男性39岁,体检发现肺结节,猜病理
华夏览雄 等 2 位达人已点赞病例信息
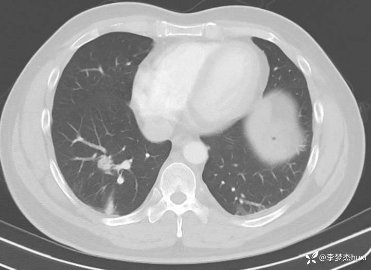
男, 39 岁,主因体检发现肺结节20余天于2024-07-18 10:13入院。
病例特点
1.现病史:患者中年 男,缘于入院前20余天,患者体检,查胸部CT示肺结节(未见报告单),无发热,无咳嗽咳痰,无胸闷憋气,无胸痛,无呼吸困难及咯血等不适,未予治疗,1天前于我院复查胸部CT:右肺下叶结节—占位?右肺实性结节,建议复查或肺结节门诊会诊检查,右肺下叶索条,双肺纹理增重,气管憩室,双侧部分肋骨局部欠规整且密度增高,胸骨骨折,左肾局部密度减低,左肾高密度囊肿?请结合超声或结合增强CT检查。为手术治疗,门诊查体后以“肺结节”收住院。
2.既往史:既往外伤肋骨骨折病史20余天,现无明显不适,无高血压病、冠心病、糖尿病等慢性病史,无肝炎、伤寒、结核等传染病史,无手术史,无输血史,无药物及食物过敏史,预防接种史不详。
3.查体:T35.8℃,P72次/分,R16次/分,BP100/70mmHg。神清语利,呼吸平稳,头颈部查体未见异常,胸廓对称,两侧对称,呼吸动度两侧一致,肋间隙无增宽或变窄。语颤两侧均等一致,无增强或减弱,无胸膜摩擦感及皮下捻发感。两肺叩清音,肺肝相对浊音界位于右锁骨中线第Ⅴ肋间。双肺呼吸音粗,未闻及干湿性啰音及胸膜摩擦音。胸廓挤压试验阳性,无骨摩擦音及摩擦感,胸骨无压痛。心律齐,心音正常,未闻及异常杂音,腹部平坦,软,全腹无压痛,无反跳痛及腹肌紧张,移动性浊音阴性,肠鸣音正常。
4.辅助检查:胸部CT:右肺下叶结节—占位?右肺实性结节,建议复查或肺结节门诊会诊检查,右肺下叶索条,双肺纹理增重,气管憩室,双侧部分肋骨局部欠规整且密度增高,胸骨骨折,左肾局部密度减低,左肾高密度囊肿?请结合超声或结合增强CT检查。
初步诊断
1.右肺下叶 肺占位性病变 癌?炎症?;2.胸骨骨折;3.肋骨骨折。
分析处理
1.外科二级护理,陪人,普通饮食。
2.完善血尿便常规、凝血常规、肝肾功能、钾钠氯、血糖、肿瘤标志物、心电图、B超、胸部增强CT等术前检查。
3.完善检查,如无禁忌症,择期手术治疗。
总结与讨论
猜病理
























































