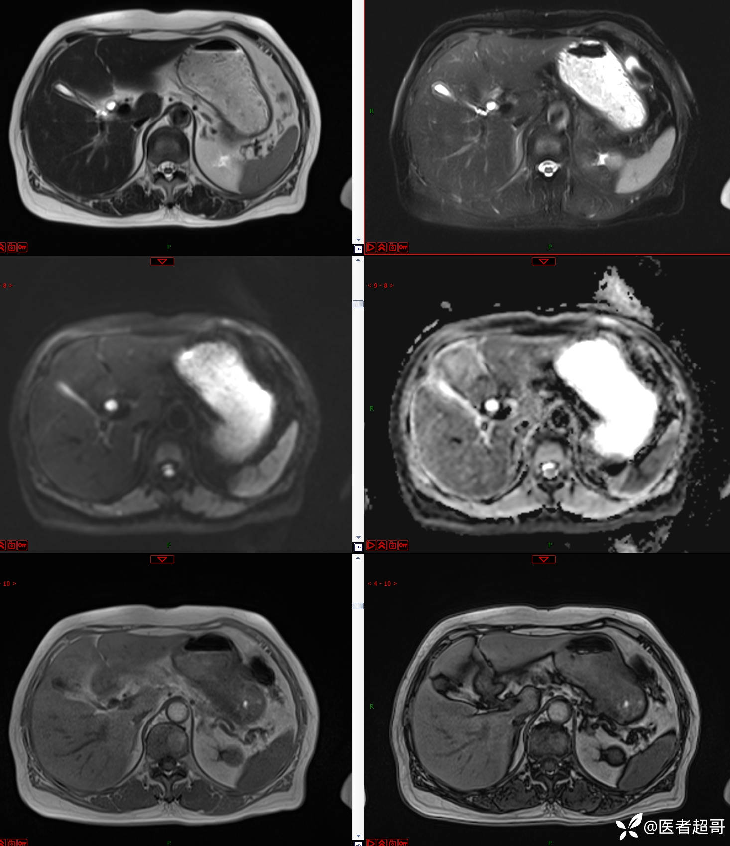
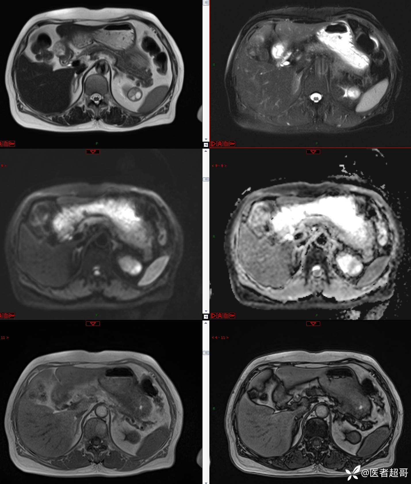
