笔记{腹膜和肠系膜病变汇总}
腹膜和肠系膜的原发性和继发性疾病
腹膜是腹腔内衬的浆膜,与腹腔内脏具有复杂的解剖关系:形成潜在空间、韧带、肠系膜和大网膜。
涉及腹膜的病理过程大致可分为非肿瘤性(炎症性、感染性、反应性);肿瘤样或类肿瘤,以及肿瘤性(原发性和继发性)。
虽然其中某些病变可以通过影像学确诊(例如,腹膜包涵体囊肿、脾种植、大网膜梗死、子宫内膜异位症),但许多其他病理可能构成诊断挑战(例如,炎性假瘤、孤立性纤维瘤、肉芽肿性腹膜炎、腹膜癌)。一般来说,局灶性疾病无症状,弥漫性疾病可能表现为非特异性特征,如腹胀、腹痛或体重减轻。
了解这些病变的病因和影像特征有助于在适当的临床环境下提供正确的影像诊断。
解剖因素Anatomical considerations
腹膜是一层巨大的浆膜,包裹着腹腔和腹部内脏。腹膜的目的有两个;第一个是提供一个润滑的表面(通过分泌少量的无菌液体,这也是局部的细菌防御),在这个表面上,内脏可以无摩擦地移动,第二个是作为液体运输的管道。腹膜腔液体的清除是通过持续的循环(被认为是由于呼吸过程中腹内压力和肠道蠕动的持续变化)到横隔膜下空间,从那里淋巴清除主要通过膈下间皮下淋巴管发生。这一机制也导致肿瘤可以沉积到某些部位,如肝顶(膈膜下区域)、结肠旁沟和盆腔的附属部分。
腹膜腔是包裹腹部脏器(器官)的内脏腹膜与壁层腹膜之间的潜在空间,并沿腹壁(前、侧、后腹壁、膈膜下表面、腹膜后脏器的前表面、盆腔)排列。男性的腹膜腔是一个封闭的囊,而女性的腹膜腔在输卵管口保持开放,允许腹膜内和腹膜外骨盆之间的沟通。
腹膜韧带、肠系膜和网膜由两层腹膜形成,其中包含穿过的血管、淋巴管、淋巴结和脂肪组织;其中的大网膜是由四层腹膜形成。

韧带和肠系膜是疾病过程的边界和通道;
腹膜腔由两个主要空间组成,即大囊和小囊(胃后面和胰腺前面的潜在空间),它们通过网膜孔(也称为winslow孔)连通。


小肠系膜是一种双层腹膜折叠,从十二指肠空肠弯曲延伸到回盲瓣,包裹并悬吊肠道。大网膜是位于小肠前面的大腹膜皱褶,从胃和十二指肠近端垂下,然后再次上升,插入横结肠的前上侧,形成四层胃结肠韧带。小网膜从肝脏延伸至胃小弯和十二指肠近端,由肝十二指肠和肝胃韧带形成,并形成小囊的前内侧边界。
腹膜腔可被横结肠及其系膜分为两个主要腔室:结肠上区和结肠下区。

备注:上图1,2的英文标注不对,应该是肝上间隙(suprahepatic space)
结肠上区又称膈下间隙Subphrenic space 为膈与横结肠及系膜之间的区域,由于肝的存在划分为肝上间隙与肝下间隙。


肝上间隙借镰状韧带分左右肝上间隙;左肝上间隙又借左冠状韧带分前后两部分;
冠状韧带两层间的裸区与膈之间称膈下腹膜外间隙,此间隙主要位于右肝后方。
右冠状韧带分上下两层,左冠状韧带分前后两层。右肝上间隙、下间隙之间隔着右冠状韧带;
肝下间隙借镰状韧带、肝圆韧带划分左肝下间隙与右肝下间隙。左肝下间隙借小网膜分左肝下前间隙与左肝下后间隙(网膜囊)右肝下间隙亦称为肝肾隐窝;介于肝右叶脏面腹膜与右肾、肾上腺表面腹膜之间,上界为右冠状韧带之下层,通过网膜孔与左肝下后间隙交通,并向下与结肠下区之右结肠旁沟相通。结肠下区为横结肠及其系膜与盆底上面之间的区域,包括左右结肠旁沟,左右肠系膜窦四个间隙。肠系膜窦又称为结肠下间隙。

