dxy logo
首页丁香园病例库全部版块
搜索
登录

病例【腹盆】特别精彩病例|体检发现左肾占位

影像核医学版版主 · 最后编辑于 2024-07-29 · 来自 iOS · IP 江西江西
1484 浏览
icon李梦杰huxi 等 5 位达人已点赞
这个帖子发布于 1 年零 71 天前,其中的信息可能已发生改变或有所发展。

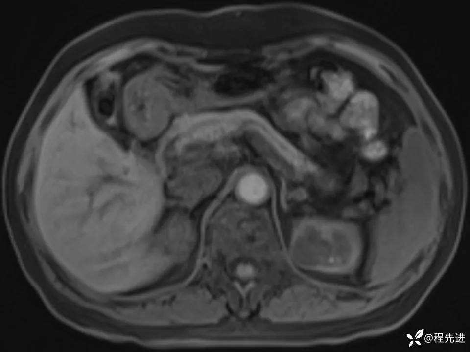
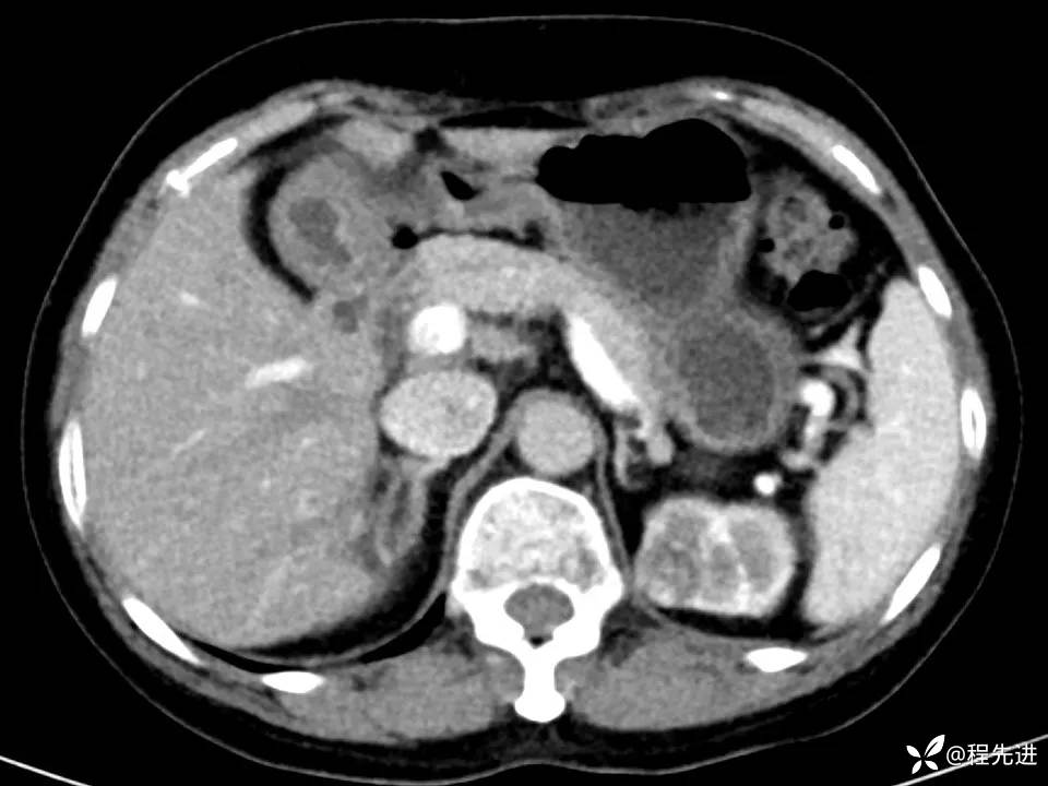
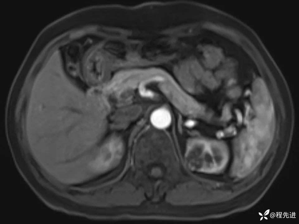
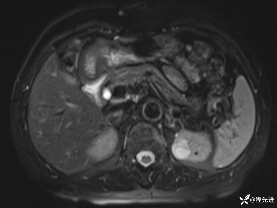
病例信息