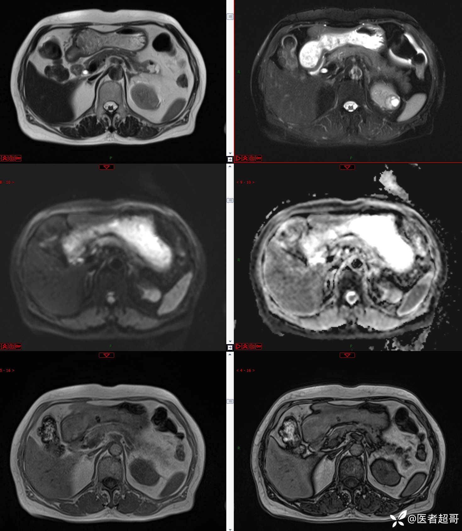
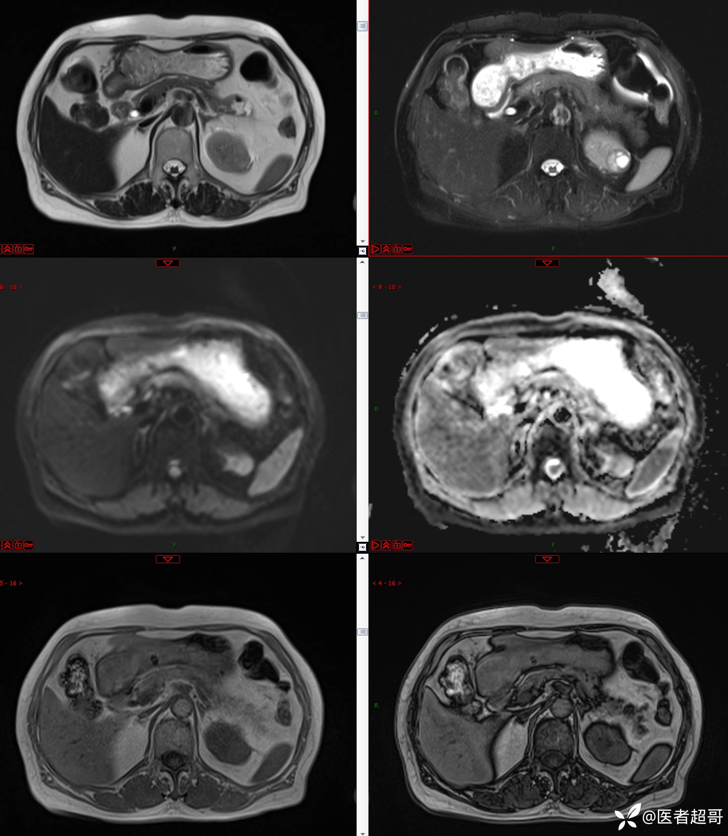
