【腹盆】特别精彩病例|体检发现左肾占位病变1周,左肾占位期待您的精彩解读
呱呱叫了 等 2 位达人已点赞患者性别:女
患者年龄:23岁
简要病史:体检发现左肾占位病变1周,无明显的症状及体征
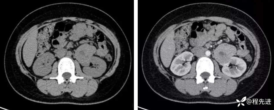
CT平扫+增强:
平扫,皮质期:

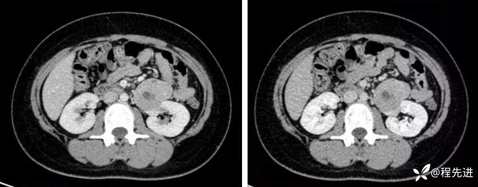
髓质期,延迟期:

MR平扫+增强:
T2:

T1同反相位:

平扫,皮质期,髓质期:

平扫,髓质期(冠状位)

期待您的精彩解读!
呱呱叫了 等 2 位达人已点赞患者性别:女
患者年龄:23岁
简要病史:体检发现左肾占位病变1周,无明显的症状及体征
CT平扫+增强:
平扫,皮质期:

髓质期,延迟期:

MR平扫+增强:
T2:

T1同反相位:

平扫,皮质期,髓质期:

平扫,髓质期(冠状位)

期待您的精彩解读!
