占据胸腔半壁江山却温柔如许,怎一个软字了得---结果公布~
过去的时光难忘怀 等 3 位达人已点赞患者性别:男
患者年龄:68岁
主诉:咳嗽、咳嗽、痰中带血1月
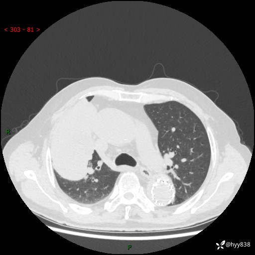
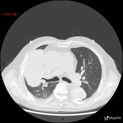
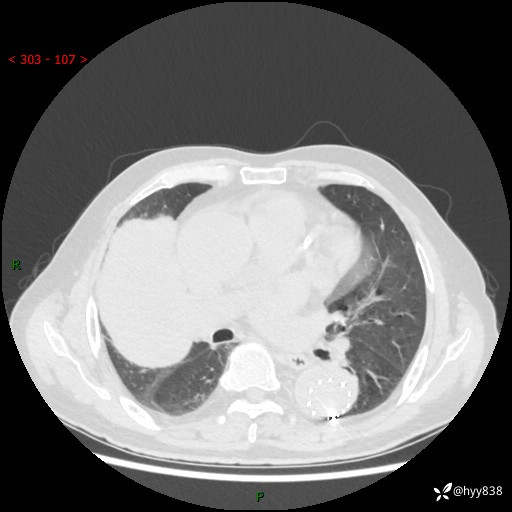
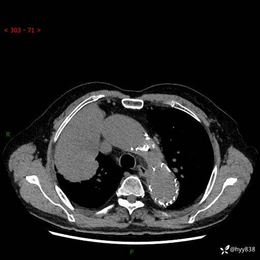
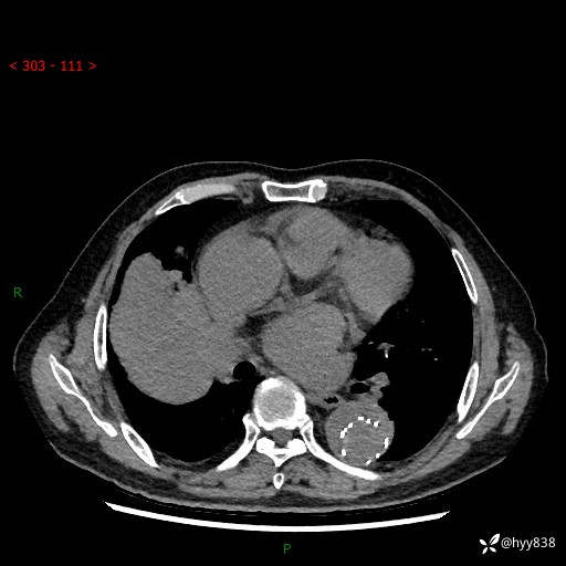
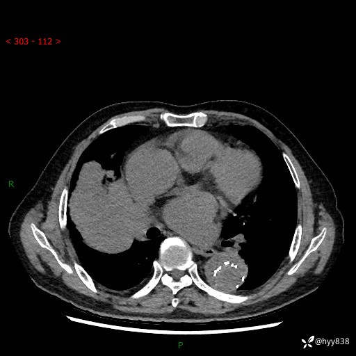
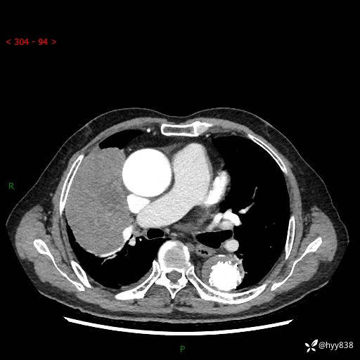
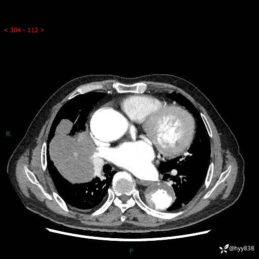
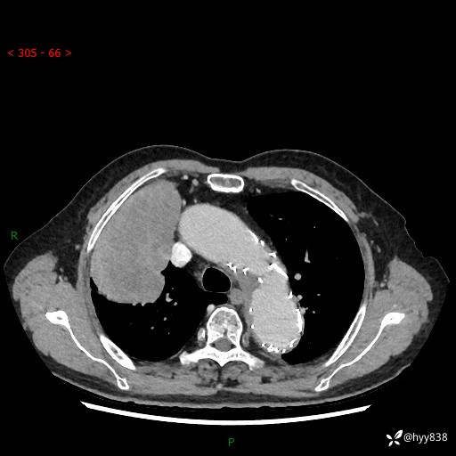
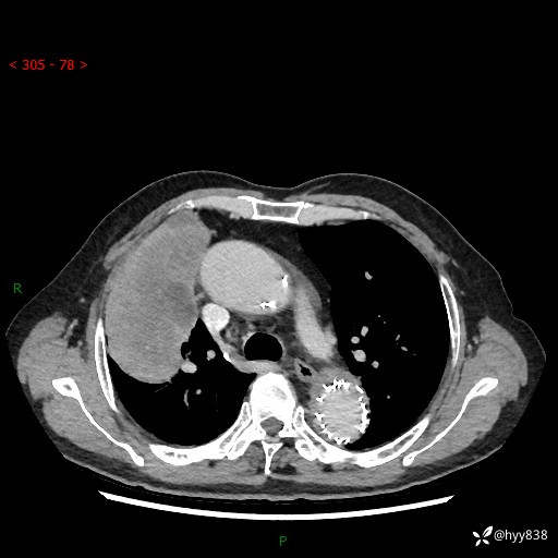
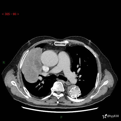