患者性别:女

患者年龄:67岁

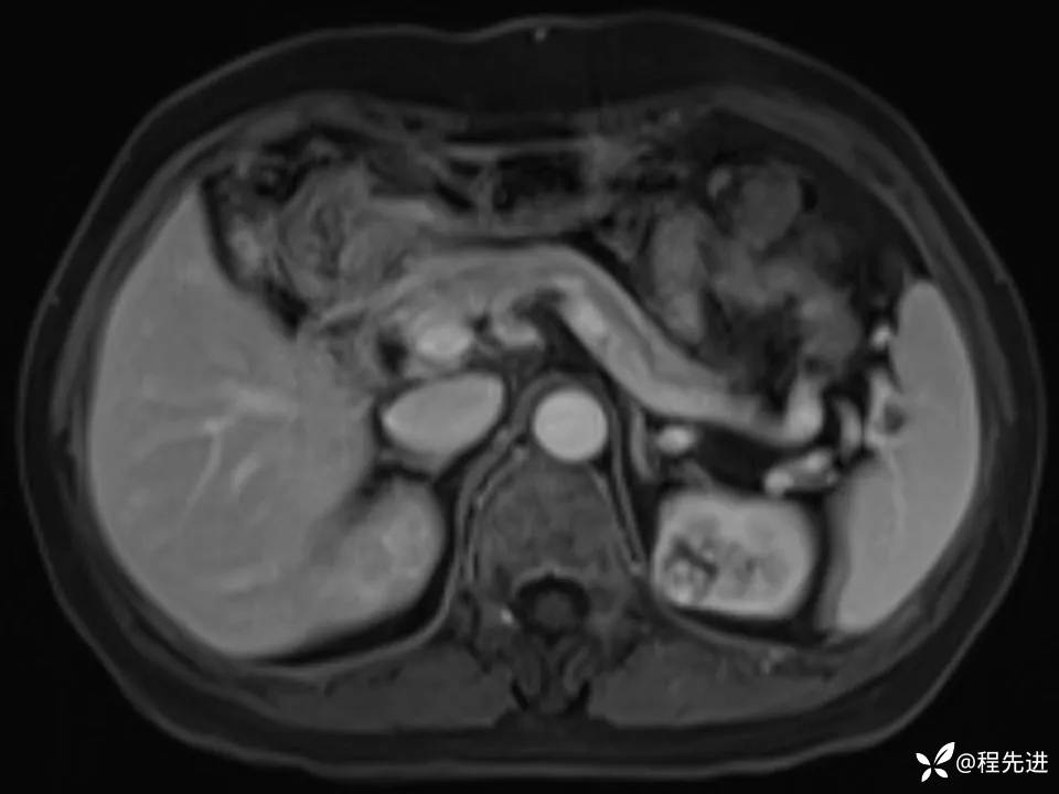
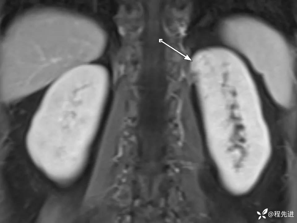
简要病史:体检发现左肾占位,无临床症状,实验室检查无殊。

CT、MRI平扫+增强:

img


img


img


img


img


img


img


img


img


期待您的点赞支持!

期待您的精彩解读!

该帖还没有疾病标签去添加
25 6 40
同行评议(0)
已评议
不开通精选
开通精选
精选已授权,待上线
评议结果暂未公布
参与评议
去邀请
NaN
病例完整NaN
临床实用NaN
诊疗科学NaN
学术价值NaN

全部讨论(0)

默认最新
avatar
25
分享帖子
share-weibo分享到微博
share-weibo分享到微信
认证
返回顶部