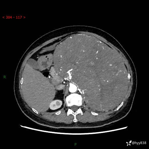
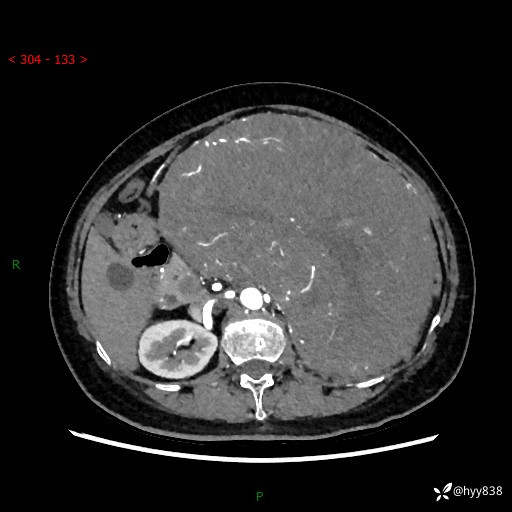
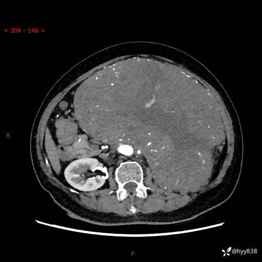
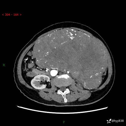
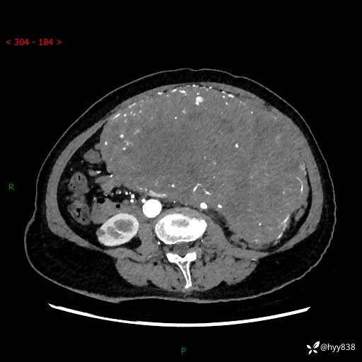
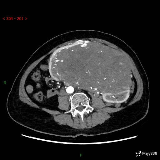
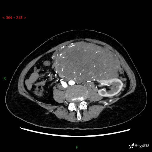
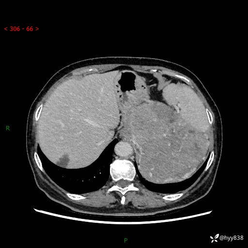
据说只有腹膜后,才能见到如此巨大的肿块---(有结果)
患者性别:女
患者年龄:66岁
主诉:发现腹膜后占位1周
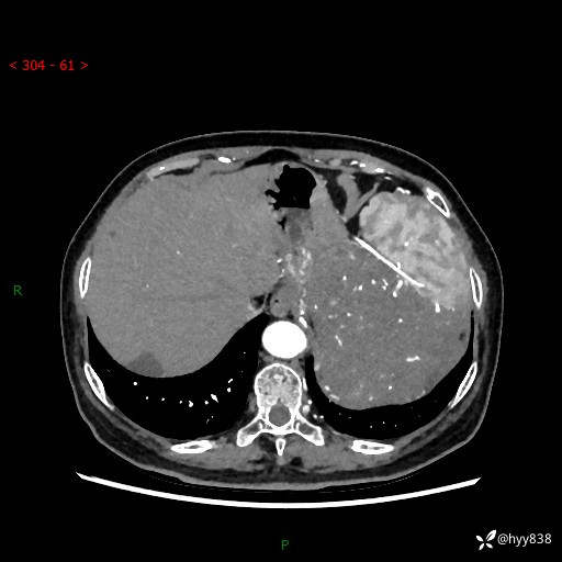
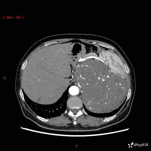
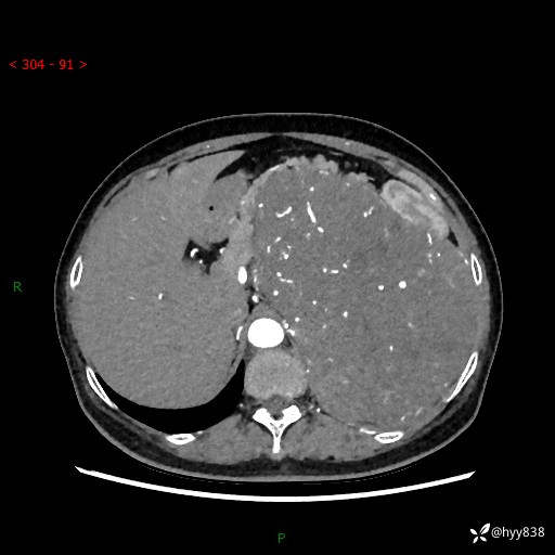
