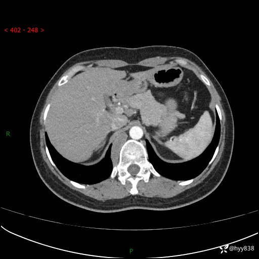
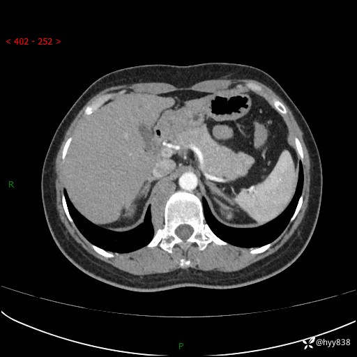
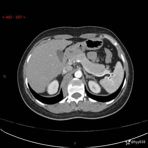
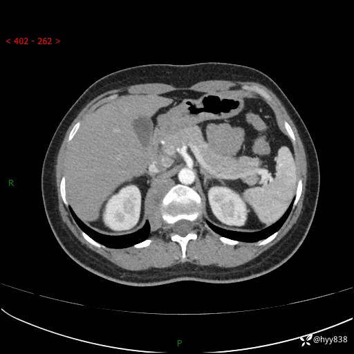
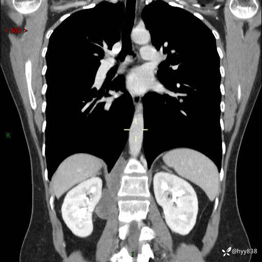
现在都流行跨界,病变也不例外,从腹膜后长到胸腔了---结果公布~
胡志勇HZY 达人已点赞患者性别:女
患者年龄:35岁
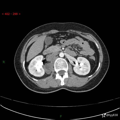
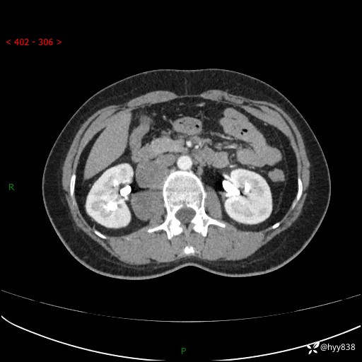
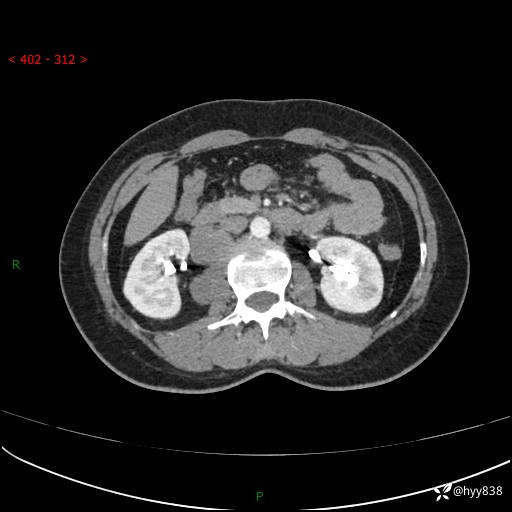
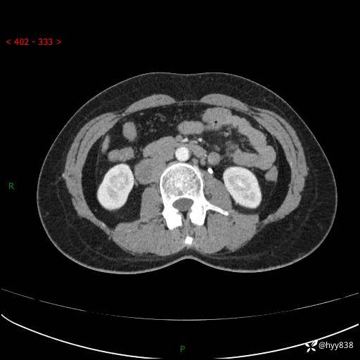
主诉:体检发现右侧腹膜后肿物1天
简要病史:患者于1天前因体检发现右旁肾占位,无肉眼血尿,无畏寒发热,无咳嗽咳痰,无腰腹部疼痛不适,无尿频尿急症状,起病来,患者未行特殊治疗,为求进一步诊治,门诊以"右侧腹膜后肿物"收治入院。 发病来患者精神、饮食、睡眠良好,小便如上,大便正常,体重无明显变化。