腹膜疾病分类Classification of peritoneal disease


一 非肿瘤
硬化性肠系膜炎
一种特发性肠系膜疾病,以慢性非特异性炎症为特征,表现为肿瘤样肿块。最近发现与IgG4相关的硬化性疾病有关。硬化性肠系膜炎可以根据组织学特征和主要组织类型进行亚型划分,其中肠系膜脂膜炎表现为脂肪增生是慢性炎症的较轻形式,而更多的慢性收缩性肠系膜炎以软组织和纤维化为主要成分。
超声可显示病灶区域回声增强,伴有后方声影。
CT 诊断标准:肠系膜根部孤立、边界清晰、高于正常腹膜后脂肪密度的不均匀混杂脂肪密度肿块,包绕肠系膜血管但不侵犯血管,可推移周围肠袢但不侵犯肠壁。
病例在随访中CT 表现是稳定、无明显变化的,少数病例会部分或完全吸收或出现进展,因此本病被认为是一种呈良性发展的病变,预后良好。
CT 征象主要有:
(1) 起自肠系膜根部沿肠系膜血管向腹部延伸、边缘清晰、密度不均匀的脂肪密度片状影或肿块影,其长轴多数自肠系膜根部指向左腹部空肠,CT 值高于腹膜后正常脂肪组织,增强扫描前后密度变化不明显。病变包绕肠系膜血管,所包绕的肠系膜血管可因充血或血栓形成而出现增多、增粗,但不侵犯血管壁。肿块边缘清晰,周围肠袢可被推移但不被侵犯。
(2) 肿块内可见圆形或椭圆形软组织密度结节影,结节影的形成机制及病理基础可能与肠系膜淋巴结增大或炎性增殖灶有关。
(3)“假包膜征”,肿块周围可见厚度约2 ~ 8 mm 的软组织密度带称“假包膜征”,是肠系膜炎症与周围正常脂肪组织的分界,代表炎症的一种自限性反应,肿块前方及后方包膜较厚,肿块右侧包膜较薄,部分病例可缺如,包膜随着肿块向左腹部延伸,可达肠袢。
(4)“脂环征”,在肿块包绕的肠系膜血管及肿块内结节周围可见环状低密度影包绕,代表在血管和结节周围残存的正常脂肪组织,称为“脂环征”。
(5) Lawler 等报道 肿块内可见钙化、囊变。
(6) 病灶的变化,多数情况下比较稳定,数月或数年无明显变化,少数病例肿块的大小、密度、包膜厚度等方面可出现改变

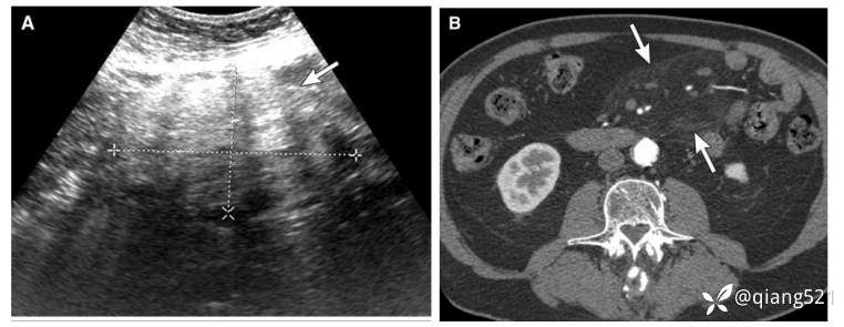
65岁男性,肠系膜脂膜炎。中腹部B超显示边界不清(箭头),轴位增强CT显示模糊的肠系膜脂肪伴小结节。

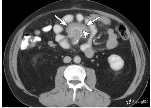
52岁男性,患有硬化性肠系膜炎。轴位增强CT显示小肠肠系膜内一分叶状软组织肿块(箭头)伴微小钙化灶(箭头),图像引导活检证实为慢性炎症。
大网膜梗死
大网膜梗死是急性右下腹疼痛的罕见原因,有时与急性阑尾炎或胆囊炎难以区分。
大网膜梗死是由于血管受损而发生的,血管受损可能是由于扭转、腹部创伤或之前的手术造成的。
在CT上,网膜梗死表现:右腹横结肠或升结肠旁可见界限不清或界限清楚的灶性脂肪密度,周围有高密度环。当病因是扭转时,同心旋涡的外观可能很明显; 此病是自限性过程,大部分保守管理。
鉴别诊断为急性肠脂垂炎acute epiploic appendagitis,其大小通常小于网膜梗死,邻近结肠的卵圆形脂肪密度病变(通常位于左侧,并累及乙状结肠),周围有高密度环和中心高密度点(血栓形成的血管蒂)。

