腹膜后少见疑难病例,请注重细节分析---结果公布~
患者性别:女
患者年龄:60岁
简要病史:外院CT提示覆膜后占位,为进一步诊治来我院。
体格检查:(-)
辅助检查:CT
临床诊断:腹膜后占位
治疗经过:手术
讨论:病变性质?
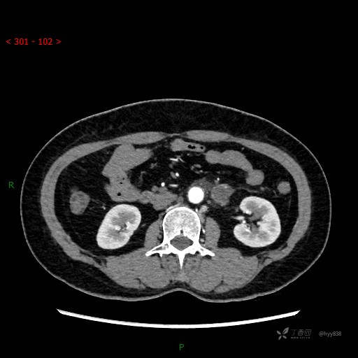
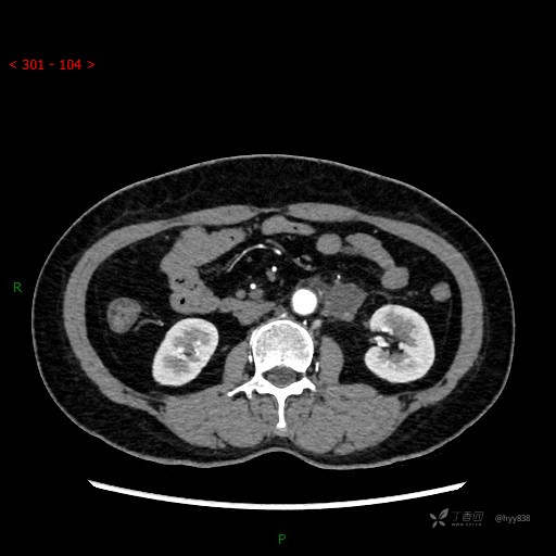
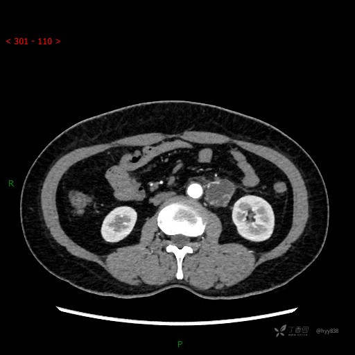
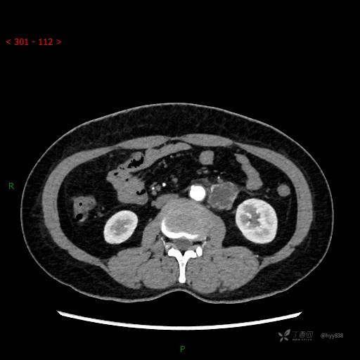
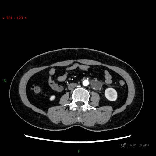
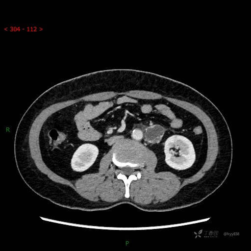
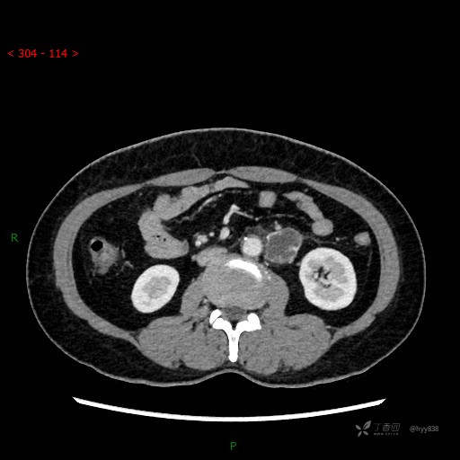
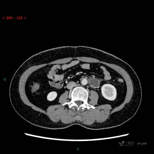
增强动脉期











