dxy logo
首页丁香园病例库全部版块
搜索
登录

病例39岁/女,左侧腰痛入院。腹腔囊实性肿块,定位、定性---结果公布~

影像核医学版版主 · 最后编辑于 2024-08-23 · 来自 Android · IP 湖北湖北
1534 浏览
icon谜影寻踪-udwen 等 2 位达人已点赞
这个帖子发布于 1 年零 66 天前,其中的信息可能已发生改变或有所发展。

病例信息

性别:男

年龄:39岁

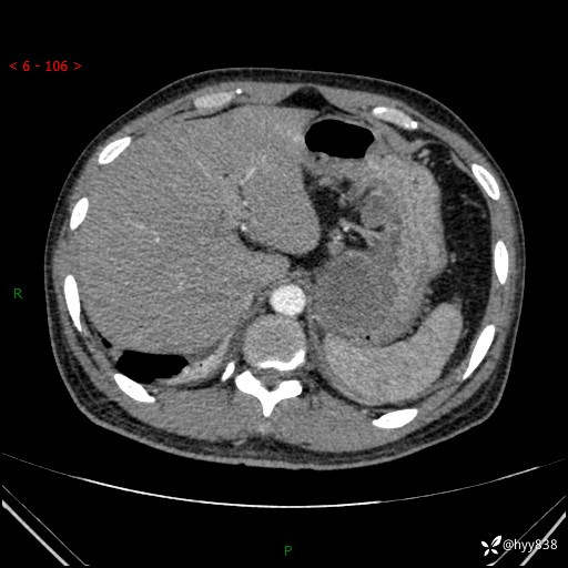
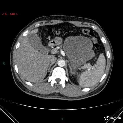
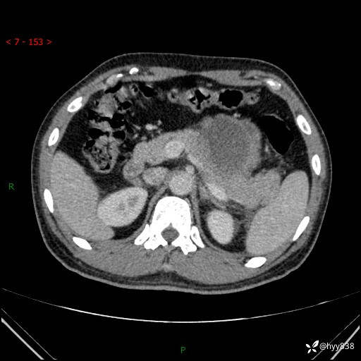
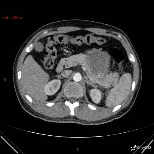
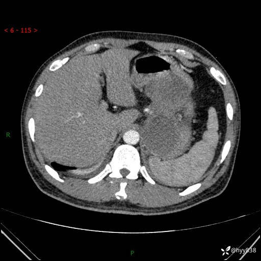
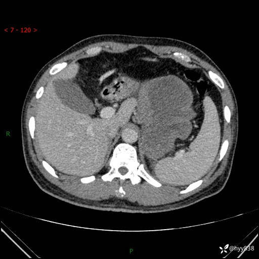
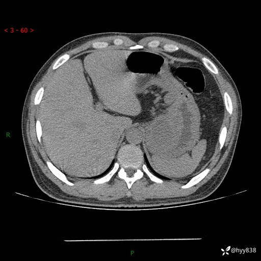
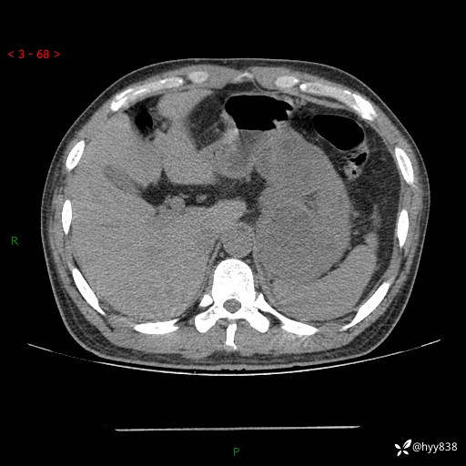
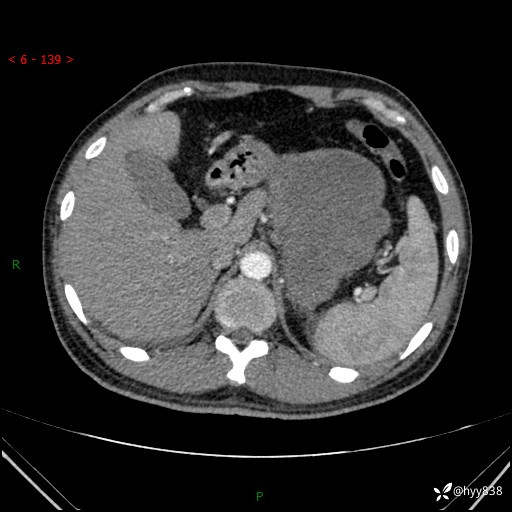
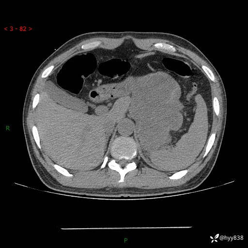
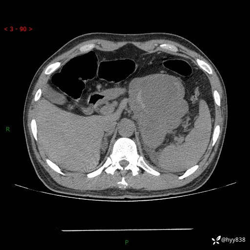
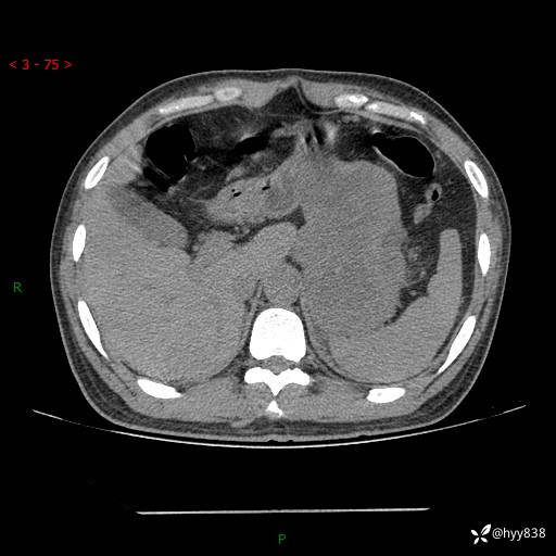
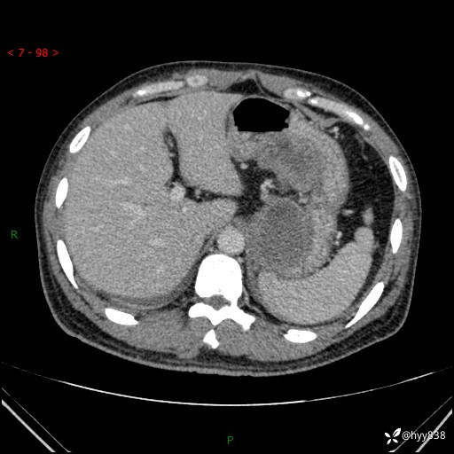
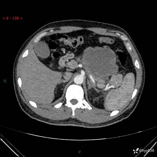
简要病史:左侧腰痛待查,CT发现腹腔占位