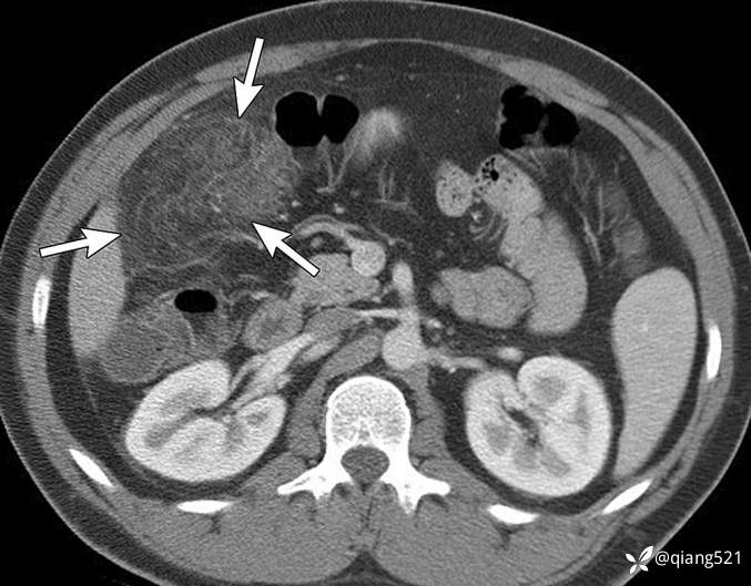
48岁男子,患有网膜梗死;对比增强CT显示网膜脂肪滞留、血管聚集和螺纹外观的局灶性区域(箭头)
炎性假瘤 Inflammatory pseudotumor
这是一种少见的良性炎症过程,主要见于儿童和年轻人,组织学上由淋巴细胞、浆细胞、成纤维细胞梭形细胞和胶原蛋白组成。致病因素从创伤或术后炎症到免疫调节过程(包括与IgG4相关的硬化性疾病)。CT显示边界清楚或浸润性边界不清的肿块,伴有微小的钙化,显示多样的增强方式。治疗通常手术切除,因为经皮活检通常没有帮助。

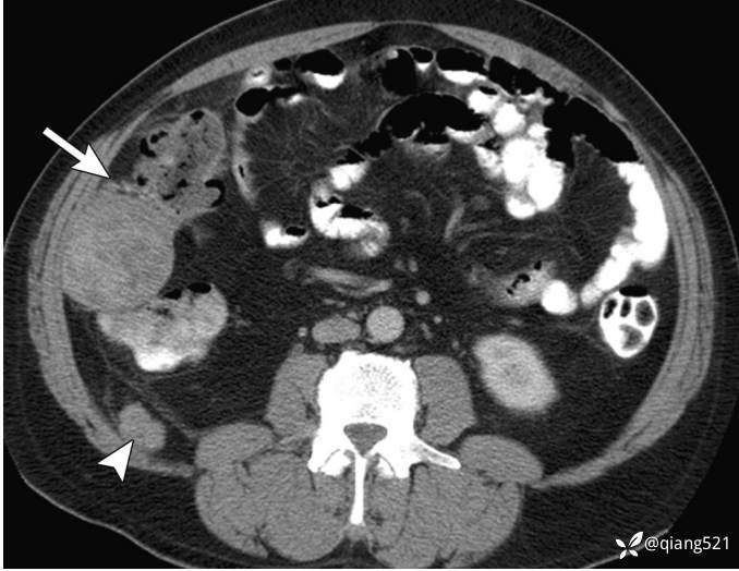
50岁男性,活检证实为炎性假瘤。CT显示右下腹有一个不均匀的肿块(箭头),右后肾旁间隙有一个软组织结节(粗箭头)。
淋巴管瘤 Lymphangioma
囊性淋巴管瘤是淋巴管的良性增生。组织学上,这些是薄壁的互通性囊肿,含有乳糜、蛋白质、浆液或出血性液体。虽然常见于儿童和年轻人的颈部或腋窝(称为水囊瘤),但也可见于肠系膜。超声显示无回声至低回声的多房性或多间隔囊性肿块,有时伴有钙化。CT显示囊性肿块,可能相对单一,也可能有内部碎片或出血。在MRI上,淋巴管瘤在T2加权像上通常表现为高信号,但在内部可见不均匀的碎片或出血。
大多无症状,通常表现为体积很大或有潜在的出血或扭转。