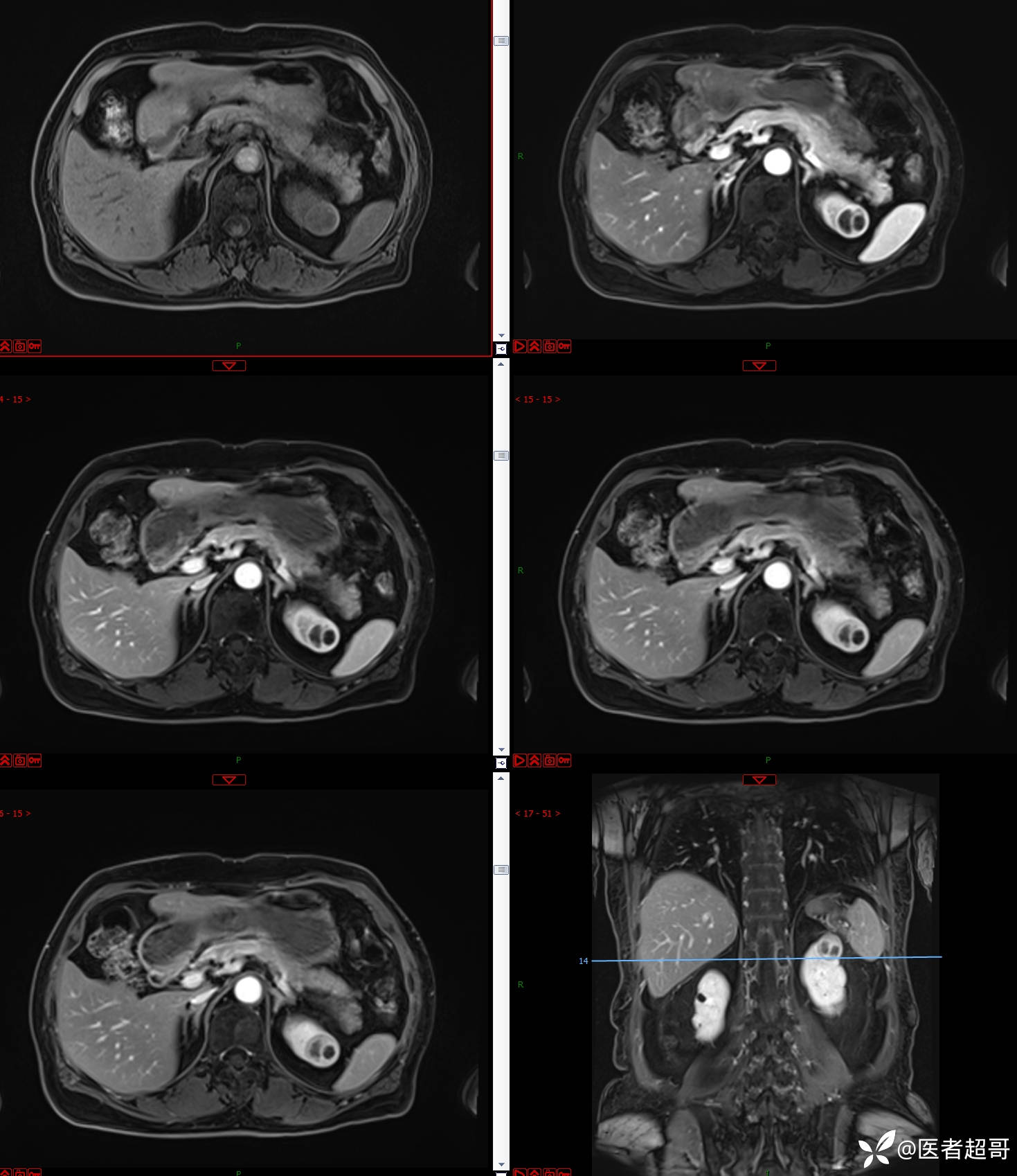
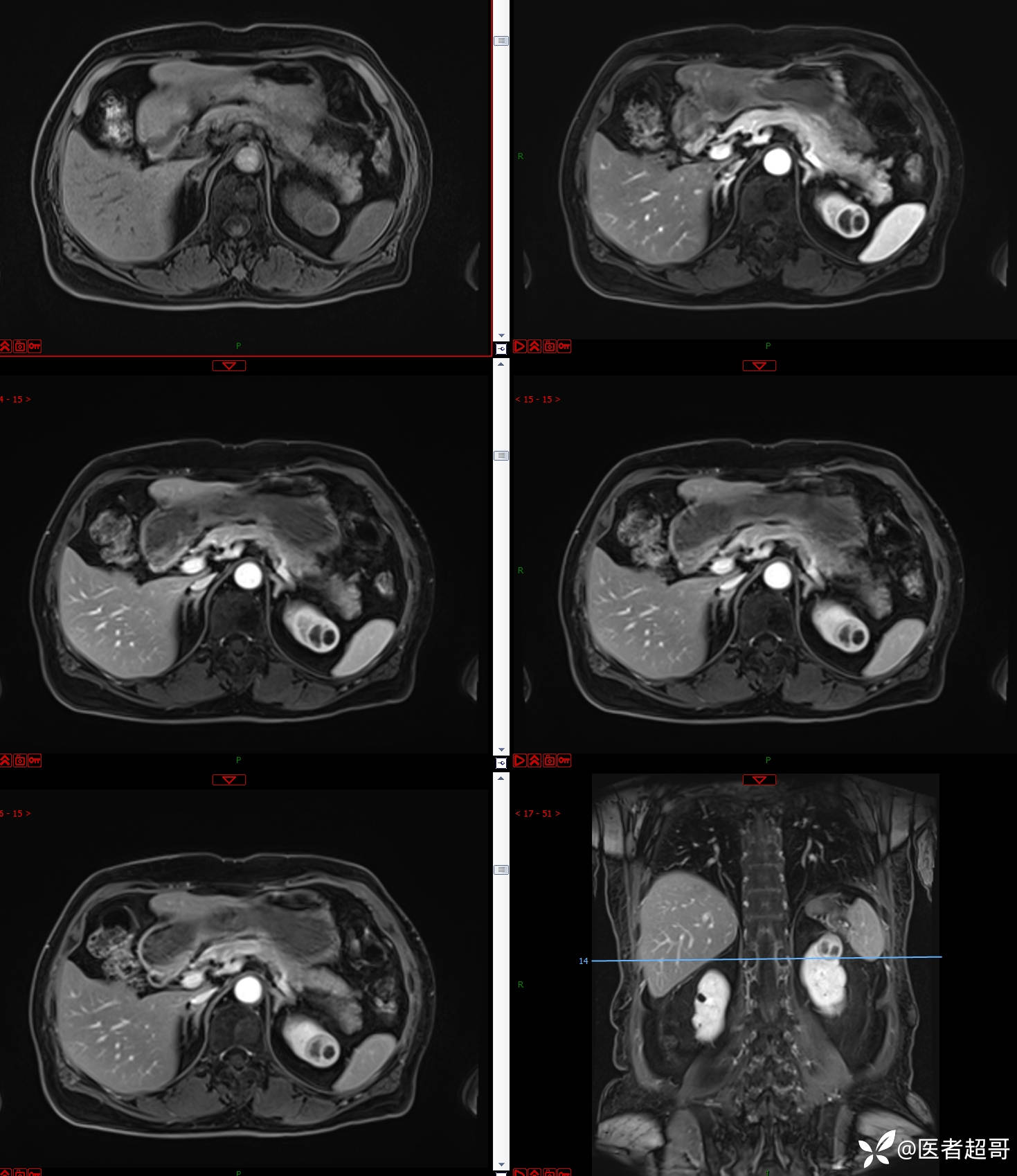
