33岁/女,左侧腰痛1周,发现左肾占位1天。也许简单,也许复杂---结果公布~
胡志勇HZY 达人已点赞病例信息
性别:女
年龄:33岁
主诉:左侧腰痛1周,发现左肾占位1天
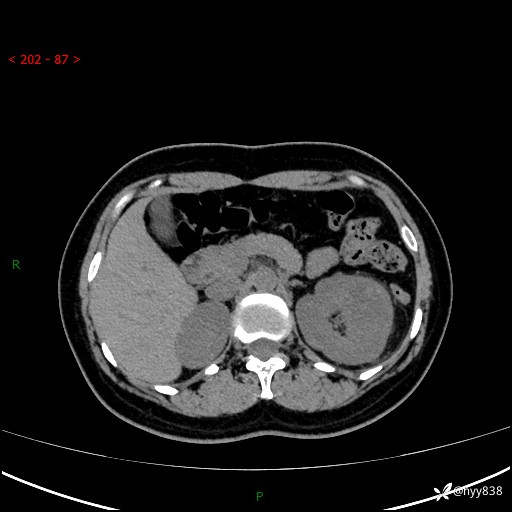
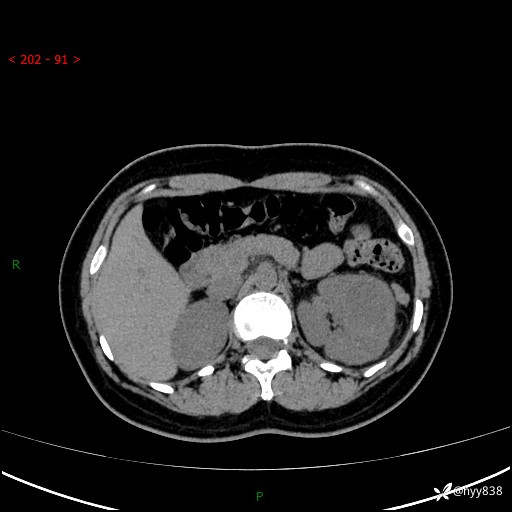
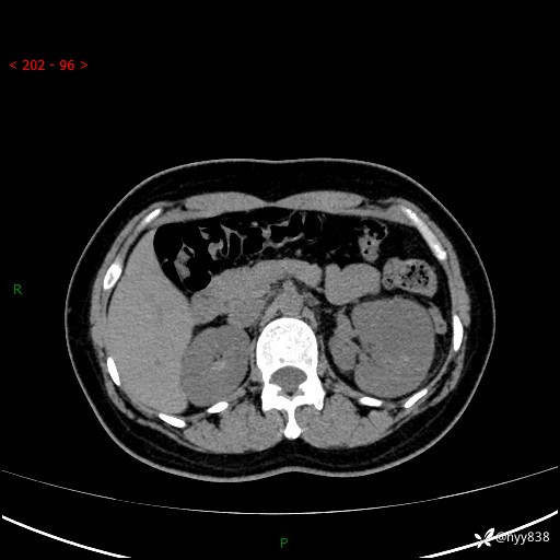
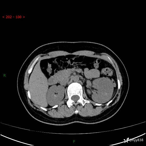
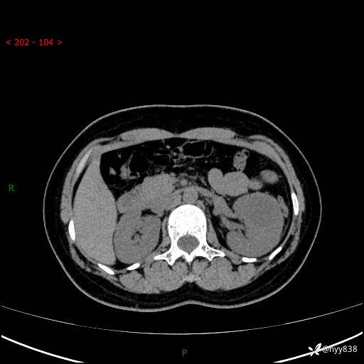
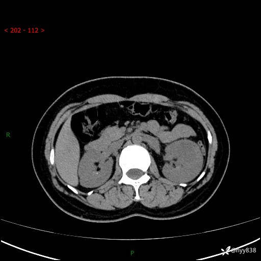
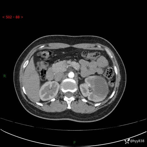
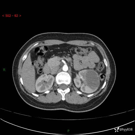
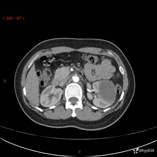
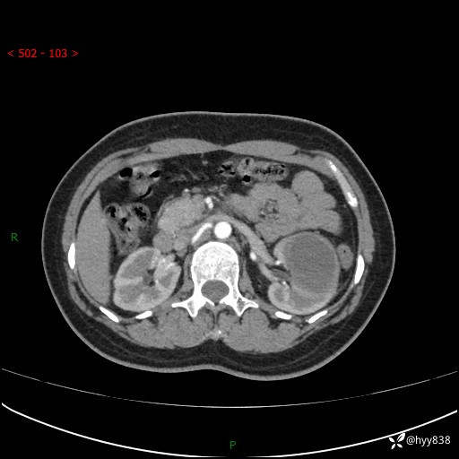
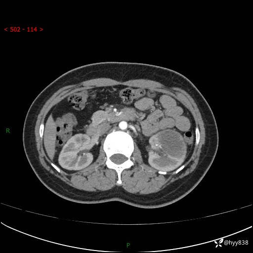