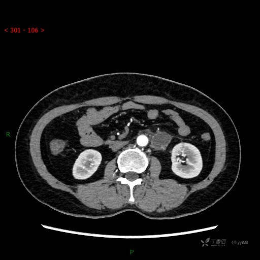
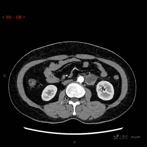
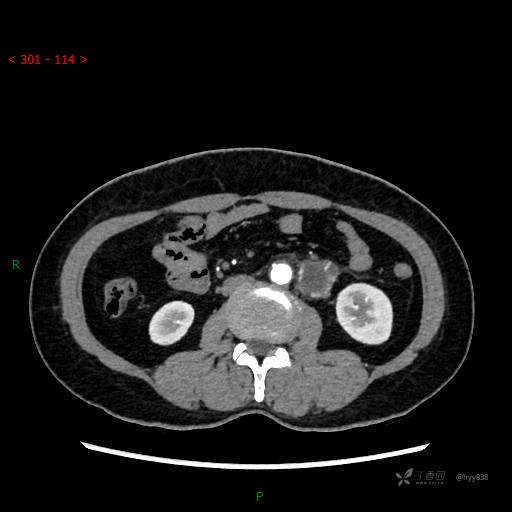
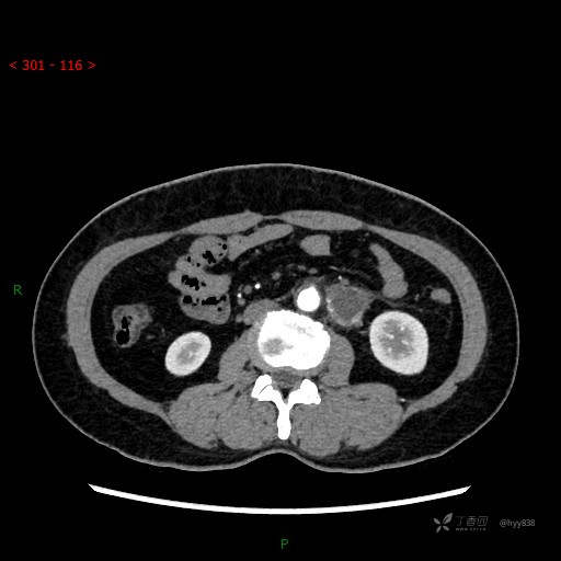
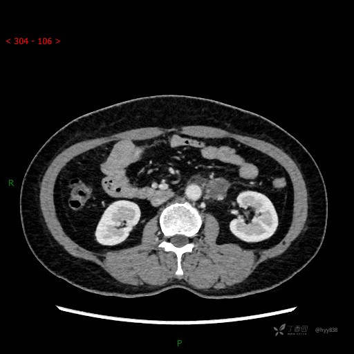
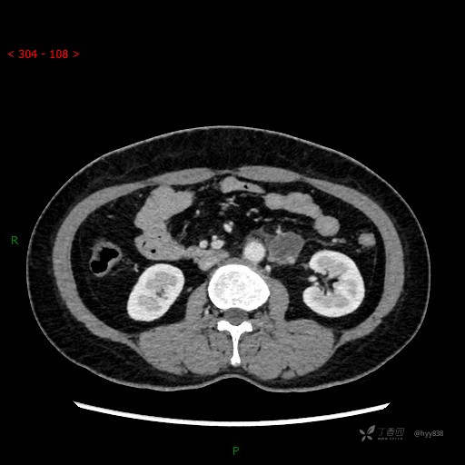
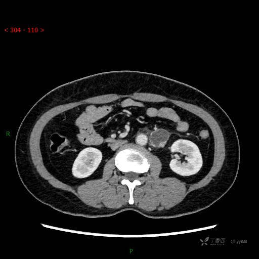
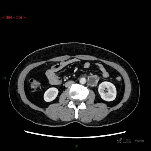
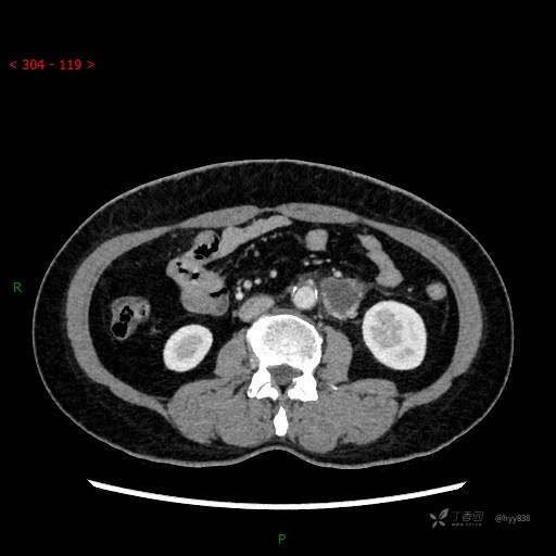
静脉期








CT平扫是外院的,因图像质量原因,不方便上传!
患者性别:女
患者年龄:60岁
简要病史:外院CT提示覆膜后占位,为进一步诊治来我院。
体格检查:(-)
辅助检查:CT
临床诊断:腹膜后占位
治疗经过:手术
讨论:病变性质?
增强动脉期











静脉期








CT平扫是外院的,因图像质量原因,不方便上传!