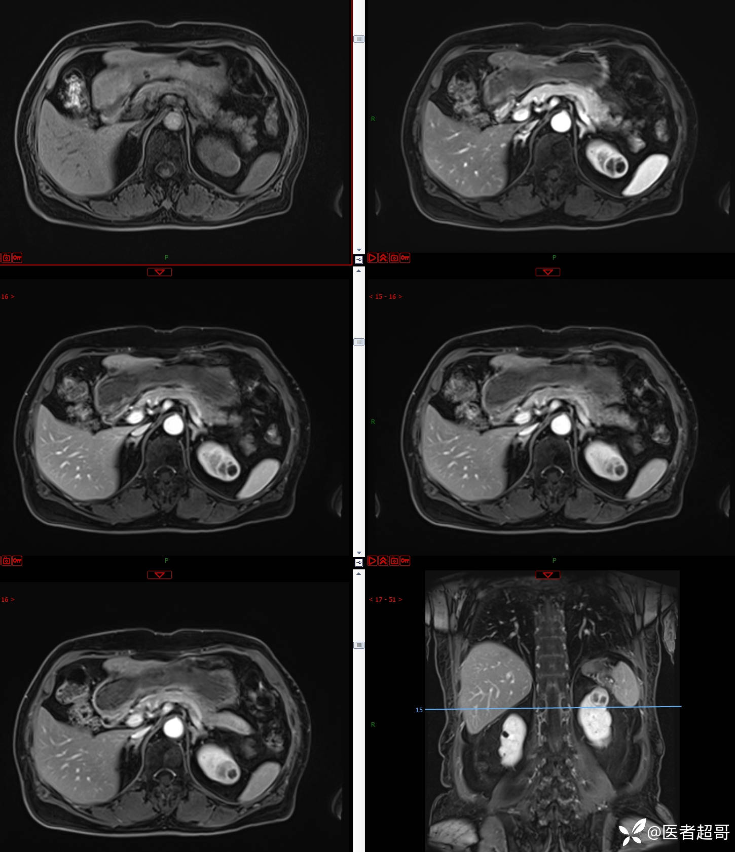
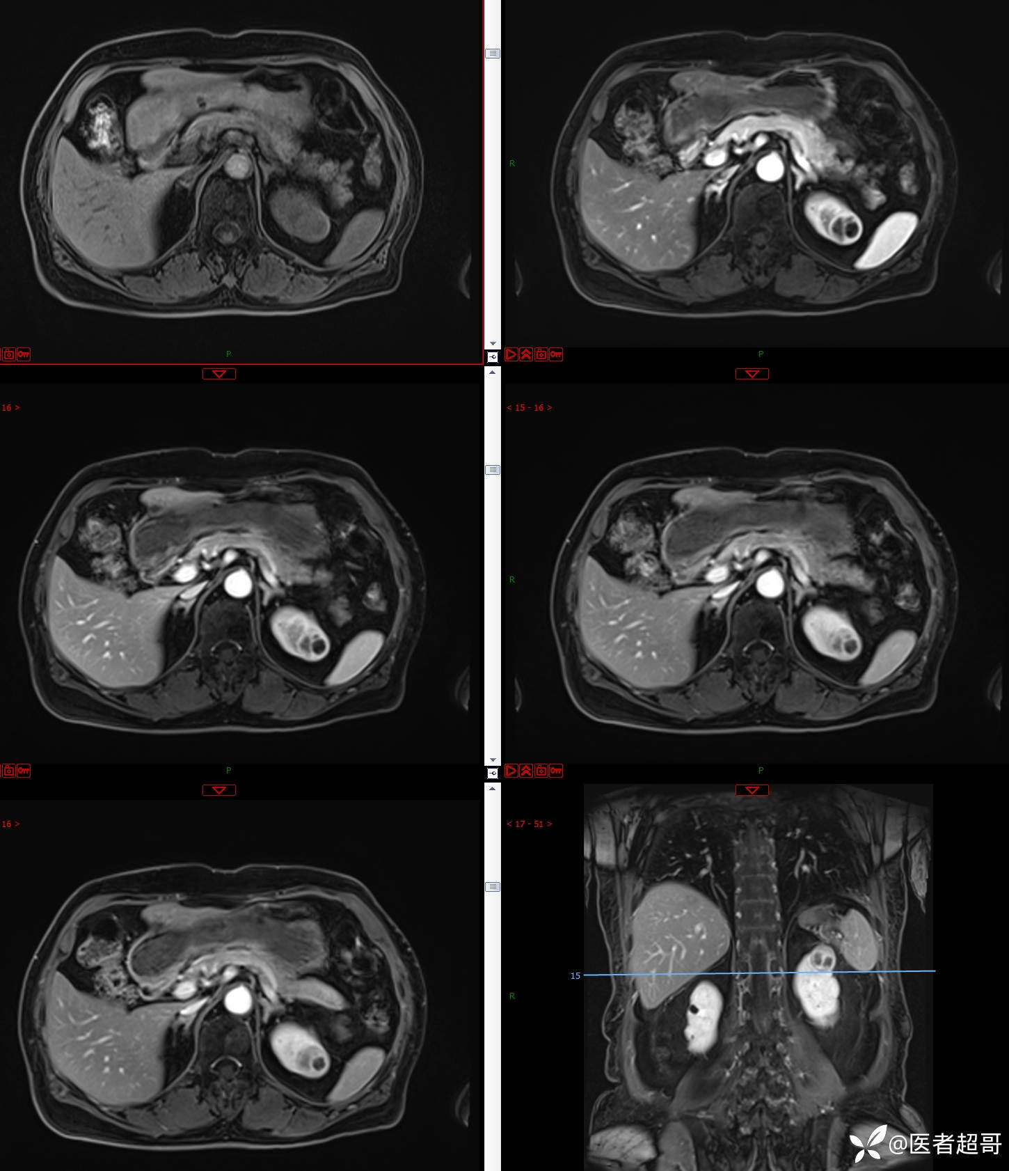
