儿女怕老人寂寞,养了两只鹦鹉,呼吸科主任问我典不典型---结果公布~
武医生 等 4 位达人已点赞患者性别:男
患者年龄:71岁
主诉:喘气半年余,咳嗽乏力伴味觉减退2月余
简要病史:者半年前左右无明显诱因出现呼吸困难,轻微运动后出现喘气,未予以重视。2月余前受凉感冒后出现咳嗽,咳白色泡沫痰,不易咳出,于当地医院行输液治疗,未见明显好转,并感觉全身乏力,体力下降,并感口苦,味觉减退。近10余天前感咳嗽喘气加重,咳白色泡沫痰,不易咳出,口苦,味觉减退加重。为进一步检查及治疗,入我院就诊,门诊以“呼吸困难”收入院治疗。 起病以来,患者精神,睡眠,饮食欠佳,大小便可,体力下降明显,体重稍下降。
体格检查:(-)
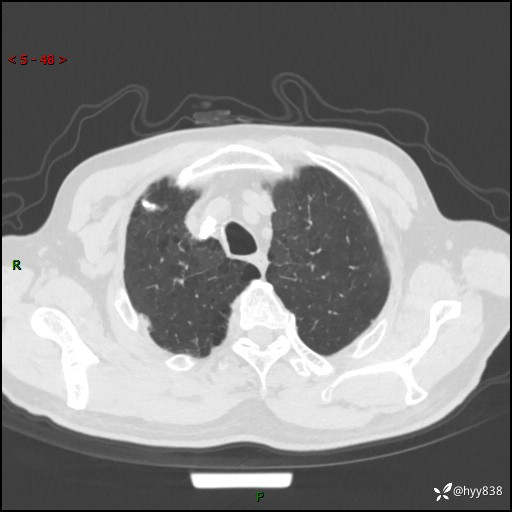
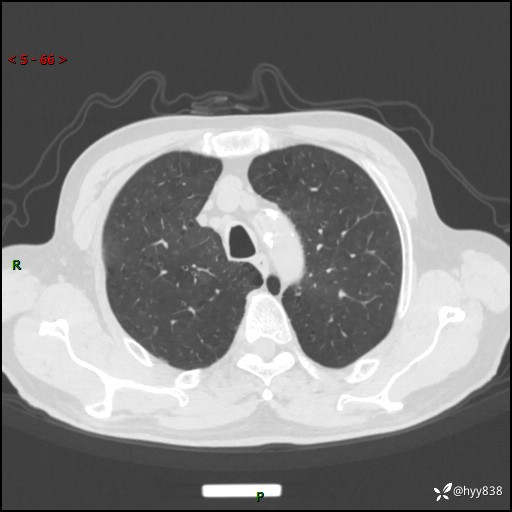
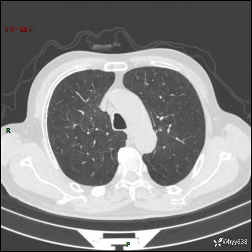