44岁男性,腹部淋巴管瘤。A腹部超声和B轴位CT显示腹中有一个大的复杂的多分隔/多室囊性肿块(箭头),有一些强化的间隔(箭头)。C冠状位T2WI和D冠状位增强后T1-WI显示大量囊性灶,间隔强化。手术切除证实为良性淋巴管瘤
肉芽肿性腹膜炎 Granulomatous peritonitis
这包括免疫抑制患者经常遇到的一系列炎症和感染过程,常见的感染源是结核、组织胞浆菌或肺孢子菌。它也可能是继发于异物、卵巢囊肿破裂或胆结石脱落的反应过程。有时影像学特征可能类似于腹膜癌,因此明确诊断是一个挑战。
结核性腹膜炎是一种肺外感染,通常是活动性或粟粒性肺结核血行扩散的结果。在缺乏肺结核临床特征的情况下,诊断可能很困难。在影像学上,结核性腹膜炎可表现为“湿型”,表现为明显的弥漫性或局部腹水,或“干塑型”缺乏腹水。注意到腹部淋巴结肿大、回盲部增厚、腹膜或网膜结节或肿块伴纤维瘢痕形成。在某些情况下,可能需要腹腔镜检查和活检来确认诊断。组织胞浆菌病和肺囊虫病也有类似的表现,但在影像学上无法区分。
腹部和腹膜后淋巴结肿大,中心区域坏死,肝脏或脾脏异常(肿大、局灶性病变或钙化)可能有助于与腹膜癌鉴别。

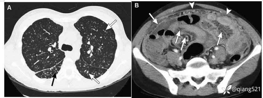
48岁妇女,患有肺结核。胸部轴位HRCT显示大量小结节(箭头),与粟粒性肺结核一致。B经下腹部的轴向CECT显示弥漫性腹膜和网膜增厚(粗箭头),肠系膜水肿/粘连(箭头)和轻度腹水(箭头),与结核性腹膜炎一致
硬化性包裹性腹膜炎(也称为硬化性腹膜炎、腹茧综合征)
这是一种常见于长期持续非卧床腹膜透析(CAPD)患者的腹膜慢性炎症反应。它也可见于脑室腹腔分流术、结核病患者以及腹膜腔内异物的反应过程。 CT显示腹水,腹膜弥漫性增厚,增强后强化。增厚的腹膜可能包裹小肠并导致梗阻。
广泛的腹膜钙化很容易在腹部平片上发现,是晚期硬化性腹膜炎的一个特征。


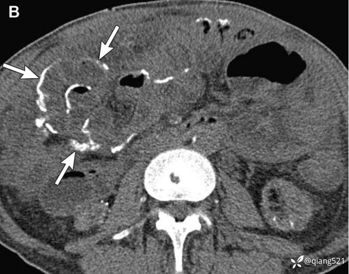
一名 60 岁男子,因长期腹膜透析而患上硬化性腹膜炎。A 腹部 X 光片显示右上腹有弧形钙化(箭头),NECT(B)检查证实内脏腹膜有钙化。同时注意到右下腹肾移植(A)的钙化(箭头所示)
二 瘤样病变
种植脾
是在创伤或手术后继发的脾包膜破裂,脾脏延腹膜内播散。相反,副脾是一种先天性的原始脾组织的不正确迁移,常出现在完整脾的附近。在这两种情况下,种植脾的功能与正常脾脏组织一样,并可能根据应激源的反应而增殖,并且在因造血功能障碍而行脾切除术的患者中可能仍然具有临床意义。种植脾通常发生在腹膜腔,但也可在沿横膈膜表面的胸腔中看到。
影像学上,种植脾表现为一个或多个清晰的圆形或分叶状软组织肿块,其衰减模式与原生脾脏相似,或脾切除术后预期的脾脏衰减。Tc-99m硫胶体核闪烁成像显示脾组织摄取增加,但偶尔会出现假阴性,在这种情况下,可以使用技术(Tc)99m标记的热损伤红细胞扫描,这被认为是确认脾副组织诊断的最敏感的测试。