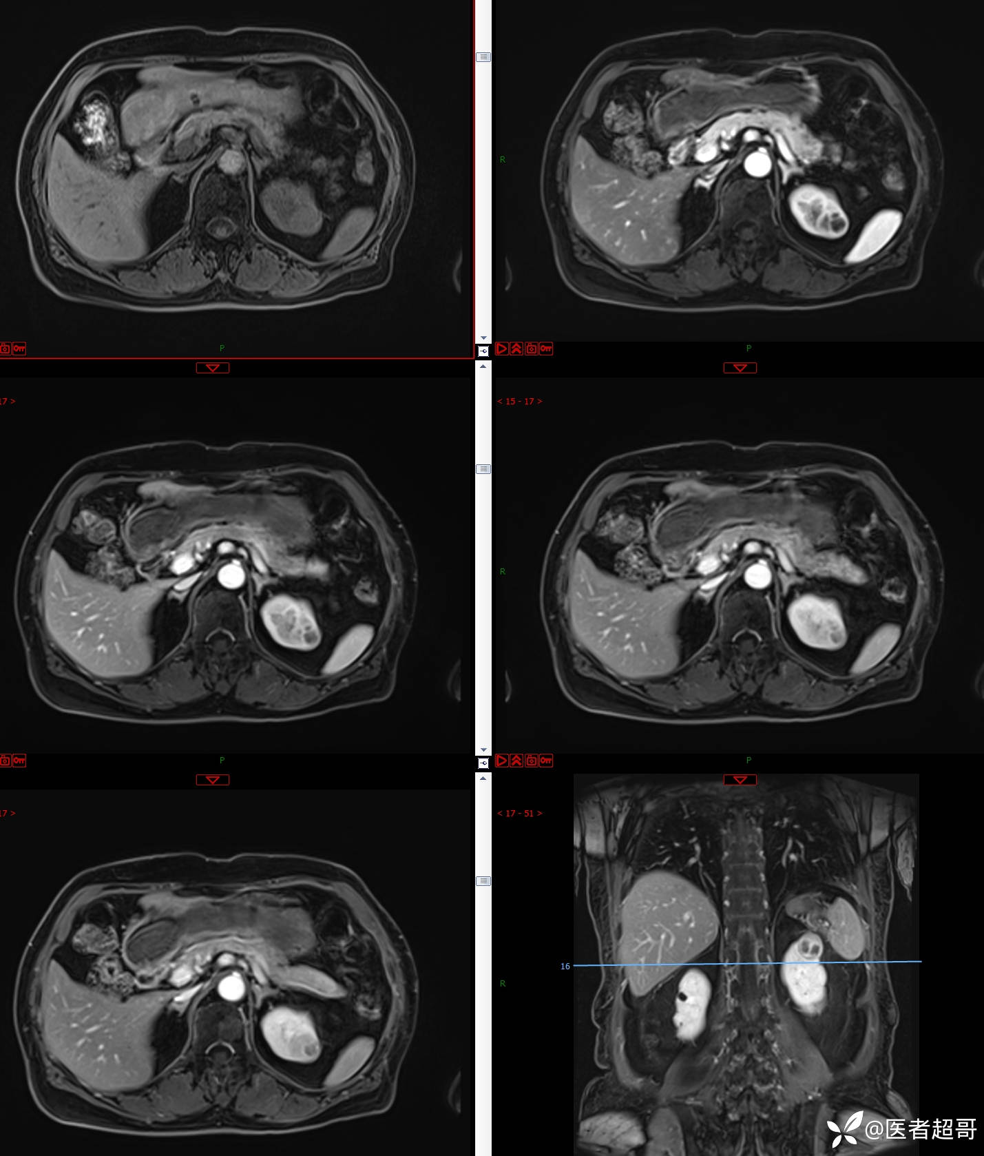
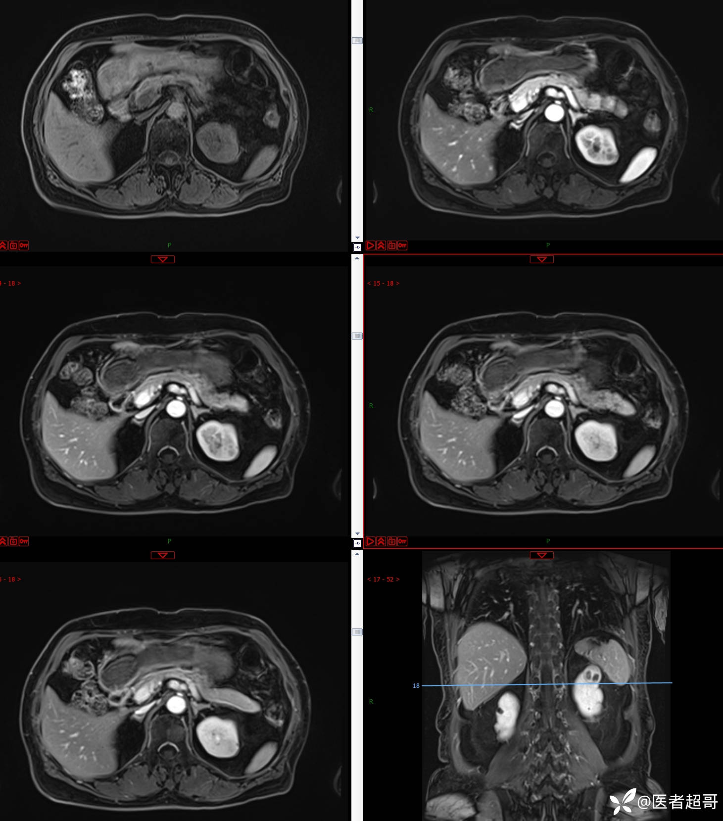
