男性61岁,车祸头外伤住院,发生肺炎,你肯定猜不到找到了什么病原菌
病例信息
【患者信息】:男61
【主诉】: ,主因车祸致伤头部伴意识不清1小时于2024-10-16 07:12入院。
【现病史及既往史】: 1.现病史:患者老年 男,于入院前1天,患者在骑自行车时发生车祸,致伤头部,右颞顶部受力,伤后患者意识不清,右侧外耳道及右侧鼻腔出血,院外未处理,急来我院急诊就诊,查头颅CT示:右侧额颞顶枕部硬膜下血肿,颅内积气,蛛网膜下腔出血,左侧额颞部硬膜下出血?脑干密度减低,右侧颞顶部头皮软组织肿胀,右侧颞、顶骨骨折,右侧乳突小房密度增高。右侧外耳道密度增高。右侧蝶窦密度增高。胸部CT+三维重建示:双肺索条,双肺透过度欠均匀,双肺纹理增重,主动脉钙化,冠状动脉钙化。急诊以“闭合性颅脑损伤重型”收入我科。
患者自受伤以来,无大小便失禁,无抽搐,无呼吸困难等。
2.既往史:既往患高血压病3年,口服药物治疗,药物不详,血压控制可;心脏不适2年,口服药物治疗,药物不详,病情控制可;否认糖尿病、冠心病史,无手术,外伤史,无输血史,无食物,药物过敏史。预防接种史不详。
【检查】: 查体:T36.4℃,P50次/分,R17次/分,BP240/130mmHg。深昏迷状态,刺激不睁眼,不发音,刺激肢体微动,GCS4分,头颅无畸形,右颞顶部可见约2×3cm皮肤挫伤,少量渗血,周围皮肤红肿。双侧瞳孔左:右4:5mm,对光反射消失,视力,视野及眼球运动检查检查不合作,右侧外耳道、右侧鼻腔可见少量新鲜出血,鼻唇沟对称,皱眉,示齿,伸舌,鼓腮等检查不合作,颈部无抵抗。胸廓对称无畸形,心肺腹部未见异常,四肢肌力检查不合作,肌张力不高,浅感觉检查减弱,双侧肱二.三头肌反射,双膝.跟腱反射减弱,双侧巴彬斯基征阳性。
【临床诊断】:初步诊断
1.右额颞顶枕部 急性创伤性硬脑膜下血肿2.创伤性蛛网膜下腔出血3.右侧 颞骨骨折4.右侧 顶骨骨折5.颅底骨折6.创伤性颅内积气7.右侧 脑脊液耳漏8.右侧 脑脊液鼻漏9.头部浅表损伤 (右颞顶部)10.开放性颅脑损伤特重型。
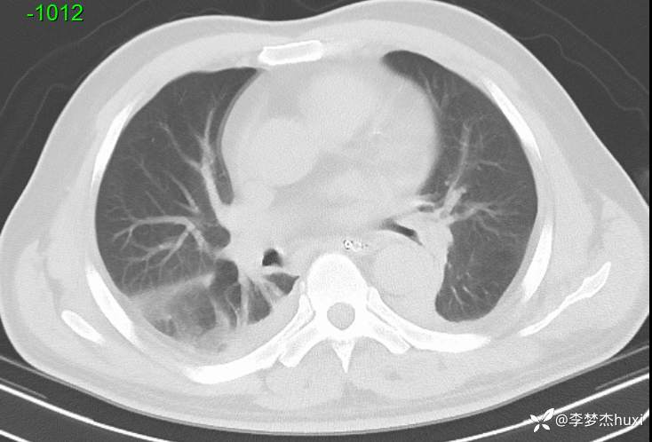
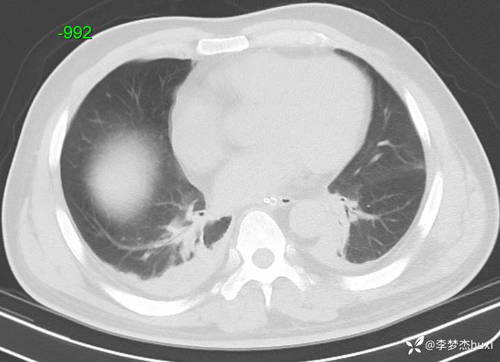
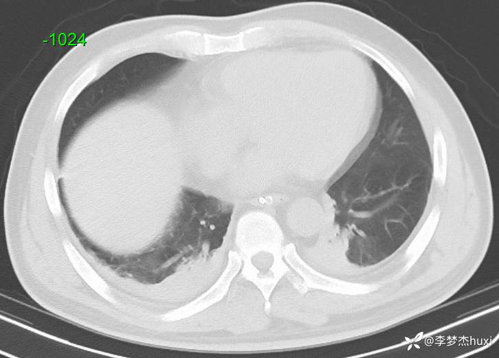
【治疗经过及结果】:辅助检查:查头颅CT示:右侧额颞顶枕部硬膜下血肿,颅内积气,蛛网膜下腔出血,左侧额颞部硬膜下出血?脑干密度减低,右侧颞顶部头皮软组织肿胀,右侧颞、顶骨骨折,右侧乳突小房密度增高。右侧外耳道密度增高。右侧蝶窦密度增高。胸部CT+三维重建示:双肺索条,双肺透过度欠均匀,双肺纹理增重,主动脉钙化,冠状动脉钙化。
总结与讨论
入院发生肺炎,猜病原菌






















































