dxy logo
首页丁香园病例库全部版块
搜索
登录

9月特别精彩病例|腰痛2月,体检发现左肾占位5天|病理已公布

影像核医学版版主 · 最后编辑于 2023-09-08 · IP 江西江西
1305 浏览
icon呱呱叫了 等 3 位达人已点赞
这个帖子发布于 2 年零 36 天前,其中的信息可能已发生改变或有所发展。

患者性别:男

患者年龄:65岁

简要病史:腰痛2月,体检发现左肾占位5天

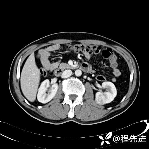
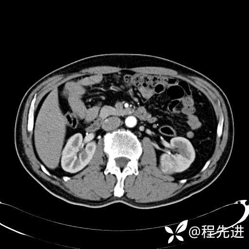
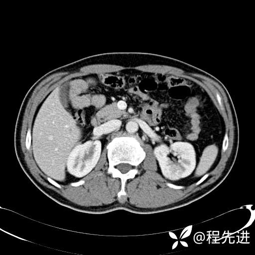
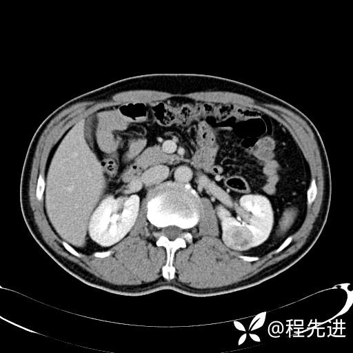
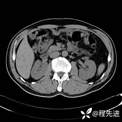
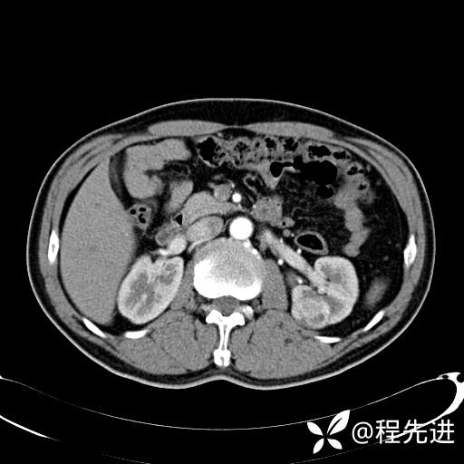
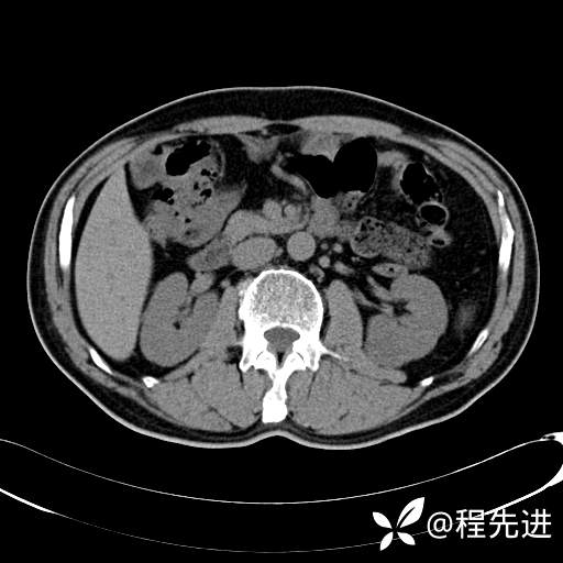
CT

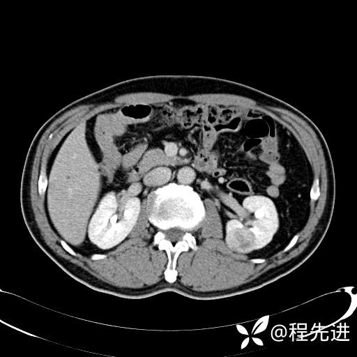
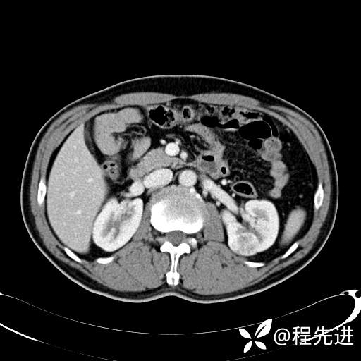
平扫:

img
img
img
img

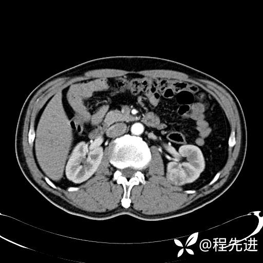
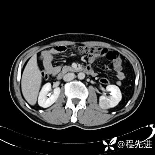
皮质期:

img
img
img
img

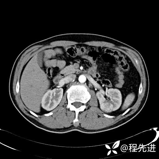
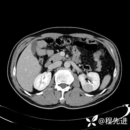
髓质期:

img
img
img
img

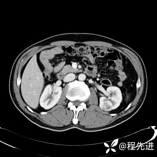
排泄期:

img
img
img
img
肾透明细胞癌 (27)
纠错
48 6 17
同行评议(0)
已评议
不开通精选
开通精选
精选已授权,待上线
评议结果暂未公布
参与评议
去邀请
NaN
病例完整NaN
临床实用NaN
诊疗科学NaN
学术价值NaN

全部讨论(0)

默认最新
avatar
48
分享帖子
share-weibo分享到微博
share-weibo分享到微信
认证
返回顶部