一名55岁男性,患有种植脾(之前因脾损伤进行过脾切除术)。A、 B轴位未增强CT显示左上象限(脾切除床)和前腹膜(箭头)有多个软组织结节(箭头)。
热损伤红细胞扫描SPECT–CT(C,D)显示这些结节中有强烈的放射性示踪剂摄取
子宫内膜异位症
子宫内膜异位症是功能子宫内膜组织异位植入子宫外。通常,子宫内膜异位位于盆腔器官(卵巢)内,但是内脏和壁层腹膜也可累及。子宫内膜异位症常见于育龄期。患者可能没有症状,也可能出现盆腔疼痛、痛经、功能性子宫出血和/或性交痛。在患有长期子宫内膜异位症的患者中,异位内膜植入物可能会发生纤维化变和疤痕形成,并与相邻的肠袢粘连,从而导致肠梗阻。
CT 显示肠道浆膜表面有结节状或针状软组织植入物,但病因非特异性。 MRI 仍然是评估子宫内膜异位症的首选成像方式,因为它能够检测出血。
局灶性子宫内膜异位症在平扫 T1 加权图像上表现出高信号,在 T2 加权图像上表现出低信号(称为 T2 阴影,继发于脱氧血红蛋白和高铁血红蛋白等慢性降解的血液产物)。然而,这些特征可能不会在小的腹膜沉积物中出现,因为它们不会积聚大量的血液制品。
纤维化成分在 T1 和 T2 加权图像上表现出低信号,并且可能表现出延迟的对比后增强 。在不确定的情况下可能需要腹腔镜检查。

46 岁女性,经腹腔镜检查确诊为子宫内膜异位症,表现为骨盆疼痛和排便习惯改变。乙状结肠钡剂灌肠显示轻度狭窄(箭头),对应于通过骨盆的轴向 CECT 上看到的浆膜植入物(箭头)(B)
腹膜胶质瘤病
这是一种罕见的疾病,其特征是成熟的神经胶质组织腹膜植入。神经胶质组织植入的理论包括未成熟卵巢畸胎瘤破裂、脑室腹膜分流导管引起的神经胶质组织迁移以及腹膜固有组织的化生改变。组织学上成熟神经胶质组织的存在表明该组织的良性性质,具有良好的结果;尽管偶尔有恶性转化的病例报告被描述过。
腹膜胶质瘤病的影像学特征各不相同,包括软组织增厚、肿块和散布在整个腹膜的结节,并伴有大网膜结块和腹水。在 MRI 上,神经胶质组织沉积物在 T2 加权图像上被视为分叶状中等高信号强度病灶,无强化。 重点:存在卵巢畸胎瘤或既往接受过畸胎瘤切除史,可能有助于提示诊断。很难区分良性和恶性。

一例43岁女性左卵巢成熟畸胎瘤切除术后腹膜胶质瘤病。A、B经腹部的轴向CECT显示腹膜肿块样增厚(箭头)和复杂的腹腔内积液,导致肝缘呈扇形(箭头)。
腹膜包涵体囊肿(也称为良性囊性间皮瘤)
Peritoneal inclusion cyst (also known as benign cystic mesothelioma)
这些现象见于绝经前妇女,既往有盆腔手术、盆腔炎或盆腔粘连,代表非肿瘤性反应性间皮细胞增殖,导致腹膜液吸收受损,导致形成通常包裹卵巢的多腔积液囊肿。
在超声检查中,腹膜包涵体囊肿是无回声的囊性肿块,具有多个分隔/小室,后部声学增强,经常看到卵巢被包饶或与盆腔侧壁血管相互交叉。
CT和MRI显示多房囊性肿块伴单纯的液体,未见实性成分或强化。有时囊肿内可出现出血,在CT上表现为高密度,在T1和t2加权图像上表现为不均匀信号。