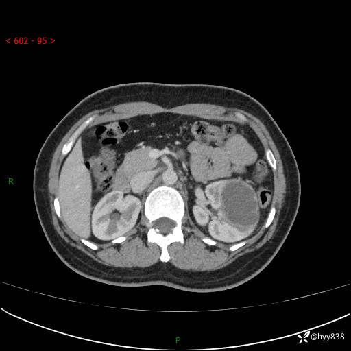
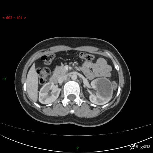
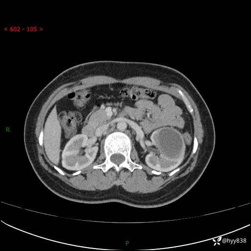
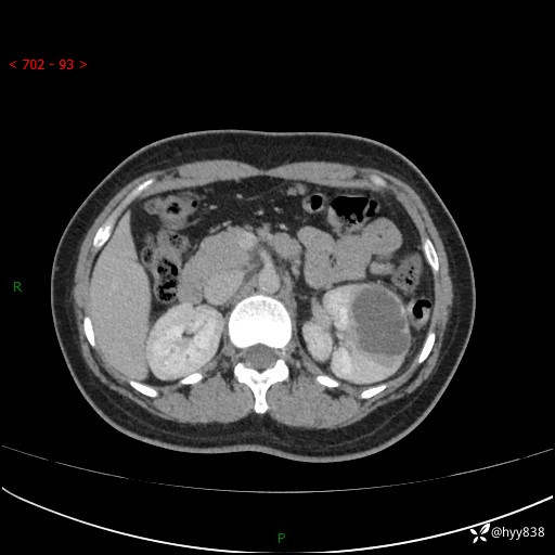
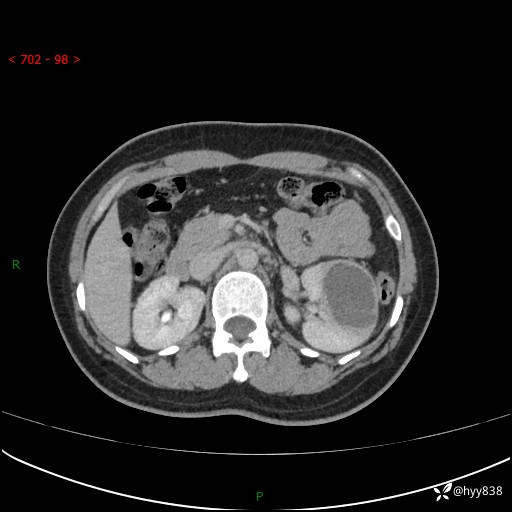
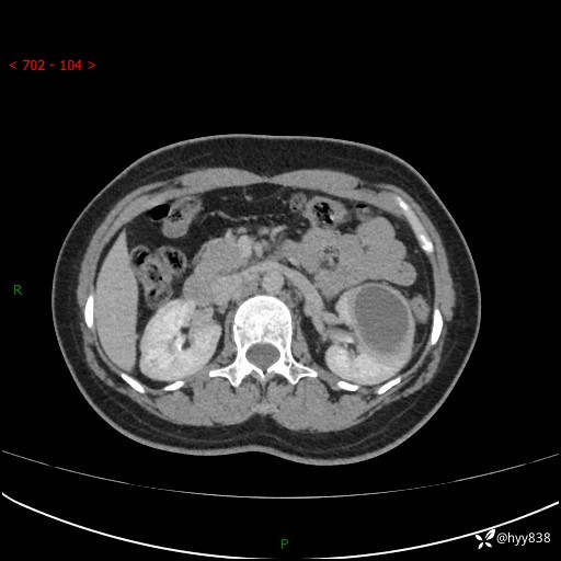
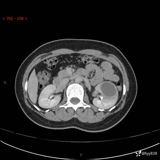
现病史:患者于1周前因左侧腰腹部间断胀痛不适,无恶心呕吐,无明显肉眼血尿,无畏寒发热,无尿频尿急,起病初,患者来我院就诊,查CT提示左肾低密度影,外周血提示:白细胞11.25*10^9/L.行抗感染治疗后未见明显好转,06-18泌尿系增强CT提示左肾类圆形低密度占位(脓肿?肿瘤?),大小:4.0*3.2cm,为求进一步治疗,门诊以“左肾占位”收住我科。 起病以来,患者精神佳,饮食、睡眠良好,大小便正常,体力体重无明显变化。
双肾CT平扫+增强





































































