查,还是手术治疗。