38 岁女性,患有腹膜包涵体囊肿。
经阴道盆腔超声彩色多普勒显示多房性无血管囊肿(箭头);卵巢与囊性结构相邻且分离。 B 轴向 CECT 显示骨盆中相应的分叶状液体密度结构(箭头)。盆腔抽吸显示单纯浆液。 UT,子宫。
三 肿瘤
原发性腹膜肿瘤
原发性腹膜肿瘤比继发性腹膜肿瘤少见得多。
原发性腹膜肿瘤可根据细胞起源在组织学上分为a)间皮细胞起源(局灶性或弥漫性间皮瘤),b)上皮细胞起源(腹膜浆液性肿瘤),c)平滑肌起源(播散性腹膜平滑肌瘤病),d) 来源不明的肿瘤(促结缔组织增生性小圆细胞瘤或孤立性纤维瘤)。
虽然大多数恶性间皮瘤发生于胸膜,但腹膜原发性间皮瘤约占 6%–10% 。石棉暴露与恶性间皮瘤已确定相关。
在CT上,弥漫性腹膜恶性间皮瘤可见片状结节状不规则增厚或强化的软组织肿块,通常伴有腹水。恶性间皮瘤可能浸润小肠系膜,导致粘连和肠梗阻。
局灶性或局限性腹膜间皮瘤通常表现为腹膜内大的不均质实性肿块,伴局部或小量腹水。
重点:原发性弥漫性腹膜间皮瘤中的淋巴结肿大和钙化很少见(与胸膜间皮瘤不同)。其存在应增加继发性腹膜疾病的可能性。

62 岁男性,患有腹膜间皮瘤。
CT 显示无已知原发癌症的患者存在大网膜结节(箭头);活检证实为间皮瘤。
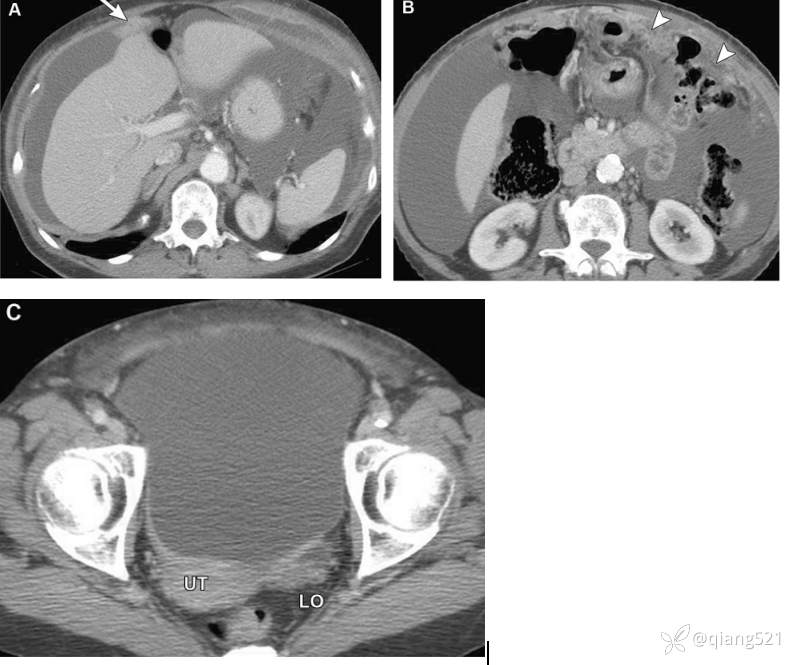
原发性腹膜浆液性癌(上皮性肿瘤)也有类似的影像学表现,几乎总是在女性中看到,除了在高达 30% 的砂粒状钙化病例中可能会看到钙化。

49 岁女性,患有原发性腹膜浆液性癌。 A-C 轴向 CECT 图像显示由于大量腹水导致腹胀,伴有腹膜软组织结节(A 中的箭头)和大网膜增厚(B 中的箭头)。卵巢未见异常(C)。 UT,子宫; LO,左卵巢。大网膜活检证实原发性腹膜浆液性癌
硬纤维瘤
硬纤维瘤也称为腹内纤维瘤病,是一种局部侵袭性纤维瘤,具有浸润或复发但不转移的能力。
根据发生的部位,它们被称为肠系膜纤维瘤、腹膜后纤维瘤、盆腔纤维瘤或腹壁纤维瘤病。小肠系膜是腹内纤维瘤病最常见的部位。虽然大多数病例是散发性的,但 13% 的肠系膜纤维瘤病患者与家族性腺瘤性息肉病相关,且既往手术是一个危险因素 。组织学上硬纤维瘤由细胞质稀少的纺锤形成纤维细胞组成,尽管在某些肿瘤中粘液样成分占主导地位。 CT 显示具有不同密度和增强的软组织肿块,并且可以显示由于坏死而形成的不均匀低密度。在 MRI 上,硬纤维瘤通常在 T1-WI 上具有低或中等信号,在 T2-WI 上具有中等至高信号,以及不均匀强化。复发性或侵袭性硬纤维瘤往往具有较高的 T2 信号强度,可能是由于细胞结构和粘液样成分增加。