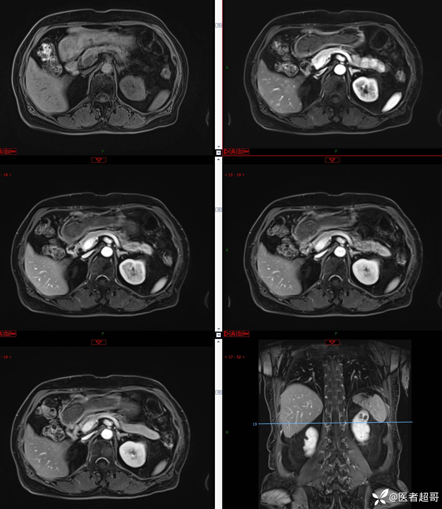
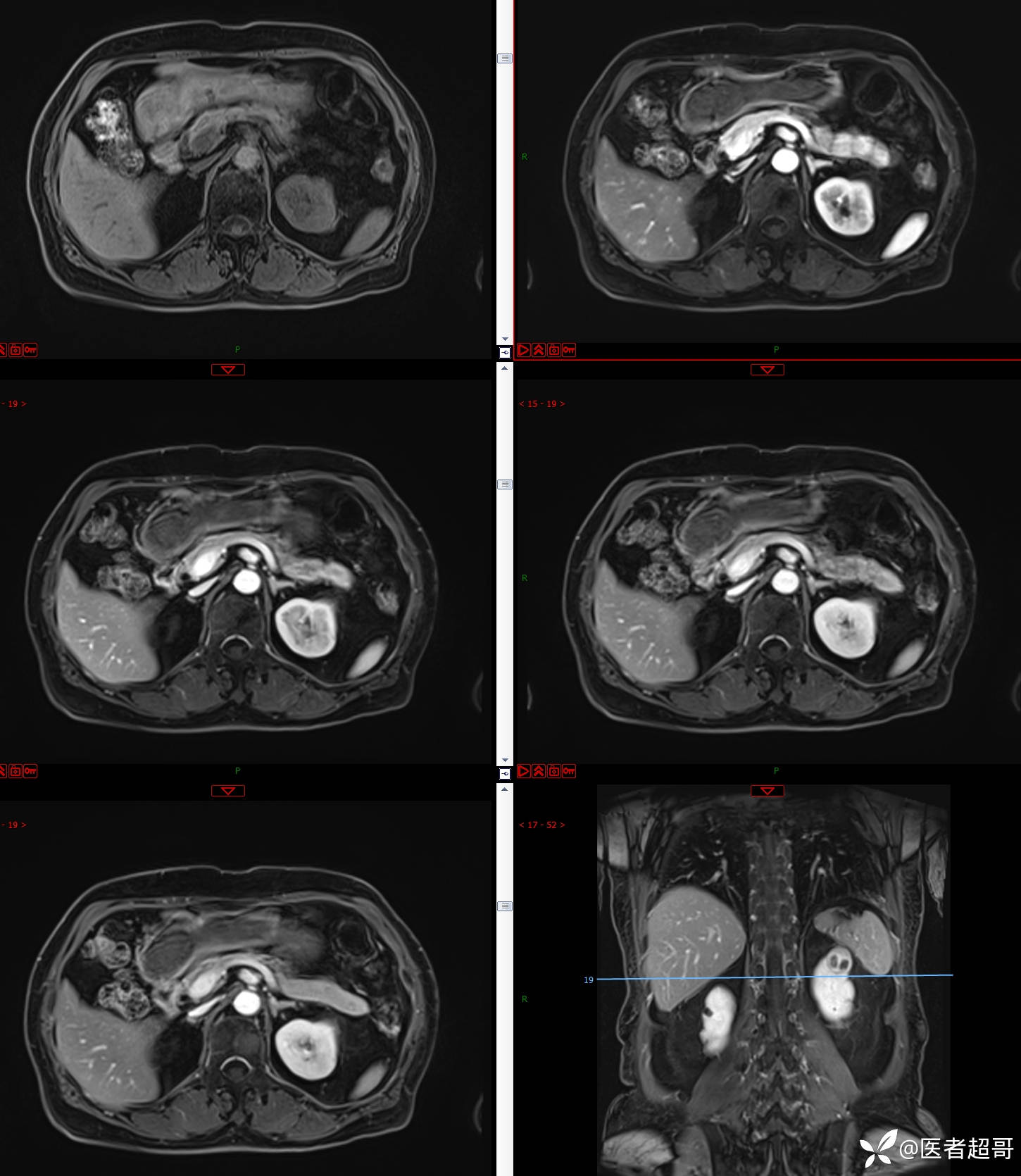
左肾占位2个月就诊,有病理,请分析!
