63岁/男,喉癌术后半月,发热1天。疑难病例,请讨论---结果公布~
胡志勇HZY 达人已点赞病例信息
性别:男
年龄:63岁
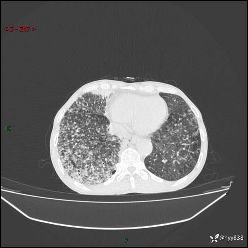
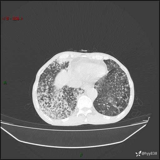
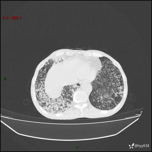
主诉:喉癌术后半月,发热1天。
现病史:患者2周前于我院行喉部分切除术+环状软骨-舌骨固定术+双侧功能性颈淋巴结清扫术,术后予以抗感染等对症治疗,恢复可,2024-06-28办理出院。出院回家后出现发热,体温最高39.5℃,伴乏力、畏寒,无咳嗽、咳痰,无呼吸、吞咽困难等不适;于当地卫生所量体温38.6℃,现为行进一步治疗,就诊我院,门诊行相关检查后遂以“上呼吸道感染”收住院。 病程中,患者精神可,睡眠,饮食尚可,大小便正常,体力体重无明显变化。
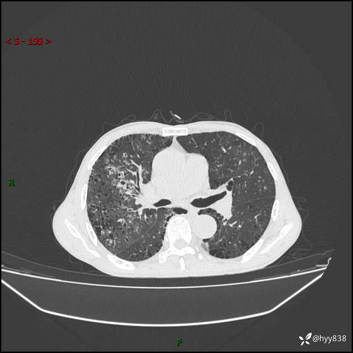
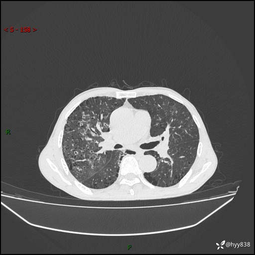
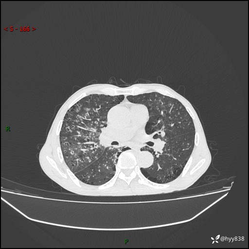
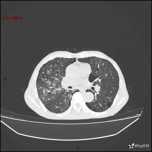
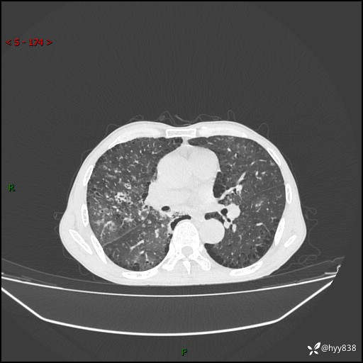
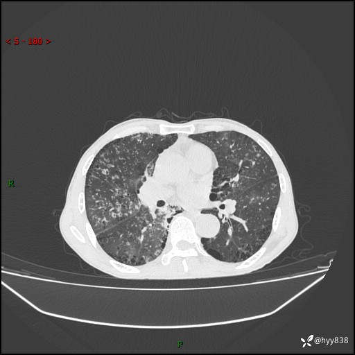
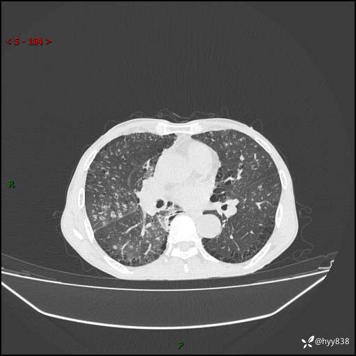
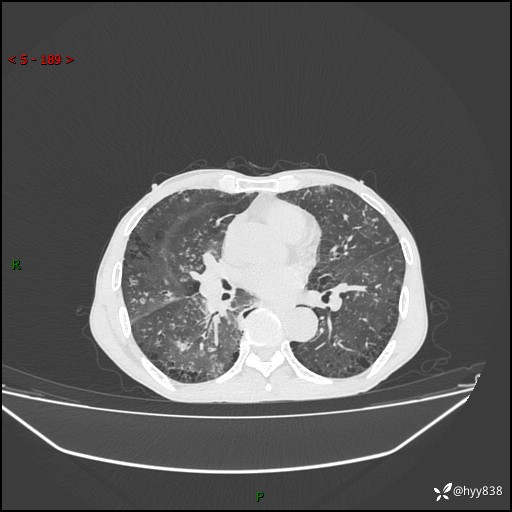
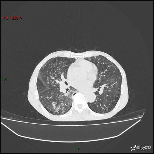
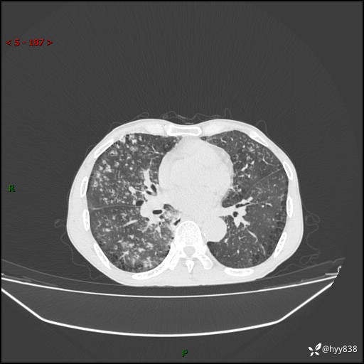
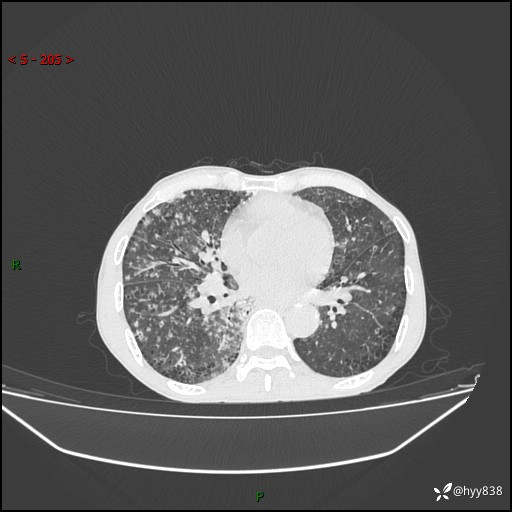
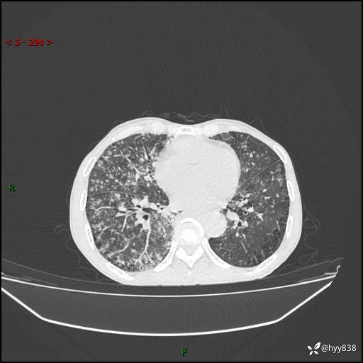
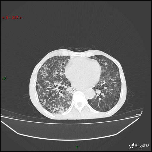
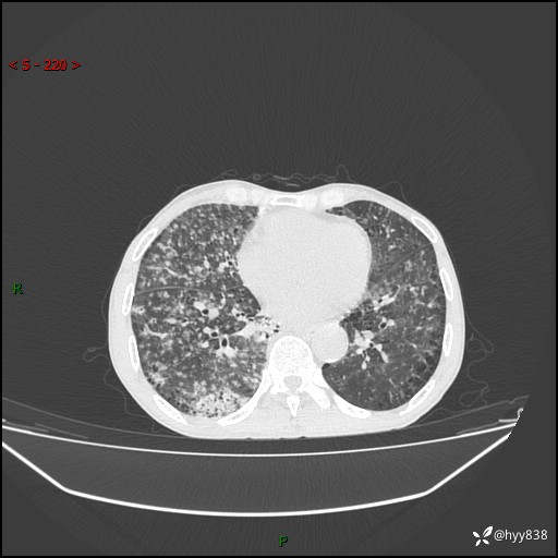
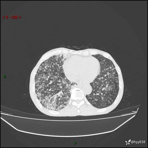
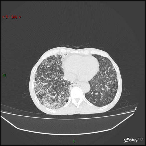
胸部CT平扫










































