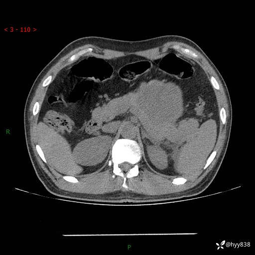
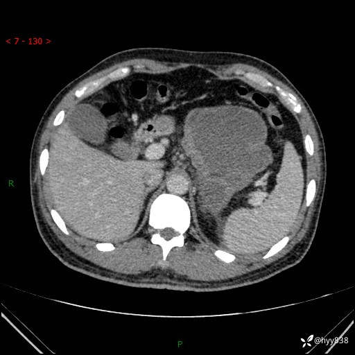
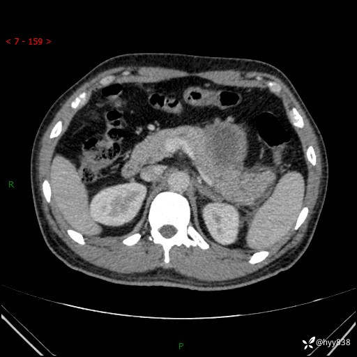
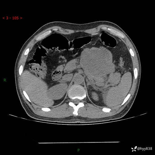
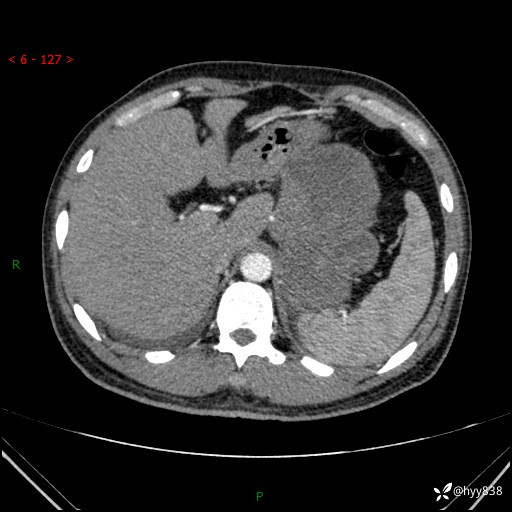
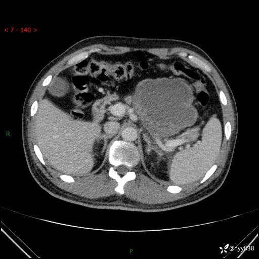
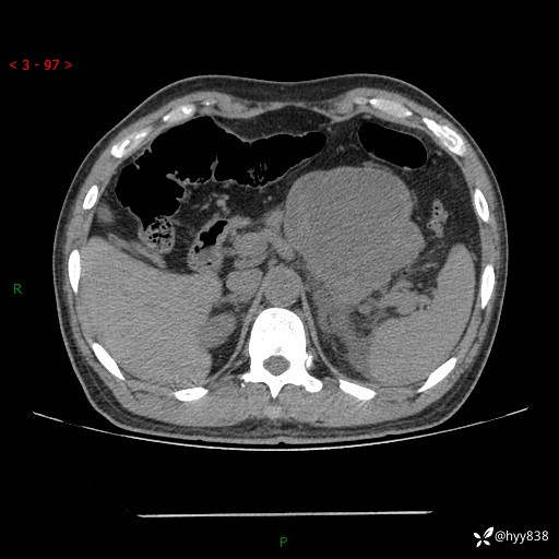
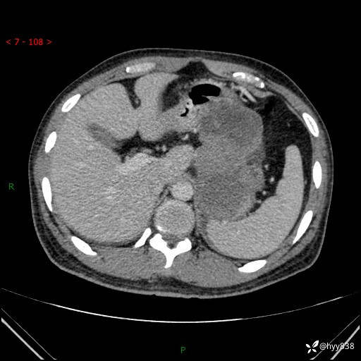
腹部CT平扫+增强

img


img


img


img


img


img


img


img


img


img


img


img


img


img


img


img


img


img


img


img


img


img
肾肿瘤 (62)
纠错
34 4 26
同行评议(0)
已评议
不开通精选
开通精选
精选已授权,待上线
评议结果暂未公布
参与评议
去邀请
NaN
病例完整NaN
临床实用NaN
诊疗科学NaN
学术价值NaN

全部讨论(0)

默认最新
avatar
34
分享帖子
share-weibo分享到微博
share-weibo分享到微信
认证
返回顶部