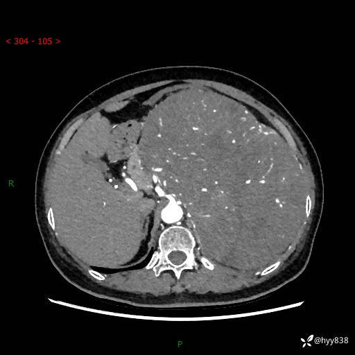
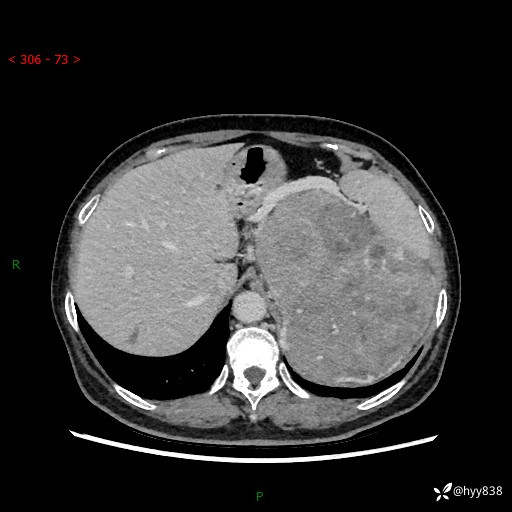
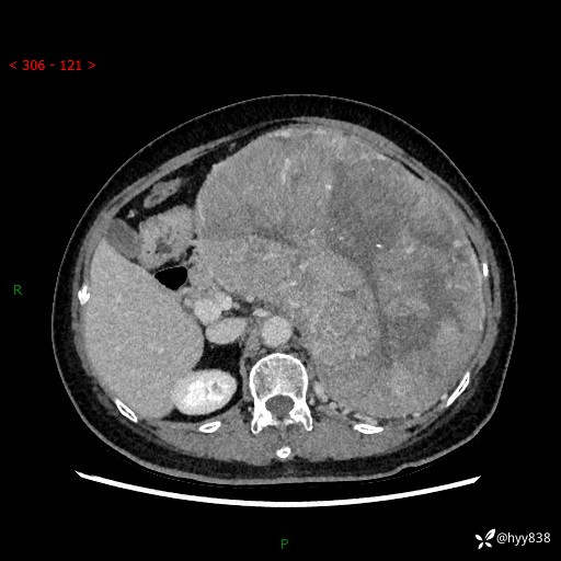
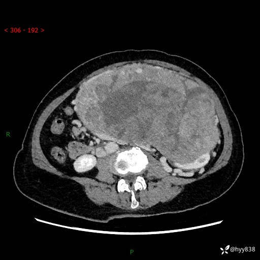
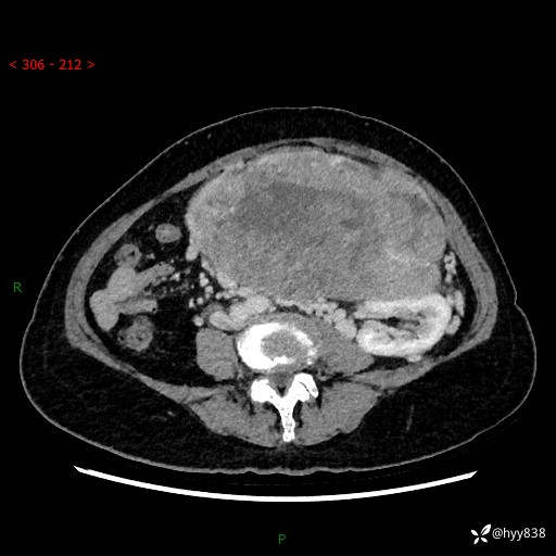
简要病史:患者1周前因头晕在当地第二人民医院检查发现左侧腹膜后区巨大富血供占位性病变,患者自诉腹部稍硬,无其他不适,无血尿,无腰痛等不适,患者为求进一步治疗来我院,门诊以“腹膜后占位性病变”收入我科。 起病以来,患者精神、饮食、睡眠可,大便正常,小便如上述,体力体重无明显改变。
体格检查:(-)
辅助检查:CT
临床诊断:腹膜后占位
治疗经过:手术
讨论:病变性质?
腹部CT增强(动脉期+静脉期 ) ---平扫外院



































































