肠梗阻“漩涡征”的昙花一现
患者jinnyaazuoo,男,35岁。因腹部绞痛、伴腹胀、恶心呕吐,停止排便排气一天急诊入院。
患者5年前因便秘结肠功能异常,行结肠全切除,小肠直肠吻合,小肠预防性造瘘术。术后半年出现腹痛腹胀,行剖腹探查、腹腔粘连松解、小肠造瘘还纳术。术后有经常性腹痛腹胀不适感。入院前2月气腹CT腹膜腔三维成像,显示中下腹广泛性腹壁粘连,盆腔无气腹空间。患者拟入院行择期腹腔镜粘连松解术,因饮食不当,诱发急性肠梗阻。

患者急诊CT显示肠管扩张,积气积液。急性机械性小肠梗阻诊断明确。禁食输液、胃肠减压保守治疗,2天梗阻持续无缓解,腹部绞痛加剧,左侧腹部压痛显著。腹部CT复查肠梗阻加重,并见左侧中腹部的“漩涡征”,提示肠扭转。遂急诊剖腹探查,中上腹正中绕脐切口。发现上腹腹腔间隙存在,充斥梗阻近端扩张的肠襻,色泽稍深,血运大致正常。自脐周中腹以下肠襻与腹壁、肠襻相互间弥漫性粘连,形成多处粘连索带和肠襻卡压点。未见肠襻扭转,腹腔少量淡黄色渗液。粘连松解过程顺利,无肠管损伤。解除梗阻,顺直肠管及系膜,直至左下腹盆腔的吻合口。放置腹腔引流管后结束手术。术后3天,肛门排便排气,无腹胀腹痛。观察2天后,拔除胃管和腹腔引流管,允许少量饮水,仍禁食。术后第八天感腹胀,肛门无排气。胃肠减压有多量绿色胃液。CT复查见肠管扩张,积气积液。考虑炎性肠梗阻,继续禁食禁饮胃肠减压,静脉营养支持治疗。

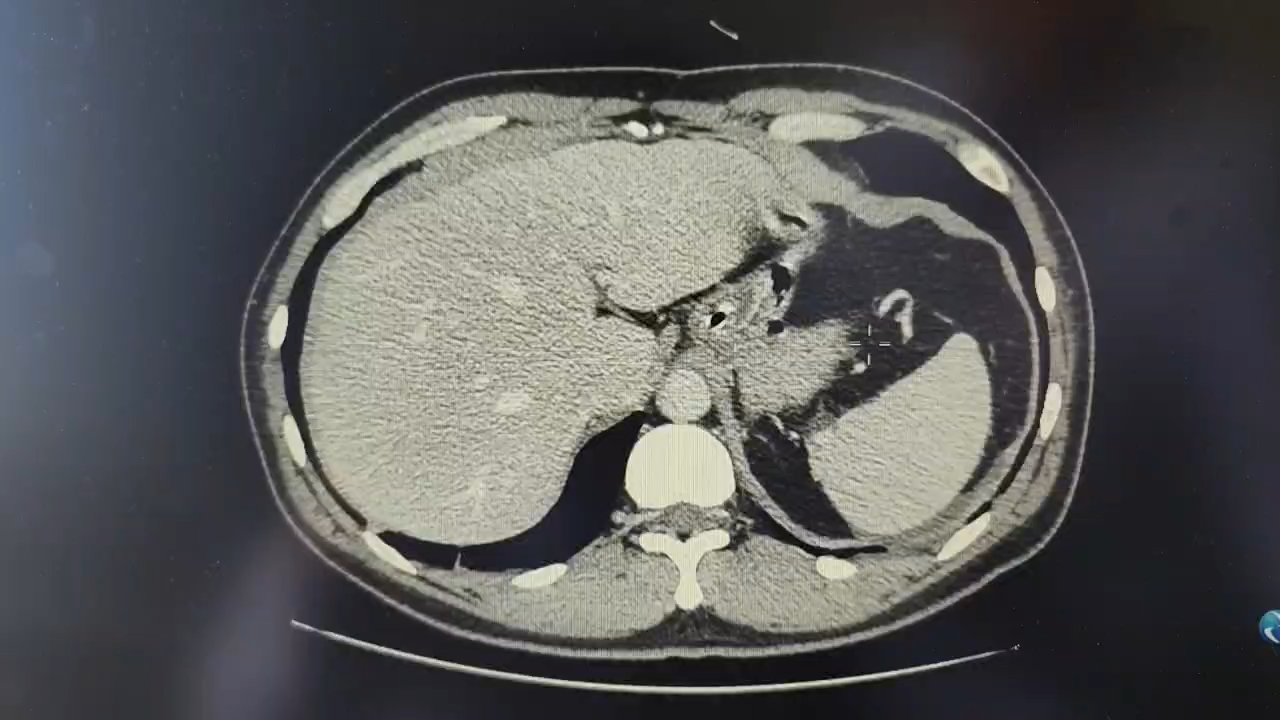
急诊入院腹部CT:









讨论:
患者诊断和手术治疗中规中矩,没有太多可探究的地方。发帖的目的在于腹部CT的漩涡征的识别和临床意义的分析。通常我们是以“漩涡征”作为肠扭转的特征性影像应用于临床。全系膜小肠扭转发病率较低,获得这样的经历和经验毕竟不多见。因此对漩涡征的认识相对肤浅。但小肠扭转属于绞窄性肠梗阻,需紧急外科干预,以免灾难性后果的发生,这是腹部外科的共识。CT“漩涡征”的概念推出后,临床既有伴随小肠扭转急症现象,也可出现在无临床症状患者。漩涡征的临床意义是什么,始终有种云山雾罩的感觉。本例急诊肠梗阻患者的影像资料相对齐全,为我们弄清这个问题或有帮助。
患者急诊入院的腹部CT及之前所做的气腹CT,腹部均无“漩涡征”,表明患者初次全结肠切除及半年后的小肠关瘘手术,虽然造成腹腔广泛粘连,但并没有肠襻的扭转,临床也没表现有肠梗阻症状,所以说这之前是清白的。这种清白包含两层意思,一是无临床意义的肠管扭转梗阻,二是无影像意义的肠管扭转。患者保守治疗无效,梗阻病情加重后,才出现局部肠襻的漩涡征。这表明漩涡征是梗阻后的继发影像,而不是梗阻起病的原发征象。患者急诊粘连松解手术只发现一般性的粘连索带卡压,导致梗阻,并肠襻无扭转的证据。术后患者不幸发生炎性肠梗阻,复查CT,漩涡征已不甚明显。
上述事实表明,漩涡征是急性肠梗阻局部肠管旋转的客观影像证据,但并不等同于临床肠扭转的证据。本例患者梗阻已发生之初,虽有肠襻扩张积气积液,却无漩涡征。梗阻发展病情加重,梗阻近端的肠管进一步膨张 ,有限的腹腔空间迫使其发生继发性旋转,于是就出现了昙花一现的漩涡征。而粘连松解梗阻解除后,虽然再度导致肠梗阻。梗阻的位点变化,漩涡征已不显著。当然我们还期待炎性肠梗阻缓解后的腹部CT结果。
抛砖引玉,期待各位站友发表高见。谢谢
















































