双手臂多发红褐色结节,明确病理后是个罕见病皮肤病
患者性别:男
患者年龄:53
主诉:双手臂多发红褐色结节40余年
简要病史:患者自述40余年前出钱双手臂伸侧红褐色结节,呈多发,高出皮表,大小不一,部分可相互融合,伴有疼痛,无瘙痒等特殊不适。家族史无特殊。
体格检查:双手臂见多发散在性大小不一红褐色结节,质地较硬,结节与皮肤黏连,可推动。

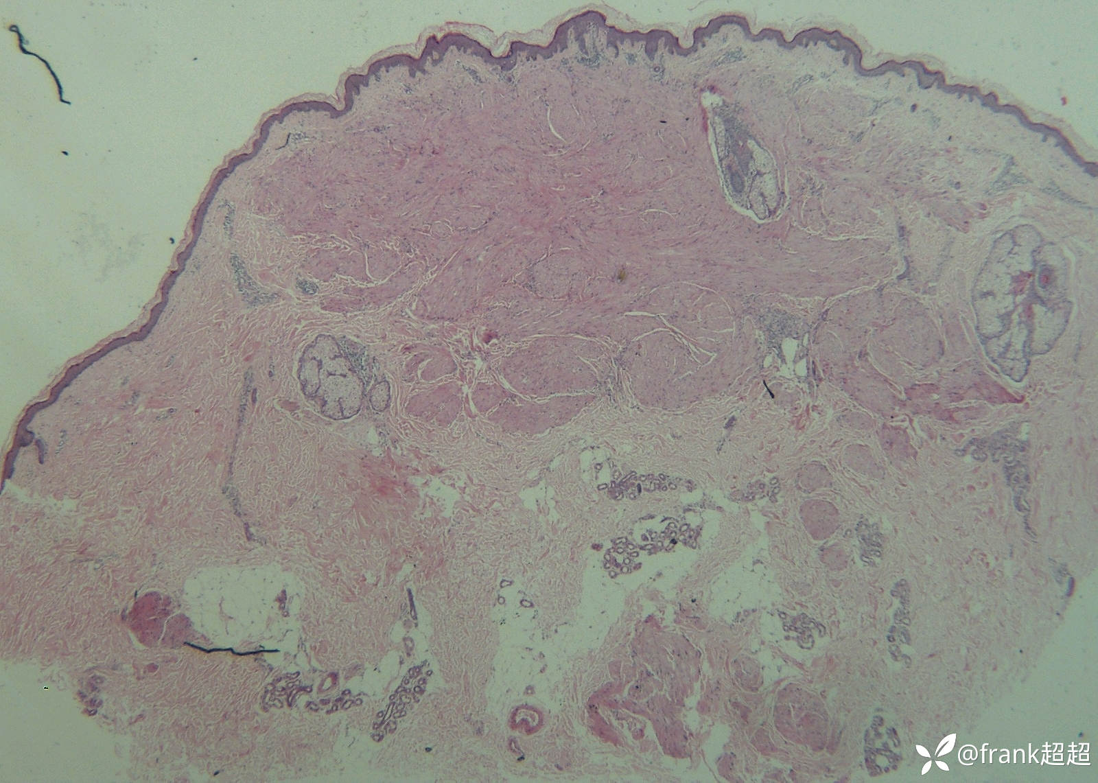
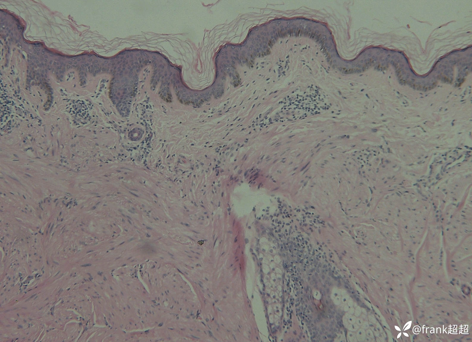
病理:


病理结果:真皮深层可见一大的肿瘤细胞团块,团块与周围组织界限清楚但无包膜,肿瘤组织由大量肌纤维组成,其细胞核大多呈两头钝。
结合病史及病理检查,考虑?
















