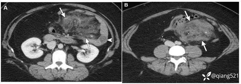
一位48岁女性,患有家族性腺瘤病息肉病综合征和肠系膜硬纤维瘤。A, B经中腹部的轴向CECT显示小肠肠系膜软组织肿块(箭头)。同时注意小肠息肉(A箭头)和结肠术后缺失。
纤维性肿瘤
腹膜孤立性纤维性肿瘤(也称为胸膜外孤立性纤维性肿瘤)是一种罕见的间皮下肿瘤。虽然孤立性纤维性肿瘤常发源于胸膜,但也可发生在胸膜外的肠系膜、腹膜和心包膜内。
腹膜孤立性纤维性肿瘤已显示男性有轻微的偏好。组织学上,它们是由纺锤形成纤维细胞组成,含有混合的胶原成分,并被完整的间皮层包围。影像学特征与其他纤维性肿瘤相似,尽管孤立的纤维性肿瘤往往比硬纤维瘤更清晰,有时明显血管增生。

一名 55 岁男性,患有肠系膜孤立性纤维瘤。轴向门静脉期 CT 显示以小肠系膜为中心的边界清楚、呈分叶状且快速增强的肿块(箭头)。
促纤维增生性小圆细胞瘤(DSRCT)
这是一种罕见的恶性肿瘤,预后极差,常见于青少年和年轻人。该肿瘤的组织学特征是存在“小圆形蓝色细胞”,属于肾母细胞瘤、尤文肉瘤、周围原始神经外胚层肿瘤和阿斯金肿瘤的范围。影像学特征包括弥漫性腹膜增厚、结节和肿块,表现为微小钙化、不均匀密度和对比增强后出现中央坏死区域甚至内有出血和微小点状钙化。通常存在腹水。偶尔,最初的表现可能是孤立的腹膜肿块。 MRI 显示 T1WI 低信号,T2WI 不均匀高信号。已知肿瘤通过血行和淋巴途径转移。

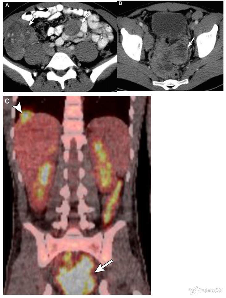
1例21岁男性腹膜圆形细胞瘤。
经下腹部(A)和骨盆(B)的轴位CECT显示腹部和骨盆(箭头)的多灶性不均匀密度软组织肿块。C18-FDG-PET显示腹膜植入物(箭头)和右侧膈下间隙(箭头)摄取FDG。
继发性腹膜肿瘤
继发性腹膜癌
恶性肿瘤从血源性或直接腹膜传播和播散种植转移到腹膜;常见于胃肠道、卵巢、乳腺癌和肺部恶性肿瘤。不明原因的弥漫性腹膜增厚和腹水通常可能是由于隐匿性或已知原发性肿瘤的继发性癌病所致
增强CT仍然是腹膜转移瘤术前分期的主要方式; CT 可能显示软组织结节或累及腹膜的片状肿块 。肿瘤浸润小肠系膜可能导致小肠梗阻。 MRI 扩散加权成像显示出检测腹膜癌病的良好结果,其敏感性和特异性高达 90%–95.5% ;脂肪抑制后钆对比有助于检测较小的腹膜转移,因为它们具有相对于正常肝脏更高的增强特征。联合 18-氟脱氧葡萄糖正电子发射断层扫描 CT (18-FDG PET CT) 对肿瘤植入物的敏感性范围为 78% 至 100%,特别是对于临床怀疑复发性肿瘤的患者。