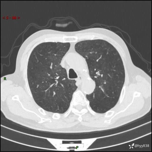
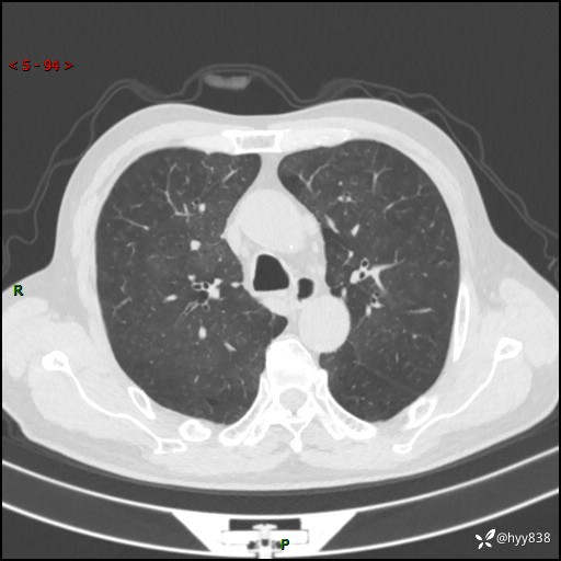
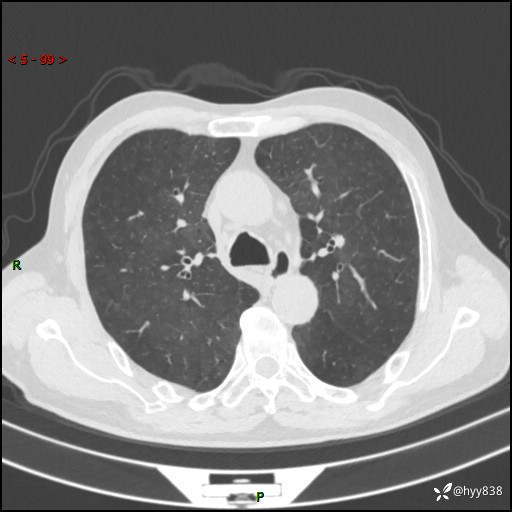
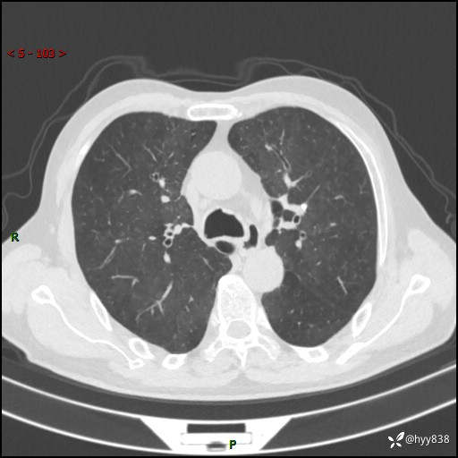
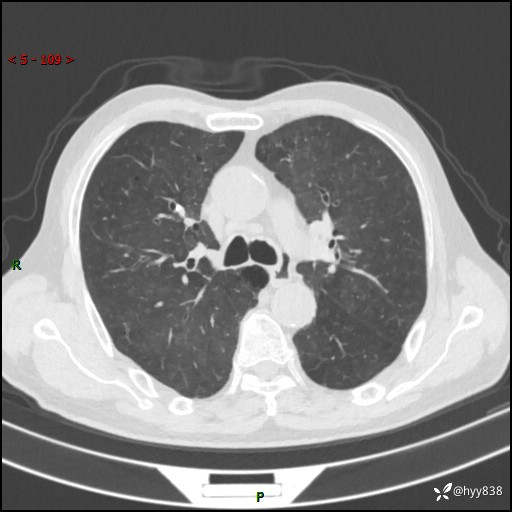
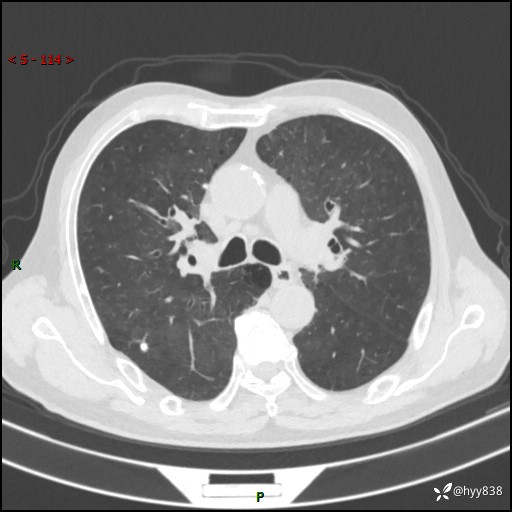
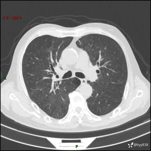
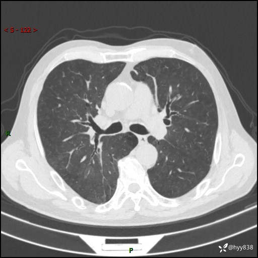
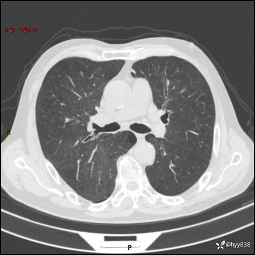
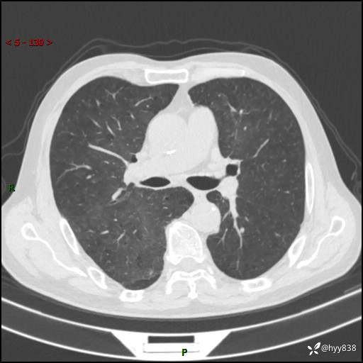
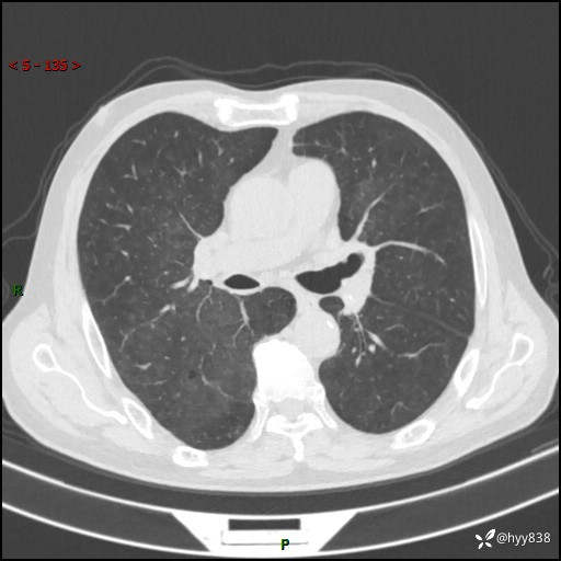