简要病史:患者1月前无明显诱因出现咳嗽、咳痰,伴痰中带血,咳白色粘痰,无畏寒发热,无胸闷、胸痛,无盗汗、乏力,无恶心、呕吐,无头痛、头晕,无尿频尿急尿痛等不适,院外曾行输液治疗,咳嗽有所好转,后未再进一步系统诊治。后为求进一步诊治,就诊于当地医院,行胸部CT提示:右肺占位(11.0*6.5cm),建议其进一步住院治疗,患者表示拒绝。现患者为求进一步系统诊治,就诊于我院,门诊以“肺占位性病变”收入我科。 自起病以来,患者精神、饮食、睡眠可,大小便正常,体力较前稍下降,体重无明显变化。
体格检查:(-)
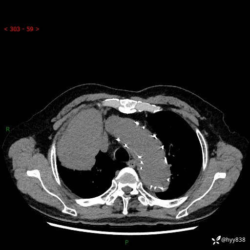
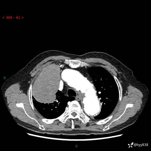
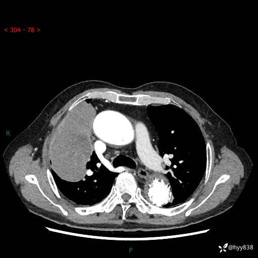
辅助检查:CT
临床诊断:占位
治疗经过:---
讨论:病变 性质?
胸部CT平扫










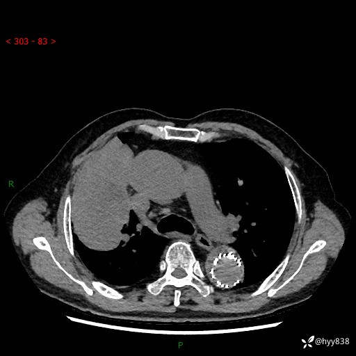
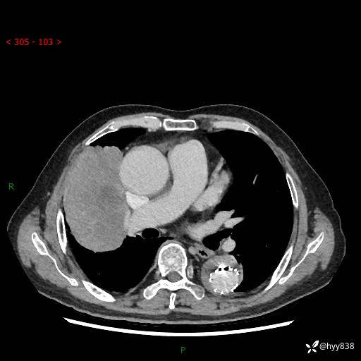
增强动脉期




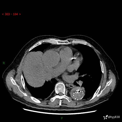
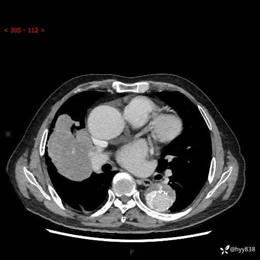
静脉期




















