体格检查:(-)
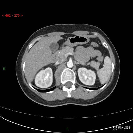
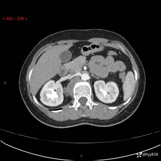
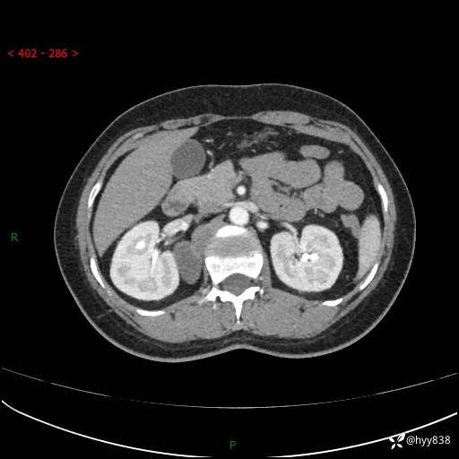
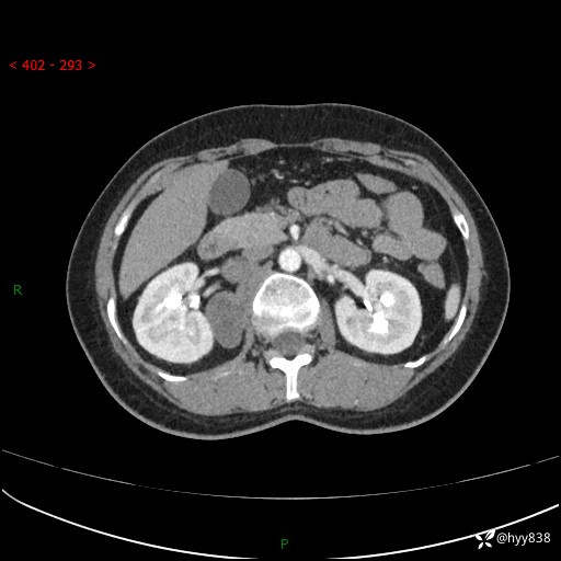
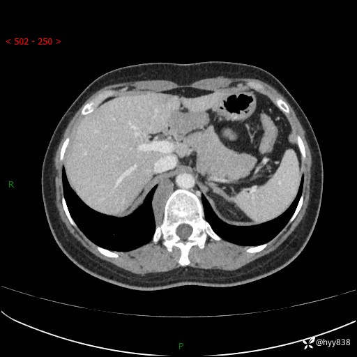
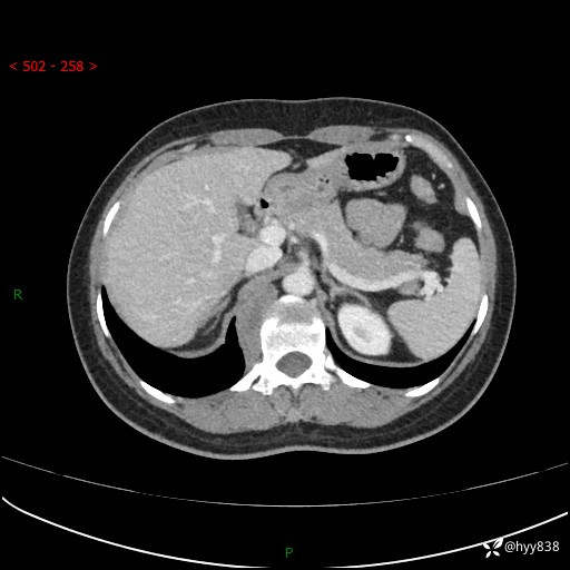
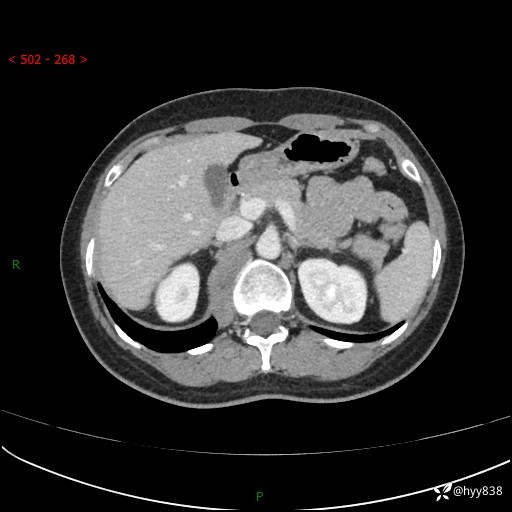
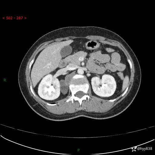
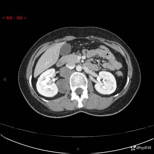
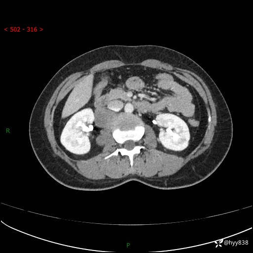
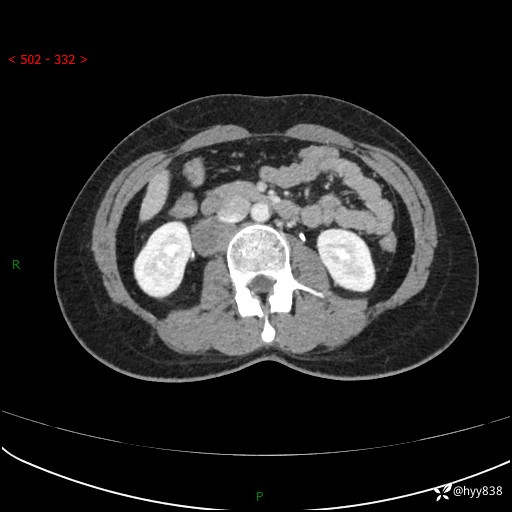
辅助检查:CT
临床诊断:腹膜后肿物
治疗经过:手术
讨论:病变性质?
上腹部CT增强(动脉期+实质期)(外院平扫)



































