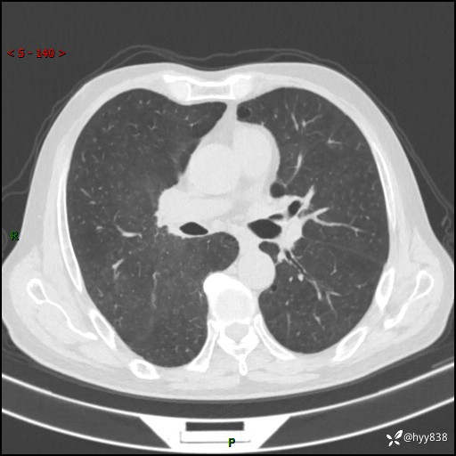
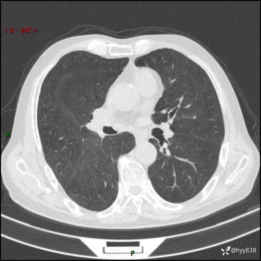
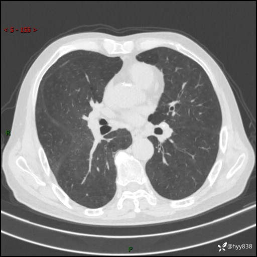
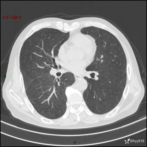
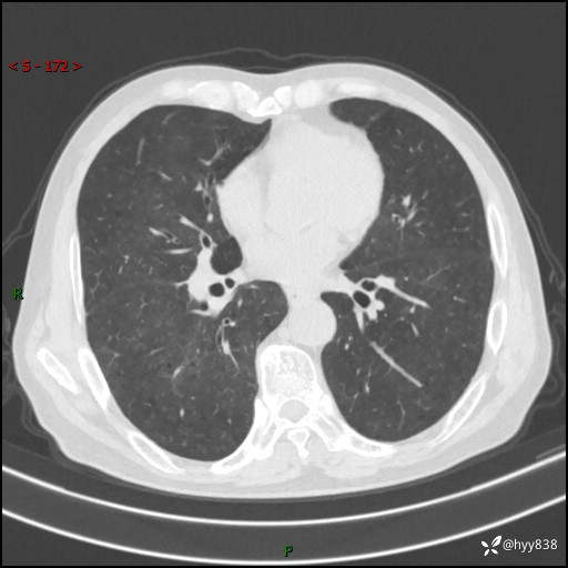
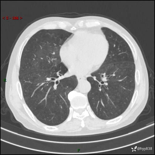
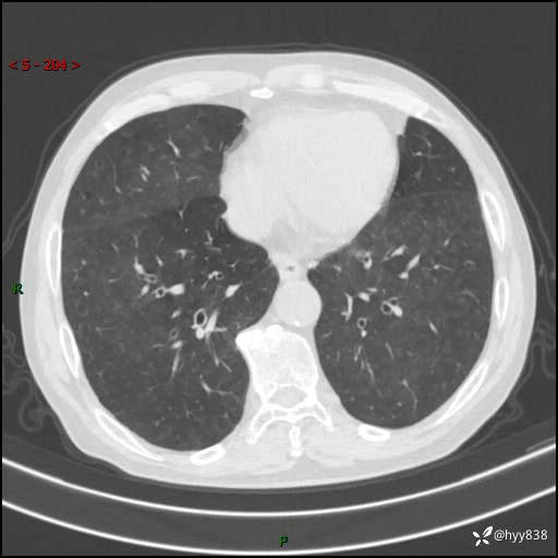
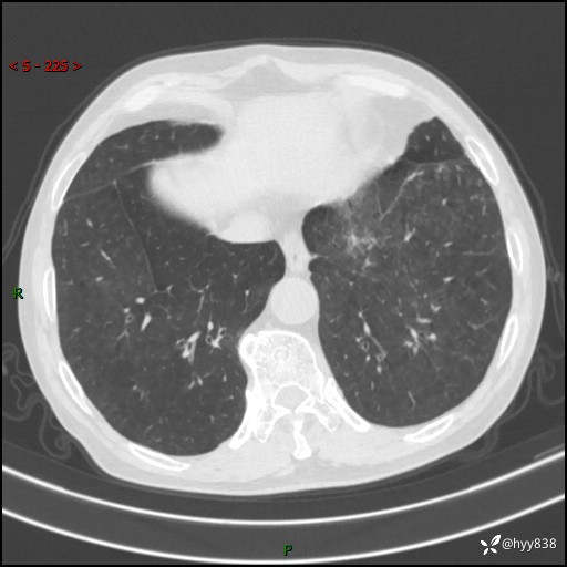
辅助检查:CT
临床诊断:呼吸困难
治疗经过:---
讨论:诊断?
胸部CT平扫







































