患者 女 73岁
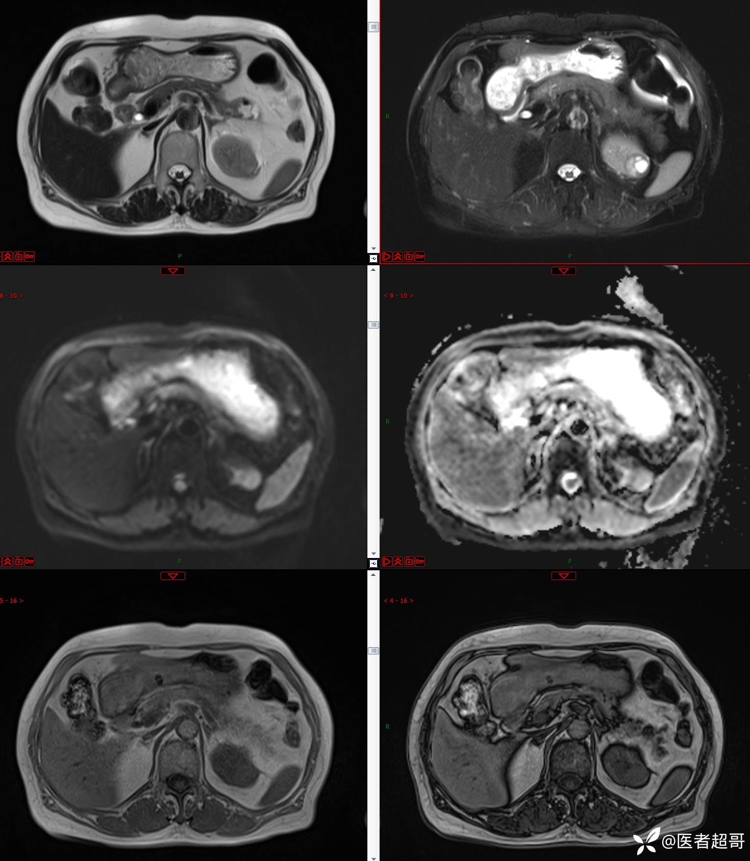
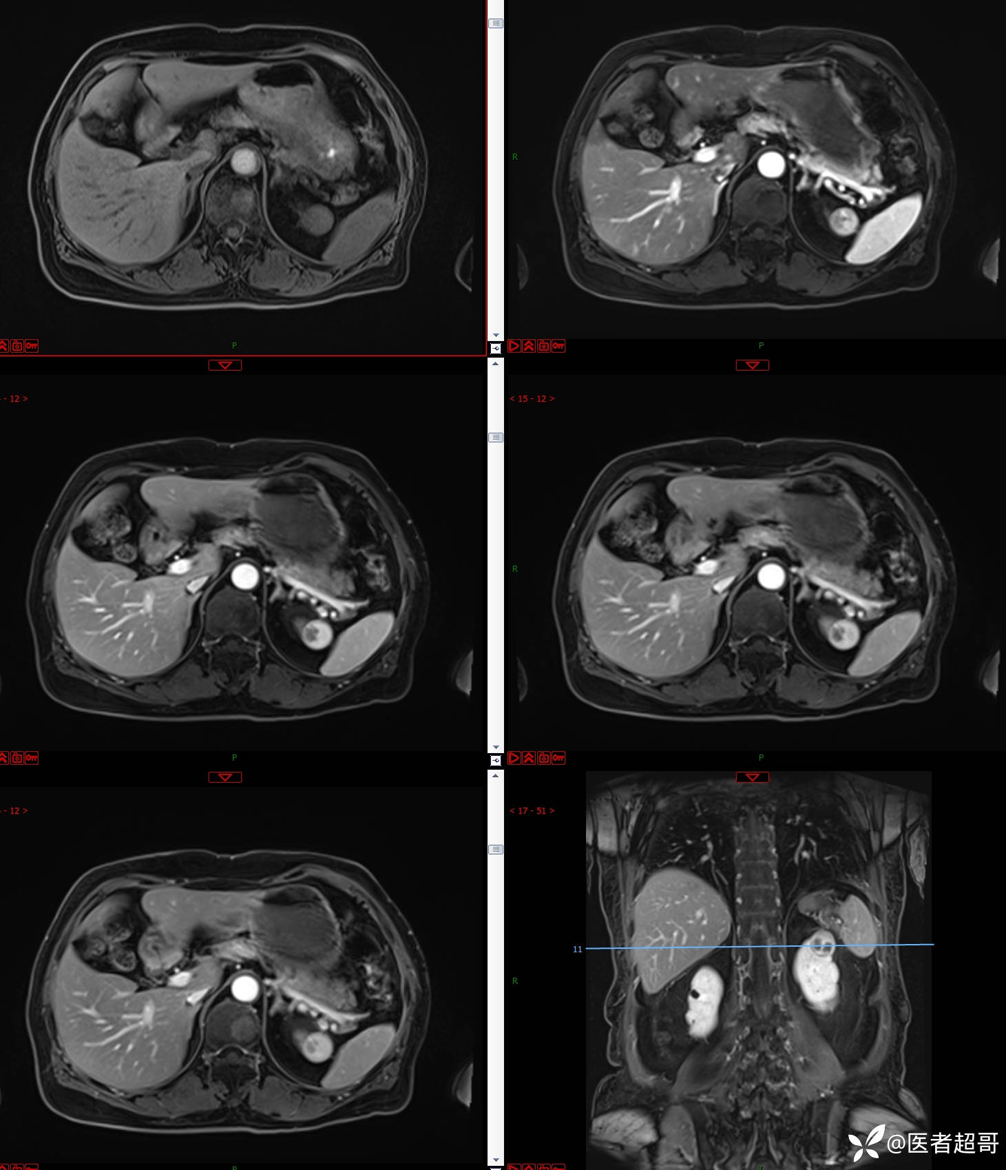
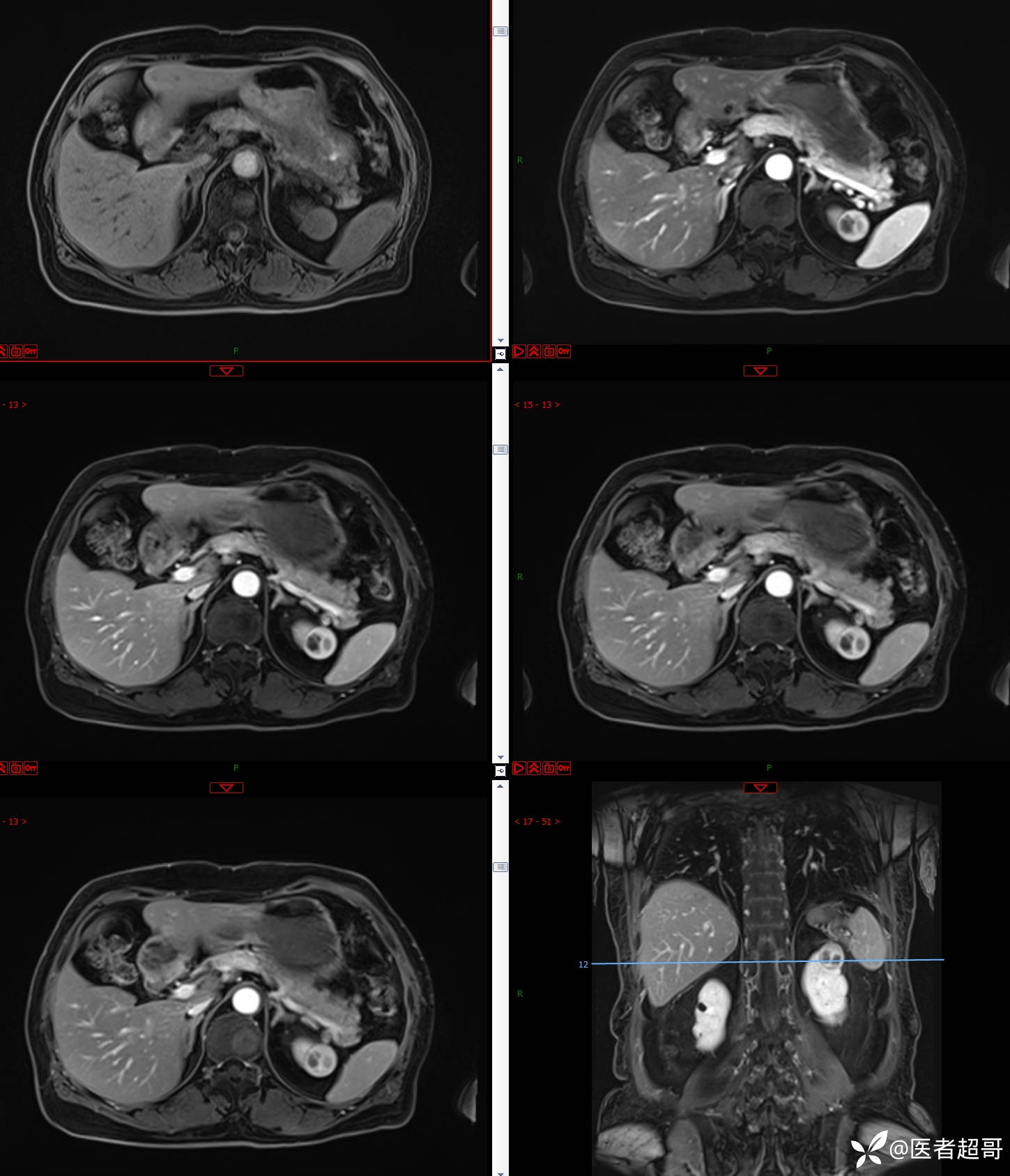
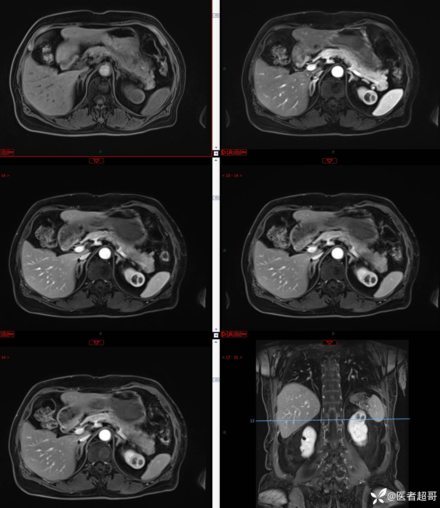
主 诉:查体发现左肾占位2月。
现病史:患者自述2月前于镇中心卫生院行腹部超声发现:左肾实性占位。患者无尿频尿急尿痛,无发热寒战,无恶心呕吐。未行特殊治疗。现患者为求进一步诊治,就诊我院,门诊以“肾肿物”为诊断收入院,患者自发病以来,神志清,精神可,饮食可,睡眠一般,大便正常,体重未见明显改变。
既往史:40余年前行输卵管结扎;20年前行甲状旁腺手术,具体不详;5年前因白内障行眼部手术;1月前因外伤致右前臂损伤;痛风5年,未规律服药。高血压25年。否认糖尿病、心脑血管病等疾病史,否认肝炎、结核或其他传染病史及密切接触史,其它无特殊。
个人史:生于原籍,否认冶游史,无职业及毒物暴露史,无烟酒、药物不良嗜好。

































