一例55岁女性卵巢癌腹膜转移。冠状面重组图像显示右侧附件/卵巢(OM)有一个巨大的异质肿块,伴线性腹膜增厚(箭头所指)和少量腹水。同时也注意到一个肠系膜钙化肿块(箭头),在卵巢恶性肿瘤发生前的CT上已经出现,很可能是硬化性肠系膜炎。
腹膜假性粘液瘤
它是一种临床实体,以大量粘稠的粘液性或凝胶状腹水为特征,通常源于阑尾低级粘液性肿瘤的穿孔或破裂(有人认为是由于卵巢粘液性肿瘤引起的)。这种疾病被认为不同于腹膜粘液癌,后者继发于通常发生于胃肠道、胆囊、胰腺或卵巢的侵袭性高级粘液癌。
CT显示多灶低密度,实质脏器呈扇形压痕,典型表现在肝和脾表面,可有曲线状的钙化灶。然而,没有发现实质或内脏器官的直接浸润。这些发现值得仔细评估任何原发性阑尾肿瘤或卵巢肿瘤。

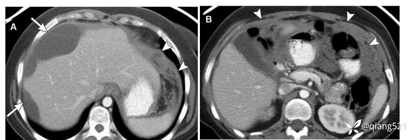
一例59岁男性阑尾粘液囊腺瘤破裂后腹膜假性粘液瘤。轴向CECT图像显示肝缘胶状黏液形成扇形压迹(箭头A),并延伸至腹壁切口疝(箭头B)。
淋巴瘤
淋巴瘤腹膜受累可视为原发或继发过程。腹膜原发淋巴瘤主要见于免疫功能低下的患者,主要是HIV,被认为是由人类疱疹病毒(HHV 8)和EB病毒(EBV)引起的。腹膜原发淋巴瘤通常局限于腹膜腔内,与继发性腹膜病变相比,预后较差。继发性腹膜受累可见于结内或结外非霍奇金淋巴瘤或Burkitt淋巴瘤,并可能出现在免疫功能正常的患者中。
继发性腹膜淋巴瘤的影像特征类似于腹膜癌,表现为腹膜表面弥漫性肿块样增厚、多灶性离散结节、小肠系膜浸润和大网膜结块。然而,腹部、膈脚后显著的淋巴结肿大和脾肿大可能是继发性淋巴瘤病。HIV阳性患者存在大量腹水,但没有明显的淋巴结肿大,可能是原发淋巴瘤。

49岁男性腹膜淋巴瘤患者。
A轴位和B冠状位CECT显示右腹部一模糊的软组织肠系膜肿块(箭头)伴腹膜增厚(箭头)。
类癌
肠系膜类癌继发于胃肠道类癌的直接或淋巴扩散。类癌起源于肠道的神经内分泌细胞,最常累及回肠远端,约40%-80%累及肠系膜。许多患者在没有肝转移的情况下可能没有症状,存在肝转移时通常表现为类癌综合征,这是由于血管活性胺(5-羟色胺、5-羟色氨酸)释放到循环中--临床表现为潮红、腹泻、喘息和心力衰竭。
虽然这些是动脉期强化的肿块,但根据肿瘤大小和内部变性的存在,可能会看到不均匀的密度。钙化见于大约70%的肠系膜肿块。软组织束向邻近的肠系膜脂肪辐射,既可以代表肿瘤的浸润性,也可以代表促纤维增生性反应和/或纤维性增生。肠系膜血管常被包裹。类癌通常会引起邻近肠管的粘连和浸润性病变,表现为肠壁增厚。
通常情况下,原发性小肠肿瘤本身很小,在CT或MRI上可能无法明确识别。在这种情况下,111In标记的生长抑素类似物(戊四肽),核闪烁成像在识别类癌肿瘤方面具有高度的敏感性和特异性。
血/尿5-羟基吲哚乙酸(5-HIAA)和血清嗜铬粒蛋白A在功能性类癌中升高,也为奥曲肽扫描功能显像提供了依据。

一名89岁的男性,患有转移性类癌。
横断上腹部(A)和中腹(B)的CECT显示右下象限不均匀强化的肿块(B中的箭头),右肝有一个微小的富血管病变,可能是转移性病变(A中的箭头)。患者血清5-HIAA水平升高。~(111)C-奥曲肽核素扫描显示肠系膜肿块有浓集的放射性示踪剂
小结
腹膜和肠系膜的原发和继发疾病包括一组不同的病理学,虽然继发性腹膜疾病仍然比原发肿瘤更常见,但在患者治疗中区分原发和继发疾病仍然很重要。虽然腹膜疾病表现出许多重叠的影像特征,但一些特征可能有助于区分原发和继发性受累。虽然临床病史、实验室参数和影像特征可能有助于缩小诊断范围,但在大多数情况下,需要进行组织采样以进行确认和适当的处理。
















































